验证数据展示
经过测试的应用
| Positive WB detected in | HeLa cells, human heart tissue, human skeletal muscle tissue |
| Positive IP detected in | HEK-293 cells |
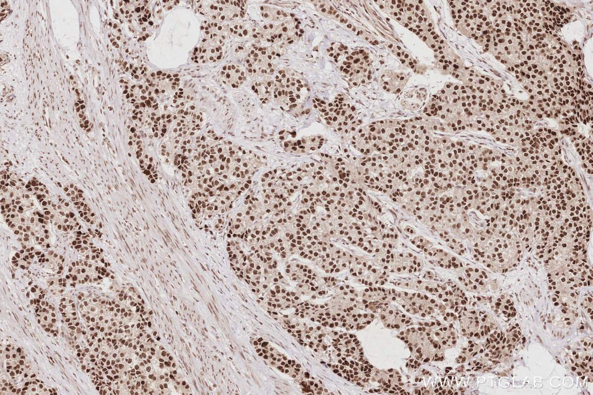
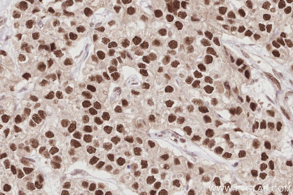
| Positive IHC detected in | human ovary tissue, human heart tissue, human kidney tissue, human placenta tissue, human skin tissue, human stomach cancer tissue, human testis tissue Note: suggested antigen retrieval with TE buffer pH 9.0; (*) Alternatively, antigen retrieval may be performed with citrate buffer pH 6.0 |
推荐稀释比
| 应用 | 推荐稀释比 |
|---|---|
| Western Blot (WB) | WB : 1:500-1:1000 |
| Immunoprecipitation (IP) | IP : 0.5-4.0 ug for 1.0-3.0 mg of total protein lysate |
| Immunohistochemistry (IHC) | IHC : 1:50-1:500 |
| It is recommended that this reagent should be titrated in each testing system to obtain optimal results. | |
| Sample-dependent, Check data in validation data gallery. | |
发表文章中的应用
| WB | See 1 publications below |
产品信息
14992-1-AP targets HIRIP3 in WB, IHC, IP, ELISA applications and shows reactivity with human samples.
| 经测试应用 | WB, IHC, IP, ELISA Application Description |
| 文献引用应用 | WB |
| 经测试反应性 | human |
| 文献引用反应性 | mouse |
| 免疫原 |
CatNo: Ag6978 Product name: Recombinant human HIRIP3 protein Source: e coli.-derived, PGEX-4T Tag: GST Domain: 207-556 aa of BC000588 Sequence: TAKKVEGNKGTKSLKESEQESEEEILAQKKEQREEEVEEEEKEEDEEKGDWKPRTRSNGRRKSAREERSCKQKSQAKRLLGDSDSEEEQKEAASSGDDSGRDREPPVQRKSEDRTQLKGGKRLSGSSEDEEDSGKGEPTAKGSRKMARLGSTSGEESDLEREVSDSEAGGGPQGERKNRSSKKSSRKGRTRSSSSSSDGSPEAKGGKAGSGRRGEDHPAVMRLKRYIRACGAHRNYKKLLGSCCSHKERLSILRAELEALGMKGTPSLGKCRALKEQREEAAEVASLDVANIISGSGRPRRRTAWNPLGEAAPPGELYRRTLDSDEERPRPAPPDWSHMRGIISSDGESN 种属同源性预测 |
| 宿主/亚型 | Rabbit / IgG |
| 抗体类别 | Polyclonal |
| 产品类型 | Antibody |
| 全称 | HIRA interacting protein 3 |
| 别名 | HIRA-interacting protein 3 |
| 计算分子量 | 62 kDa |
| 观测分子量 | 69-90 kDa |
| GenBank蛋白编号 | BC000588 |
| 基因名称 | HIRIP3 |
| Gene ID (NCBI) | 8479 |
| RRID | AB_2117876 |
| 偶联类型 | Unconjugated |
| 形式 | Liquid |
| 纯化方式 | Antigen affinity purification |
| UNIPROT ID | Q9BW71 |
| 储存缓冲液 | PBS with 0.02% sodium azide and 50% glycerol, pH 7.3. |
| 储存条件 | Store at -20°C. Stable for one year after shipment. Aliquoting is unnecessary for -20oC storage. |
背景介绍
The HIRIP3 protein had been identified from its interaction with the HIRA histone chaperone. It may play a role in chromatin function and histone metabolism via its interaction with HIRA and histones.
实验方案
| Product Specific Protocols | |
|---|---|
| IHC protocol for HIRIP3 antibody 14992-1-AP | Download protocol |
| IP protocol for HIRIP3 antibody 14992-1-AP | Download protocol |
| WB protocol for HIRIP3 antibody 14992-1-AP | Download protocol |
| Standard Protocols | |
|---|---|
| Click here to view our Standard Protocols |

















