验证数据展示
经过测试的应用
| Positive WB detected in | HeLa cells, Raji cells |
| Positive IP detected in | Raji cells |
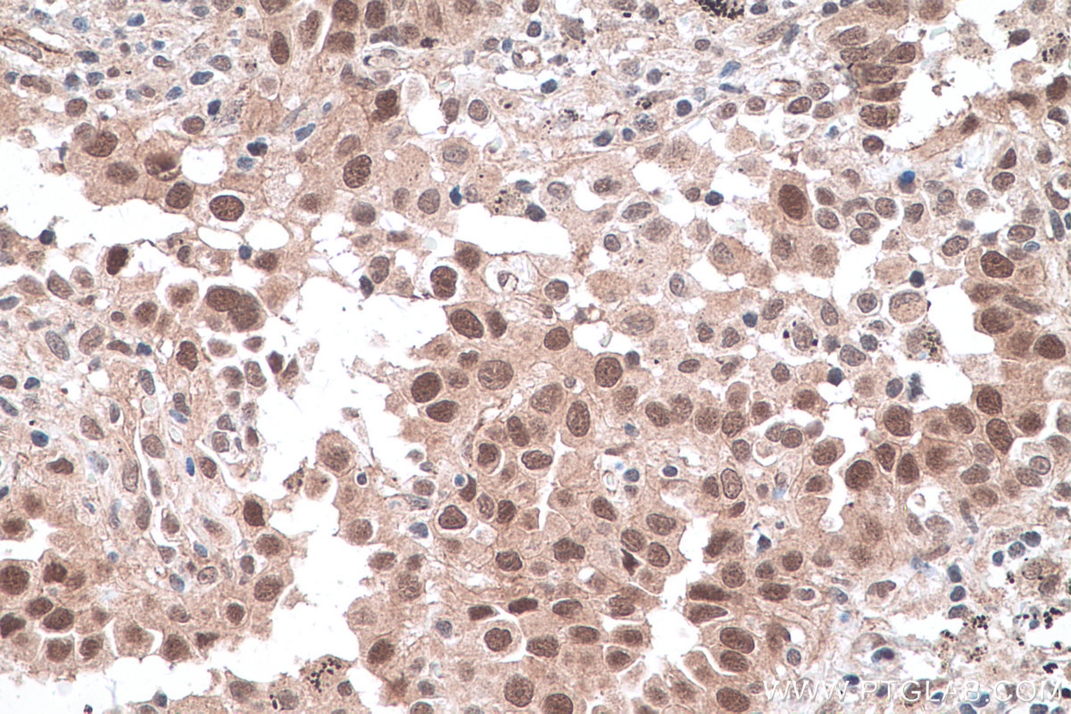
| Positive IHC detected in | human lung cancer tissue Note: suggested antigen retrieval with TE buffer pH 9.0; (*) Alternatively, antigen retrieval may be performed with citrate buffer pH 6.0 |
| Positive IF/ICC detected in | HeLa cells |
推荐稀释比
| 应用 | 推荐稀释比 |
|---|---|
| Western Blot (WB) | WB : 1:500-1:2000 |
| Immunoprecipitation (IP) | IP : 0.5-4.0 ug for 1.0-3.0 mg of total protein lysate |
| Immunohistochemistry (IHC) | IHC : 1:500-1:2000 |
| Immunofluorescence (IF)/ICC | IF/ICC : 1:50-1:500 |
| It is recommended that this reagent should be titrated in each testing system to obtain optimal results. | |
| Sample-dependent, Check data in validation data gallery. | |
产品信息
17548-1-AP targets HDAC8 in WB, IHC, IF/ICC, IP, ELISA applications and shows reactivity with human, mouse, rat samples.
