验证数据展示
经过测试的应用
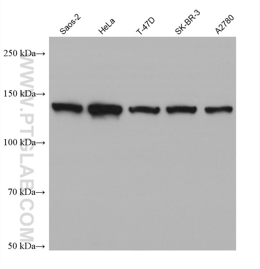
| Positive WB detected in | Saos-2 cells, COLO 320 cells, HeLa cells, T-47D cells, SK-BR-3 cells, A2780 cells, HepG2 cells, HSC-T6 cells, 4T1 cells |
推荐稀释比
| 应用 | 推荐稀释比 |
|---|---|
| Western Blot (WB) | WB : 1:2000-1:10000 |
| It is recommended that this reagent should be titrated in each testing system to obtain optimal results. | |
| Sample-dependent, Check data in validation data gallery. | |
产品信息
68437-1-Ig targets HDAC5 in WB, ELISA applications and shows reactivity with Human, mouse, rat samples.
| 经测试应用 | WB, ELISA Application Description |
| 经测试反应性 | Human, mouse, rat |
| 免疫原 |
CatNo: Ag30557 Product name: Recombinant human HDAC5 protein Source: e coli.-derived, PET28a Tag: 6*His Domain: 371-513 aa of NM_005474 Sequence: NISLGLQATVTVTNSHLTASPKLSTQQEAERQALQSLRQGGTLTGKFMSTSSIPGCLLGVALEGDGSPHGHASLLQHVLLLEQARQQSTLIAVPLHGQSPLVTGERVATSMRTVGKLPRHRPLSRTQSSPLPQSPQALQQLVM 种属同源性预测 |
| 宿主/亚型 | Mouse / IgG2b |
| 抗体类别 | Monoclonal |
| 产品类型 | Antibody |
| 全称 | histone deacetylase 5 |
| 别名 | Antigen NY CO 9, FLJ90614, HD5, HDAC5, histone deacetylase 5, KIAA0600, NY CO 9 |
| 计算分子量 | 122 kDa |
| 观测分子量 | 140 kDa |
| GenBank蛋白编号 | NM_005474 |
| 基因名称 | HDAC5 |
| Gene ID (NCBI) | 10014 |
| RRID | AB_3085150 |
| 偶联类型 | Unconjugated |
| 形式 | Liquid |
| 纯化方式 | Protein A purification |
| UNIPROT ID | Q9UQL6 |
| 储存缓冲液 | PBS with 0.02% sodium azide and 50% glycerol, pH 7.3. |
| 储存条件 | Store at -20°C. Stable for one year after shipment. Aliquoting is unnecessary for -20oC storage. |
背景介绍
Histone acetylation and deacetylation alternately exposes and occludes DNA to transcription factors. At least 4 classes of HDAC were identified. HDAC5 is a class II HDAC. HDAC5 responsible for the deacetylation of lysine residues on the N-terminal part of the core histones (H2A, H2B, H3 and H4). Histone deacetylation gives a tag for epigenetic repression and plays an important role in transcriptional regulation, cell cycle progression and developmental events. Histone deacetylases act via the formation of large multiprotein complexes. HDAC5 is involved in muscle maturation by repressing transcription of myocyte enhancer MEF2C. During muscle differentiation, HDAC5 shuttles into the cytoplasm, allowing the expression of myocyte enhancer factors.
实验方案
| Product Specific Protocols | |
|---|---|
| WB protocol for HDAC5 antibody 68437-1-Ig | Download protocol |
| Standard Protocols | |
|---|---|
| Click here to view our Standard Protocols |

