验证数据展示
经过测试的应用
| Positive WB detected in | K-562 cells, U2OS cells |
| Positive IP detected in | K-562 cells |
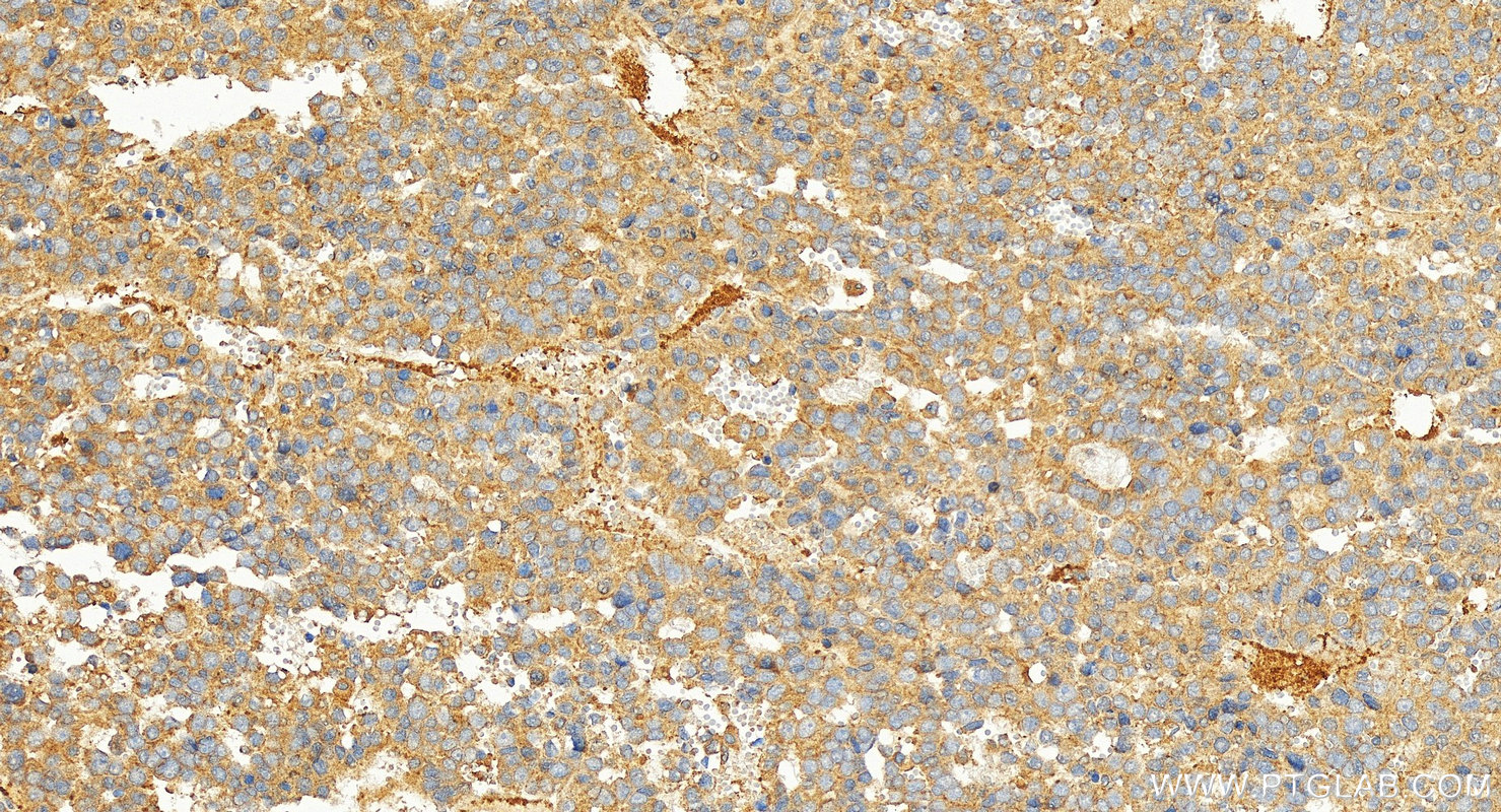
| Positive IHC detected in | human hepatocellular cancer Note: suggested antigen retrieval with TE buffer pH 9.0; (*) Alternatively, antigen retrieval may be performed with citrate buffer pH 6.0 |
| Positive FC (Intra) detected in | MCF-7 cells |
推荐稀释比
| 应用 | 推荐稀释比 |
|---|---|
| Western Blot (WB) | WB : 1:500-1:1000 |
| Immunoprecipitation (IP) | IP : 0.5-4.0 ug for 1.0-3.0 mg of total protein lysate |
| Immunohistochemistry (IHC) | IHC : 1:200-1:800 |
| Flow Cytometry (FC) (INTRA) | FC (INTRA) : 0.80 ug per 10^6 cells in a 100 µl suspension |
| It is recommended that this reagent should be titrated in each testing system to obtain optimal results. | |
| Sample-dependent, Check data in validation data gallery. | |
产品信息
14492-1-AP targets HBXIP in WB, IHC, IF, FC (Intra), IP, ELISA applications and shows reactivity with human, mouse, rat samples.