| 经测试应用 | WB, IHC, IF/ICC, IP, ELISA Application Description |
| 文献引用应用 | WB, IHC, IF, IP |
| 经测试反应性 | human, mouse, rat |
| 文献引用反应性 | human, mouse, rat |
| 免疫原 |
CatNo: Ag11696 Product name: Recombinant human HDAC8 protein Source: e coli.-derived, PGEX-4T Tag: GST Domain: 1-377 aa of BC050433 Sequence: MEEPEEPADSGQSLVPVYIYSPEYVSMCDSPAKIPKRASMVHSLIEAYALHKQMRIVKPKVASMEEMATFHTDAYLQHLQKVSQEGDDDHPDSIEYGLGYDCPATEGIFDYAAAIGGATITAAQCLIDGMCKVAINWSGGWHHAKKDEASGFCYLNDAVLGILRLRRKFERILYVDLDLHHGDGVEDAFSFTSKVMTVSLHKFSPGFFPGTGDVSDVGLGKGRYYSVNVPIQDGIQDEKYYQICESVLKEVYQAFNPKAVVLQLGADTIAGDPMCSFNMTPVGIGKCLKYILQWQLATLILGGGGYNLANTARCWTYLTGVILGKTLSSEIPDHEFFTAYGPDYVLEITPSCRPDRNEPHRIQQILNYIKGNLKHVV 种属同源性预测 |
| 宿主/亚型 | Rabbit / IgG |
| 抗体类别 | Polyclonal |
| 产品类型 | Antibody |
| 全称 | histone deacetylase 8 |
| 别名 | Protein decrotonylase HDAC8, Protein deacetylase HDAC8, HDAC 8, EC:3.5.1.98, EC:3.5.1.- |
| 计算分子量 | 377 aa, 42 kDa |
| 观测分子量 | 49 kDa |
| GenBank蛋白编号 | BC050433 |
| 基因名称 | HDAC8 |
| Gene ID (NCBI) | 55869 |
| RRID | AB_2116926 |
| 偶联类型 | Unconjugated |
| 形式 | Liquid |
| 纯化方式 | Antigen affinity purification |
| UNIPROT ID | Q9BY41 |
| 储存缓冲液 | PBS with 0.02% sodium azide and 50% glycerol, pH 7.3. |
| 储存条件 | Store at -20°C. Stable for one year after shipment. Aliquoting is unnecessary for -20oC storage. |
背景介绍
Histone deacetylases (HDAC) are a class of enzymes that remove the acetyl groups from the lysine residues leading to the formation of a condensed and transcriptionally silenced chromatin. At least 4 classes of HDAC were identified. As a class I HDAC, HDAC 8 was primarily found in the nucleus. It catalyzes the deacetylation of lysine residues in the histone N-terminal tails and represses transcription in large multiprotein complexes with transcriptional co-repressors. This antibody is a rabbit polyclonal antibody raised against full length HDAC8 of human origin.
实验方案
| Product Specific Protocols | |
|---|---|
| IF protocol for HDAC8 antibody 17548-1-AP | Download protocol |
| IHC protocol for HDAC8 antibody 17548-1-AP | Download protocol |
| IP protocol for HDAC8 antibody 17548-1-AP | Download protocol |
| WB protocol for HDAC8 antibody 17548-1-AP | Download protocol |
| Standard Protocols | |
|---|---|
| Click here to view our Standard Protocols |
发表文章
| Species | Application | Title |
|---|---|---|
Cell Targeting Epigenetic Crosstalk as a Therapeutic Strategy for EZH2-Aberrant Solid Tumors. | ||
Nat Metab Oligodendrocyte precursor cell-specific blocking of low-glucose-induced activation of AMPK ensures myelination and remyelination | ||
Cell Rep Gut microbiota shapes social dominance through modulating HDAC2 in the medial prefrontal cortex. | ||
Kidney Int Histone deacetylase 4 selectively contributes to podocyte injury in diabetic nephropathy. | ||
Oncotarget Thrombospondin-1 might be a therapeutic target to suppress RB cells by regulating the DNA double-strand breaks repair. | ||
Oncogenesis USP38 regulates the stemness and chemoresistance of human colorectal cancer via regulation of HDAC3. |




