验证数据展示
经过测试的应用
| Positive WB detected in | Jurkat cells |
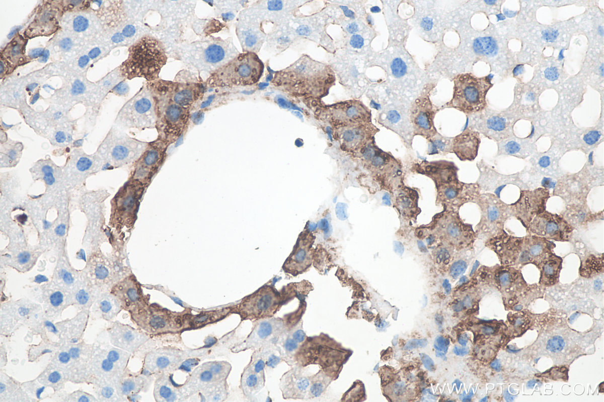
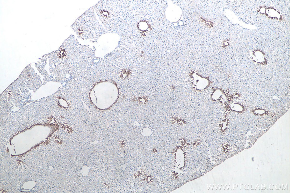
| Positive IHC detected in | human liver cancer tissue, human liver tissue, mouse liver tissue, rat liver tissue Note: suggested antigen retrieval with TE buffer pH 9.0; (*) Alternatively, antigen retrieval may be performed with citrate buffer pH 6.0 |
| Positive IF-P detected in | mouse liver tissue, mouse brain tissue |
| Positive IF-Fro detected in | mouse liver tissue |
| Positive FC (Intra) detected in | HepG2 cells |
推荐稀释比
| 应用 | 推荐稀释比 |
|---|---|
| Western Blot (WB) | WB : 1:500-1:2000 |
| Immunohistochemistry (IHC) | IHC : 1:2500-1:10000 |
| Immunofluorescence (IF)-P | IF-P : 1:200-1:800 |
| Immunofluorescence (IF)-FRO | IF-FRO : 1:200-1:800 |
| Flow Cytometry (FC) (INTRA) | FC (INTRA) : 0.40 ug per 10^6 cells in a 100 µl suspension |
| It is recommended that this reagent should be titrated in each testing system to obtain optimal results. | |
| Sample-dependent, Check data in validation data gallery. | |
产品信息
66323-2-Ig targets Glutamine Synthetase in WB, IHC, IF-P, IF-Fro, FC (Intra), ELISA applications and shows reactivity with human, mouse, rat samples.
| 经测试应用 | WB, IHC, IF-P, IF-Fro, FC (Intra), ELISA Application Description |
| 文献引用应用 | WB, IHC, IF |
| 经测试反应性 | human, mouse, rat |
| 文献引用反应性 | human, rat, canine |
| 免疫原 |
CatNo: Ag6309 Product name: Recombinant human Glutamine synthetase protein Source: e coli.-derived, PET28a Tag: 6*His Domain: 1-373 aa of BC011700 Sequence: MTTSASSHLNKGIKQVYMSLPQGEKVQAMYIWIDGTGEGLRCKTRTLDSEPKCVEELPEWNFDGSSTLQSEGSNSDMYLVPAAMFRDPFRKDPNKLVLCEVFKYNRRPAETNLRHTCKRIMDMVSNQHPWFGMEQEYTLMGTDGHPFGWPSNGFPGPQGPYYCGVGADRAYGRDIVEAHYRACLYAGVKIAGTNAEVMPAQWEFQIGPCEGISMGDHLWVARFILHRVCEDFGVIATFDPKPIPGNWNGAGCHTNFSTKAMREENGLKYIEEAIEKLSKRHQYHIRAYDPKGGLDNARRLTGFHETSNINDFSAGVANRSASIRIPRTVGQEKKGYFEDRRPSANCDPFSVTEALIRTCLLNETGDEPFQYKN 种属同源性预测 |
| 宿主/亚型 | Mouse / IgG1 |
| 抗体类别 | Monoclonal |
| 产品类型 | Antibody |
| 全称 | glutamate-ammonia ligase (glutamine synthetase) |
| 别名 | GLUL, 1B6G4, EC:2.3.1.225, EC:6.3.1.2, GLNS |
| 计算分子量 | 374 aa, 42 kDa |
| 观测分子量 | 42 kDa |
| GenBank蛋白编号 | BC011700 |
| 基因名称 | Glutamine Synthetase |
| Gene ID (NCBI) | 2752 |
| RRID | AB_2881704 |
| 偶联类型 | Unconjugated |
| 形式 | Liquid |
| 纯化方式 | Protein G purification |
| UNIPROT ID | P15104 |
| 储存缓冲液 | PBS with 0.02% sodium azide and 50% glycerol, pH 7.3. |
| 储存条件 | Store at -20°C. Stable for one year after shipment. Aliquoting is unnecessary for -20oC storage. |
实验方案
| Product Specific Protocols | |
|---|---|
| FC protocol for Glutamine Synthetase antibody 66323-2-Ig | Download protocol |
| IF protocol for Glutamine Synthetase antibody 66323-2-Ig | Download protocol |
| IHC protocol for Glutamine Synthetase antibody 66323-2-Ig | Download protocol |
| WB protocol for Glutamine Synthetase antibody 66323-2-Ig | Download protocol |
| Standard Protocols | |
|---|---|
| Click here to view our Standard Protocols |
发表文章
| Species | Application | Title |
|---|---|---|
Neural Regen Res Necroptosis plays a crucial role in the exacerbation of retinal injury after blunt ocular trauma | ||
Neural Regen Res Müller cells are activated in response to retinal outer nuclear layer degeneration in rats subjected to simulated weightlessness conditions | ||
Cancer Med Differences in Tumor-Infiltrating Lymphocyte Counts in the Peritumoral Area in Patients Undergoing Hepatic Resection After Lenvatinib and Atezolizumab Plus Bevacizumab Therapy for Hepatocellular Carcinoma | ||
Bone Res Chaperone-mediated autophagy directs a dual mechanism to balance premature senescence and senolysis to prevent intervertebral disc degeneration | ||
Adv Sci (Weinh) GLUL Confers Perivascular Cancer-Associated Fibroblasts With Pro-Angiogenic Capacity to Promote Glioma Progression.
| ||
Dis Markers Schisandrin B Alleviates Diabetic Cardiac Autonomic neuropathy Induced by P2X7 Receptor in Superior Cervical Ganglion via NLRP3. |














