验证数据展示
产品信息
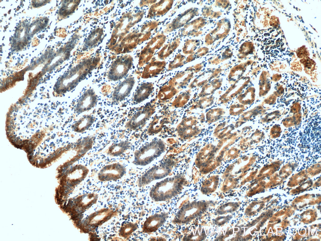
60130-1-PBS targets Gastrokine 1 in WB, IHC, IF-P, Indirect ELISA applications and shows reactivity with human, rat, pig, mouse samples.
| 经测试应用 | WB, IHC, IF-P, Indirect ELISA Application Description |
| 经测试反应性 | human, rat, pig, mouse |
| 免疫原 |
CatNo: Ag6091 Product name: Recombinant human GKN1 protein Source: e coli.-derived, PET28a Tag: 6*His Domain: 35-196 aa of BC059778 Sequence: NVNDDNNNAGSGQQSVSVNNEHNVANVDNNNGWDSWNSIWDYGNGFAATRLFQKKTCIVHKMNKEVMPSIQSLDALVKEKKLQGKGPGGPPPKGLMYSVNPNKVDDLSKFGKNIANMCRGIPTYMAEEMQEASLFFYSGTCYTTSVLWIVDISFCGDTVEN 种属同源性预测 |
| 宿主/亚型 | Mouse / IgG2a |
| 抗体类别 | Monoclonal |
| 产品类型 | Antibody |
| 全称 | gastrokine 1 |
| 别名 | 18 kDa antrum mucosa protein, AMP 18, AMP18, BRICD1, CA11, FOV, foveolin, gastrokine 1, GKN1, Protein CA11 |
| 计算分子量 | 22 kDa |
| 观测分子量 | 22 kDa |
| GenBank蛋白编号 | BC059778 |
| 基因名称 | Gastrokine 1 |
| Gene ID (NCBI) | 56287 |
| RRID | AB_2111459 |
| 偶联类型 | Unconjugated |
| 形式 | Liquid |
| 纯化方式 | Protein A purification |
| UNIPROT ID | Q9NS71 |
| 储存缓冲液 | PBS only, pH 7.3. |
| 储存条件 | Store at -80°C. The product is shipped with ice packs. Upon receipt, store it immediately at -80°C |
背景介绍
Gastrokine 1 (GKN1), a stomach-specific protein also known as 18 kDa antrum mucosa protein (AMP-18) or foveolin, belongs to the gastrokine family of gastric mucus cell-secreted proteins. The human GKN1 gene has been localized in a region of chromosome 2p13 of about 6 kb and contains 6 exons. GKN1 is expressed only in normal human stomach, but is absent from gastric adenocarcinomas, gastro-esophageal adenocarcinoma cell lines, and other normal and tumor gastro-intestinal tissues. GKN1may play an important role in normal gastric function and may be a gastric tumour suppressor.







