验证数据展示
经过测试的应用
| Positive WB detected in | HepG2 cells, A431 cells |
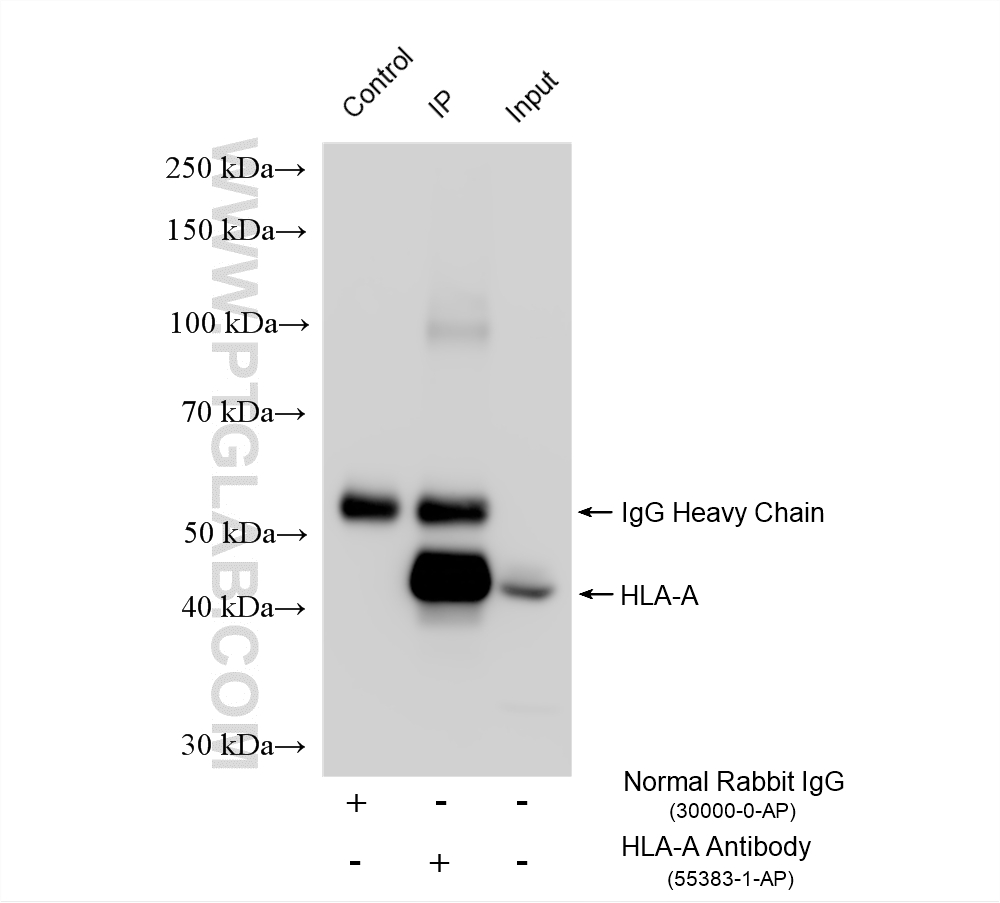
| Positive IP detected in | HepG2 cells |
| Positive IHC detected in | human tonsillitis tissue, human small intestine tissue Note: suggested antigen retrieval with TE buffer pH 9.0; (*) Alternatively, antigen retrieval may be performed with citrate buffer pH 6.0 |
| Positive IF/ICC detected in | HepG2 cells |
推荐稀释比
| 应用 | 推荐稀释比 |
|---|---|
| Western Blot (WB) | WB : 1:1000-1:6000 |
| Immunoprecipitation (IP) | IP : 0.5-4.0 ug for 1.0-3.0 mg of total protein lysate |
| Immunohistochemistry (IHC) | IHC : 1:50-1:500 |
| Immunofluorescence (IF)/ICC | IF/ICC : 1:50-1:500 |
| It is recommended that this reagent should be titrated in each testing system to obtain optimal results. | |
| Sample-dependent, Check data in validation data gallery. | |
产品信息
55383-1-AP targets HLA-A in WB, IHC, IF/ICC, IP, ELISA applications and shows reactivity with human samples.
| 经测试应用 | WB, IHC, IF/ICC, IP, ELISA Application Description |
| 文献引用应用 | WB, IHC, IF |
| 经测试反应性 | human |
| 文献引用反应性 | human, mouse |
| 免疫原 |
Peptide 种属同源性预测 |
| 宿主/亚型 | Rabbit / IgG |
| 抗体类别 | Polyclonal |
| 产品类型 | Antibody |
| 全称 | major histocompatibility complex, class I, A |
| 别名 | HLA A, HLA class I, HLA class I (HLA-A), HLA class I ABC, HLA class I histocompatibility antigen, A alpha chain |
| 计算分子量 | 41 kDa |
| 观测分子量 | 41-44 kDa |
| GenBank蛋白编号 | NM_002116 |
| 基因名称 | HLA-A |
| Gene ID (NCBI) | 3105 |
| RRID | AB_10888639 |
| 偶联类型 | Unconjugated |
| 形式 | Liquid |
| 纯化方式 | Antigen affinity purification |
| UNIPROT ID | P04439 |
| 储存缓冲液 | PBS with 0.02% sodium azide and 50% glycerol, pH 7.3. |
| 储存条件 | Store at -20°C. Stable for one year after shipment. Aliquoting is unnecessary for -20oC storage. |
背景介绍
Human major histocompatibility complex (MHC) antigens, also referred to as human leukocyte antigens (HLA), are encoded by genes located on the short arm of chromosome 6 (6p21.3). There are two classes of HLA antigens: class I (HLA-A, B and C) and class II (HLA-D). This class I molecules are polymorphic membrane glycoproteins composed of a heavy (alpha) chain (44 kDa) which is encoded by a HLA class I gene (HLA-A, B or C), and β2-microglobulin light (beta) chain (12 kDa). They are involved in the presentation of foreign antigens to the immune system. (PMID: 667938; 3375250)
实验方案
| Product Specific Protocols | |
|---|---|
| IF protocol for HLA-A antibody 55383-1-AP | Download protocol |
| IHC protocol for HLA-A antibody 55383-1-AP | Download protocol |
| IP protocol for HLA-A antibody 55383-1-AP | Download protocol |
| WB protocol for HLA-A antibody 55383-1-AP | Download protocol |
| Standard Protocols | |
|---|---|
| Click here to view our Standard Protocols |
发表文章
| Species | Application | Title |
|---|---|---|
J Virol Two Functional Variants of AP-1 Complexes Composed of either γ2 or γ1 Subunits Are Independently Required for Major Histocompatibility Complex Class I Downregulation by HIV-1 Nef. | ||
Front Pharmacol Proteomics study the potential targets for Rifampicin-resistant spinal tuberculosis | ||
Mol Cell Biochem TAP1 promotes immune escape by activating JNK/STAT1/PD-L1 signaling in EBV-associated gastric cancer | ||
Drug Resist Updat RNF26 regulating tumor immunogenicity of hepatocellular carcinoma by degrading GRP78 and instigating ER stress. |






