验证数据展示
经过测试的应用
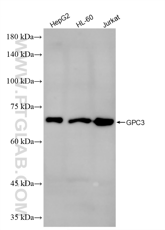
| Positive WB detected in | HepG2 cells, HL-60 cells, Jurkat cells |
推荐稀释比
| 应用 | 推荐稀释比 |
|---|---|
| Western Blot (WB) | WB : 1:5000-1:50000 |
| It is recommended that this reagent should be titrated in each testing system to obtain optimal results. | |
| Sample-dependent, Check data in validation data gallery. | |
产品信息
86694-1-RR targets Glypican 3 in WB, ELISA applications and shows reactivity with human samples.
| 经测试应用 | WB, ELISA Application Description |
| 经测试反应性 | human |
| 免疫原 |
Peptide 种属同源性预测 |
| 宿主/亚型 | Rabbit / IgG |
| 抗体类别 | Recombinant |
| 产品类型 | Antibody |
| 全称 | glypican 3 |
| 别名 | GPC3, DGSX, Glypican-3 alpha subunit, Glypican-3 beta subunit, GTR2 2 |
| 计算分子量 | 580 aa, 66 kDa |
| 观测分子量 | 66-70 kDa |
| GenBank蛋白编号 | BC035972 |
| 基因名称 | GPC3 |
| Gene ID (NCBI) | 2719 |
| 偶联类型 | Unconjugated |
| 形式 | Liquid |
| 纯化方式 | Protein A purification |
| UNIPROT ID | P51654 |
| 储存缓冲液 | PBS with 0.02% sodium azide and 50% glycerol, pH 7.3. |
| 储存条件 | Store at -20°C. Stable for one year after shipment. Aliquoting is unnecessary for -20oC storage. |
背景介绍
Glypicans (GPCs) are a family of glycosylphosphatidylinositol (GPI)-anchored heparan sulfate proteoglycans (HSPGs) that may play a role in the control of cell division and growth regulation. In mammals, there are six GPCs (GPC1 to GPC6), all of which have a similar core-protein size of approx. 60 kDa and the clustering of glycosaminoglycan attachment site near the C-terminus. They are tethered to the cell surface by GPI linkages, which can be cleaved by endogenous phospholipases, thus releasing the protein. Glypican 3 (GPC3) is highly expressed in many tissues during development and plays an important role in the regulation of embryonic growth (PMID: 22467855). Loss-of-function mutations of GPC3 result in the Simpson-Golabi-Behmel overgrowth syndrome (SGBS), and Gpc-3 null mice display developmental overgrowth (PMID: 8589713; 18477453). In hepatocellular carcinoma (HCC), the overexpression of glypican 3 has been demonstrated to be a reliable diagnostic indicator (PMID: 19212669; 22706665). The calculated molecular weight of native glypican 3 is 66 kDa, and glycinate forms of glypican 3 have higher molecular weights than 66 kDa (PMID: 12851874; 16024626; 19574424).
