验证数据展示
经过测试的应用
| Positive WB detected in | HEK-293 cells, HeLa cells | 
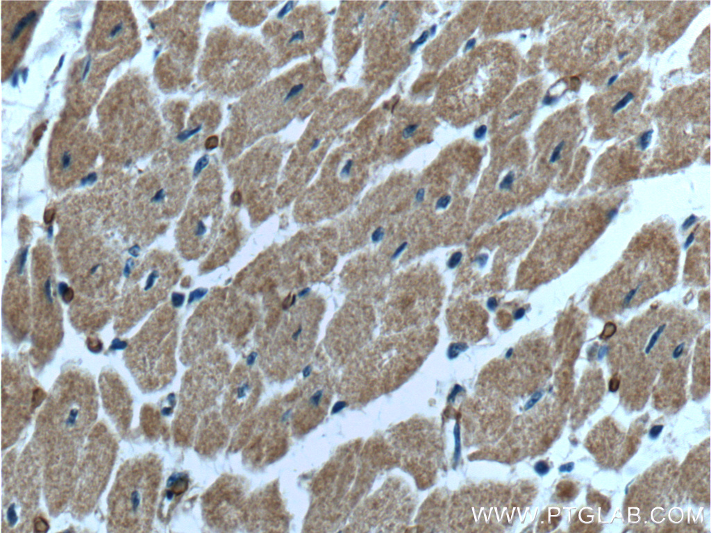
| Positive IHC detected in | human heart tissue Note: suggested antigen retrieval with TE buffer pH 9.0; (*) Alternatively, antigen retrieval may be performed with citrate buffer pH 6.0 | 
| Positive IF/ICC detected in | HeLa cells | 
推荐稀释比
| 应用 | 推荐稀释比 | 
|---|---|
| Western Blot (WB) | WB : 1:500-1:1000 | 
| Immunohistochemistry (IHC) | IHC : 1:100-1:400 | 
| Immunofluorescence (IF)/ICC | IF/ICC : 1:20-1:200 | 
| It is recommended that this reagent should be titrated in each testing system to obtain optimal results. | |
| Sample-dependent, Check data in validation data gallery. | |
发表文章中的应用
| KD/KO | See 2 publications below | 
| WB | See 3 publications below | 
| IHC | See 2 publications below | 
产品信息
24104-1-AP targets HACE1 in WB, IHC, IF/ICC, ELISA applications and shows reactivity with human samples.
| 经测试应用 | WB, IHC, IF/ICC, ELISA Application Description | 
| 文献引用应用 | WB, IHC | 
| 经测试反应性 | human | 
| 文献引用反应性 | human, mouse | 
| 免疫原 | CatNo: Ag21130 Product name: Recombinant human HACE1 protein Source: e coli.-derived, PET30a Tag: 6*His Domain: 564-909 aa of BC034982 Sequence: RSSCEVVSKANCAKLKQGIAVRFHGEEGMGQGVVREWFDILSNEIVNPDYALFTQSADGTTFQPNSNSYVNPDHLNYFRFAGQILGLALNHRQLVNIYFTRSFYKHILGIPVNYQDVASIDPEYAKNLQWILDNDISDLGLELTFSVETDVFGAMEEVPLKPGGGSILVTQNNKAEYVQLVTELRMTRAIQPQINAFLQGFHMFIPPSLIQLFDEYELELLLSGMPEIDVSDWIKNTEYTSGYEREDPVIQWFWEVVEDITQEERVLLLQFVTGSSRVPHGGFANIMGGSGLQNFTIAAVPYTPNLLPTSSTCINMLKLPEYPSKEILKDRLLVALHCGSYGYTMA种属同源性预测 | 
| 宿主/亚型 | Rabbit / IgG | 
| 抗体类别 | Polyclonal | 
| 产品类型 | Antibody | 
| 全称 | HECT domain and ankyrin repeat containing, E3 ubiquitin protein ligase 1 | 
| 别名 | HACE1, KIAA1320 | 
| 计算分子量 | 909 aa, 102 kDa | 
| 观测分子量 | 78 kDa | 
| GenBank蛋白编号 | BC034982 | 
| 基因名称 | HACE1 | 
| Gene ID (NCBI) | 57531 | 
| RRID | AB_2879432 | 
| 偶联类型 | Unconjugated | 
| 形式 | Liquid | 
| 纯化方式 | Antigen affinity purification | 
| UNIPROT ID | Q8IYU2 | 
| 储存缓冲液 | PBS with 0.02% sodium azide and 50% glycerol, pH 7.3. | 
| 储存条件 | Store at -20°C. Stable for one year after shipment. Aliquoting is unnecessary for -20oC storage. | 
背景介绍
HACE1(E3 ubiquitin-protein ligase HACE1) also named as KIAA1320, has a tumor-suppressor function dependent on its E3 ligase activity and controlling cell cycle progression during cell stress through degradation of cyclin D1. It belongs to the HECT family of E3 ubiqutin protein ligase. This protein has 4 isoforms produced by alternative splicing with the molecular weight of 102 kDa, 36 kDa, 64 kDa and 78 kDa.
实验方案
| Product Specific Protocols | |
|---|---|
| IF protocol for HACE1 antibody 24104-1-AP | Download protocol | 
| IHC protocol for HACE1 antibody 24104-1-AP | Download protocol | 
| WB protocol for HACE1 antibody 24104-1-AP | Download protocol | 
| Standard Protocols | |
|---|---|
| Click here to view our Standard Protocols | 
发表文章
| Species | Application | Title | 
|---|---|---|
| Reprod Biol Endocrinol NET1 is a critical regulator of spindle assembly and actin dynamics in mouse oocytes
 | ||
| Acta Biochim Biophys Sin (Shanghai) Magnolol promotes the autophagy of esophageal carcinoma cells by upregulating HACE1 gene expression | ||
| Cancer Med Overexpression of HACE1 in gastric cancer inhibits tumor aggressiveness by impeding cell proliferation and migration.
 | ||
| Transl Cancer Res Unveiling the role of HACE1 in cervical cancer: implications for human papillomavirus infection and prognosis | ||
| Autophagy HMBOX1 reverses autophagy mediated 5-fluorouracil resistance through promoting HACE1-induced ubiquitination and degradation of ATG5 in colorectal cancer | 





