验证数据展示
经过测试的应用
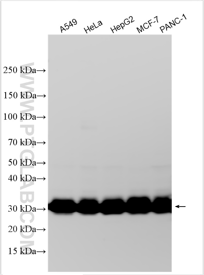
| Positive WB detected in | A549 cells, mouse brain tissue, HeLa cells, HepG2 cells, MCF-7 cells, PANC-1 cells |
| Positive IF/ICC detected in | A549 cells |
推荐稀释比
| 应用 | 推荐稀释比 |
|---|---|
| Western Blot (WB) | WB : 1:2000-1:10000 |
| Immunofluorescence (IF)/ICC | IF/ICC : 1:200-1:800 |
| It is recommended that this reagent should be titrated in each testing system to obtain optimal results. | |
| Sample-dependent, Check data in validation data gallery. | |
发表文章中的应用
| WB | See 2 publications below |
| IP | See 1 publications below |
产品信息
17196-1-AP targets GLO2 in WB, IF/ICC, IP, ELISA applications and shows reactivity with human, mouse samples.
| 经测试应用 | WB, IF/ICC, ELISA Application Description |
| 文献引用应用 | WB, IP |
| 经测试反应性 | human, mouse |
| 文献引用反应性 | human |
| 免疫原 |
CatNo: Ag9998 Product name: Recombinant human HAGH protein Source: e coli.-derived, PGEX-4T Tag: GST Domain: 1-260 aa of BC000840 Sequence: MKVEVLPALTDNYMYLVIDDETKEAAIVDPVQPQKVVDAARKHGVKLTTVLTTHHHWDHAGGNEKLVKLESGLKVYGGDDRIGALTHKITHLSTLQVGSLNVKCLATPCHTSGHICYFVSKPGGSEPPAVFTGDTLFVAGCGKFYEGTADEMCKALLEVLGRLPPDTRVYCGHEYTINNLKFARHVEPGNAAIREKLAWAKEKYSIGEPTVPSTLAEEFTYNPFMRVREKTVQQHAGETDPVTTMRAVRREKDQFKMPRD 种属同源性预测 |
| 宿主/亚型 | Rabbit / IgG |
| 抗体类别 | Polyclonal |
| 产品类型 | Antibody |
| 全称 | hydroxyacylglutathione hydrolase |
| 别名 | HAGH, EC:3.1.2.6, Glx II, GLX2, GLXII |
| 计算分子量 | 34 kDa |
| 观测分子量 | 29 kDa |
| GenBank蛋白编号 | BC000840 |
| 基因名称 | HAGH |
| Gene ID (NCBI) | 3029 |
| RRID | AB_2878361 |
| 偶联类型 | Unconjugated |
| 形式 | Liquid |
| 纯化方式 | Antigen affinity purification |
| UNIPROT ID | Q16775 |
| 储存缓冲液 | PBS with 0.02% sodium azide and 50% glycerol, pH 7.3. |
| 储存条件 | Store at -20°C. Stable for one year after shipment. Aliquoting is unnecessary for -20oC storage. |
背景介绍
GLO2 (Glyoxalase 2) is one of the key enzymes in the glyoxalase system, which is mainly involved in cellular metabolic processes, especially the metabolic pathways related to glycolysis.
实验方案
| Product Specific Protocols | |
|---|---|
| IF protocol for GLO2 antibody 17196-1-AP | Download protocol |
| WB protocol for GLO2 antibody 17196-1-AP | Download protocol |
| Standard Protocols | |
|---|---|
| Click here to view our Standard Protocols |
发表文章
| Species | Application | Title |
|---|---|---|
Brain C9orf72 expansion within astrocytes reduces metabolic flexibility in amyotrophic lateral sclerosis. | ||
Oncol Rep Butyrate increases methylglyoxal production through regulation of the JAK2/Stat3/Nrf2/Glo1 pathway in castration‑resistant prostate cancer cells | ||
Adv Sci (Weinh) Targeting Methylglyoxal Metabolism to Enhance Ferroptosis Sensitivity in Tumor Therapy |