| 经测试应用 | WB, IHC, FC (Intra), IP, ELISA Application Description |
| 文献引用应用 | WB, IHC, IF, IP |
| 经测试反应性 | human, mouse, rat |
| 文献引用反应性 | human |
| 免疫原 |
CatNo: Ag5894 Product name: Recombinant human HBXIP protein Source: e coli.-derived, PGEX-4T Tag: GST Domain: 1-173 aa of BC062619 Sequence: MEPGAGHLDGHRAGSPSLRQALCDGSAVMFSSKERGRCTVINFVPLEAPLRSTPRSRQVTEACGGEGRAVPLGSEPEWSVGGMEATLEQHLEDTMKNPSIVGVLCTDSQGLNLGCRGTLSDEHAGVISVLAQQAAKLTSDPTDIPVVCLESDNGNIMIQKHDGITVAVHKMAS 种属同源性预测 |
| 宿主/亚型 | Rabbit / IgG |
| 抗体类别 | Polyclonal |
| 产品类型 | Antibody |
| 全称 | hepatitis B virus x interacting protein |
| 别名 | HBV X interacting protein, HBV X-interacting protein, HBX interacting protein, HBX-interacting protein, Hepatitis B virus X-interacting protein |
| 计算分子量 | 10 kDa |
| 观测分子量 | 12 kDa |
| GenBank蛋白编号 | BC062619 |
| 基因名称 | HBXIP |
| Gene ID (NCBI) | 10542 |
| RRID | AB_2878062 |
| 偶联类型 | Unconjugated |
| 形式 | Liquid |
| 纯化方式 | Antigen affinity purification |
| UNIPROT ID | A0A8Z5A536 |
| 储存缓冲液 | PBS with 0.02% sodium azide and 50% glycerol, pH 7.3. |
| 储存条件 | Store at -20°C. Stable for one year after shipment. Aliquoting is unnecessary for -20oC storage. |
背景介绍
HBXIP, also named as XIP, belongs to the HBXIP family. It is originally identified by its interaction with the C-terminus of hepatitis B virus (HBV) X protein (HBx). HBXIP is a regulator of centrosome dynamics and cytokinesis. HBXIP is able to up-regulate S100A4 though activating STAT4 and inducing DNA methylation of PTEN. HBXIP has multiple isoforms with molecular weights of 8-10 kd and 18 kd. This antibody mainly recognizes the 10 kd isoform.
实验方案
| Product Specific Protocols | |
|---|---|
| FC protocol for HBXIP antibody 14492-1-AP | Download protocol |
| IHC protocol for HBXIP antibody 14492-1-AP | Download protocol |
| IP protocol for HBXIP antibody 14492-1-AP | Download protocol |
| WB protocol for HBXIP antibody 14492-1-AP | Download protocol |
| Standard Protocols | |
|---|---|
| Click here to view our Standard Protocols |
发表文章
| Species | Application | Title |
|---|---|---|
Autophagy KAT7-mediated CANX (calnexin) crotonylation regulates leucine-stimulated MTORC1 activity. | ||
Front Oncol Germacrone Regulates HBXIP-Mediated Cell Cycle, Apoptosis and Promotes the Formation of Autophagosomes to Inhibit the Proliferation of Gastric Cancer Cells. | ||
J Biol Chem The oncoprotein HBXIP uses two pathways to up-regulate S100A4 in promotion of growth and migration of breast cancer cells. | ||
Cancer Lett The oncoprotein HBXIP up-regulates Skp2 via activating transcription factor E2F1 to promote proliferation of breast cancer cells.
| ||
Int J Oncol The oncoprotein hepatitis B X-interacting protein promotes the migration of ovarian cancer cells through the upregulation of S-phase kinase-associated protein 2 by Sp1.
| ||
Am J Cancer Res Elevated HBXIP expression is associated with aggressive phenotype and poor prognosis in esophageal squamous cell carcinoma. |



