验证数据展示
经过测试的应用
| Positive WB detected in | L02 cells, HEK-293 cells, human liver tissue |
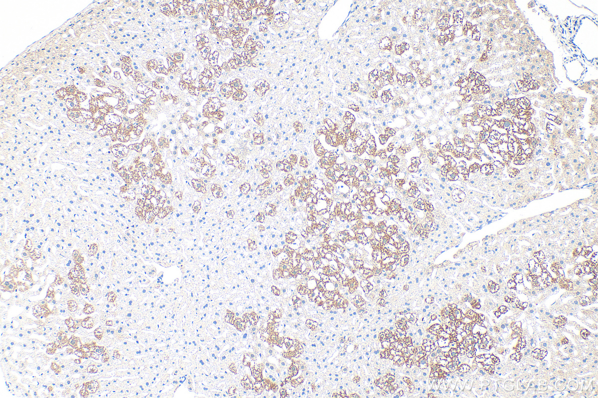
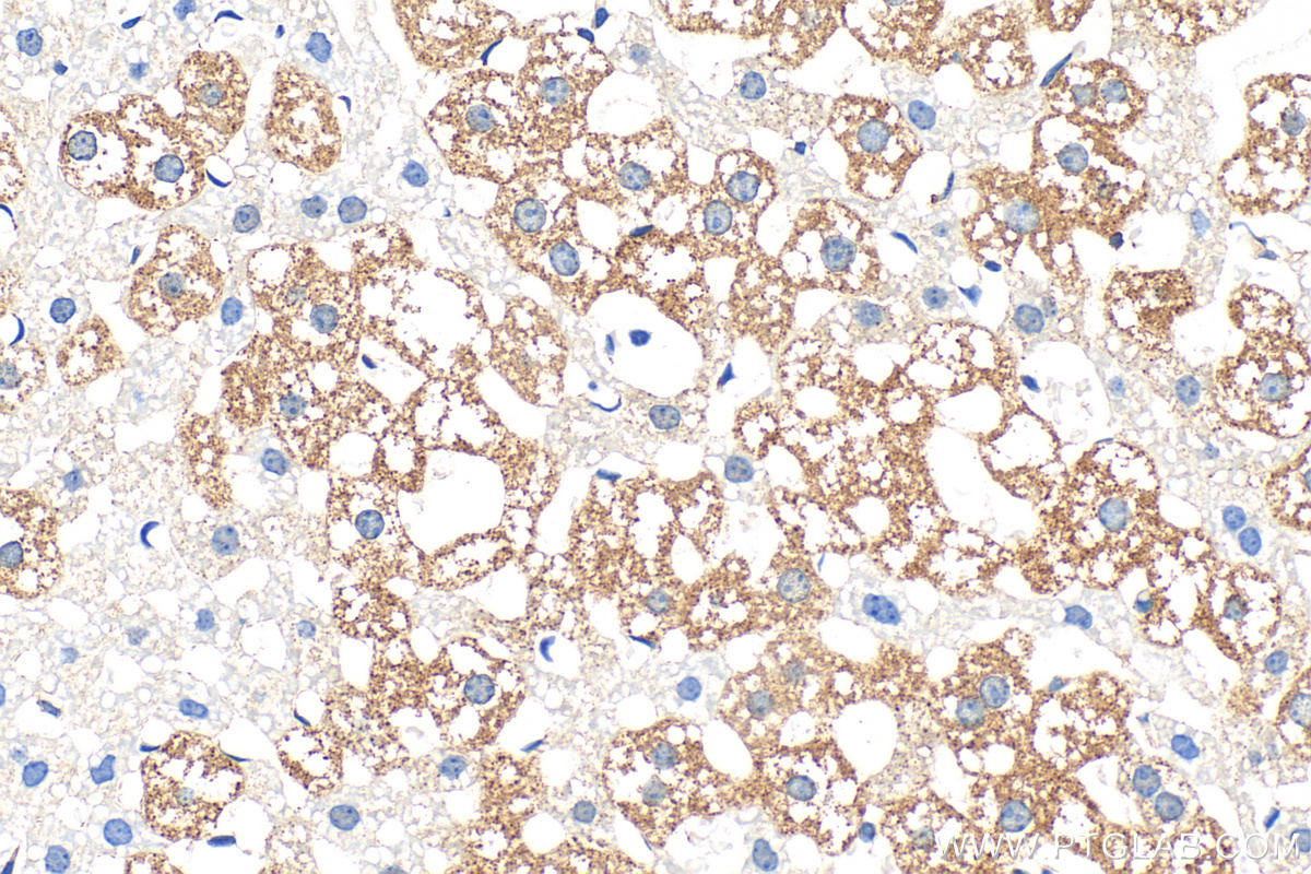
| Positive IHC detected in | mouse liver tissue Note: suggested antigen retrieval with TE buffer pH 9.0; (*) Alternatively, antigen retrieval may be performed with citrate buffer pH 6.0 |
推荐稀释比
| 应用 | 推荐稀释比 |
|---|---|
| Western Blot (WB) | WB : 1:500-1:1000 |
| Immunohistochemistry (IHC) | IHC : 1:50-1:500 |
| It is recommended that this reagent should be titrated in each testing system to obtain optimal results. | |
| Sample-dependent, Check data in validation data gallery. | |
发表文章中的应用
| WB | See 1 publications below |
产品信息
13150-1-AP targets GYG2 in WB, IHC, ELISA applications and shows reactivity with human samples.
| 经测试应用 | WB, IHC, ELISA Application Description |
| 文献引用应用 | WB |
| 经测试反应性 | human |
| 文献引用反应性 | human |
| 免疫原 |
CatNo: Ag3765 Product name: Recombinant human GYG2 protein Source: e coli.-derived, PGEX-4T Tag: GST Domain: 141-471 aa of BC023152 Sequence: FQPSLHTHKLLLQHAMEHGSFDGADQGLLNSFFRNWSTTDIHKHLPFIYNLSSNTMYTYSPAFKQFGSSAKVVHFLGSMKPWNYKYNPQSGSVLEQGSVSSSQHQAAFLHLWWTVYQNNVLPLYKSVQAGEARASPGHTLCRSDVGGPCADSASGVGEPCENSTPSAGVPCANSPLGSNQPAQGLPEPTQIVDETLSLPEGRRSEDMIACPETETPAVITCDPLSQPSPQPADFTETETILQPANKVESVSSEETFEPSQELPAEALRDPSLQDALEVDLAVSVSQISIEEKVKELSPEEERRKWEEGRIDYMGKDAFARIQEKLDRFLQ 种属同源性预测 |
| 宿主/亚型 | Rabbit / IgG |
| 抗体类别 | Polyclonal |
| 产品类型 | Antibody |
| 全称 | glycogenin 2 |
| 别名 | EC:2.4.1.186, glycogenin 2, Glycogenin-2, GN 2, GN2 |
| 计算分子量 | 501 aa, 55 kDa |
| 观测分子量 | 45 kDa, 66-70 kDa |
| GenBank蛋白编号 | BC023152 |
| 基因名称 | GYG2 |
| Gene ID (NCBI) | 8908 |
| RRID | AB_2116111 |
| 偶联类型 | Unconjugated |
| 形式 | Liquid |
| 纯化方式 | Antigen affinity purification |
| UNIPROT ID | O15488 |
| 储存缓冲液 | PBS with 0.02% sodium azide and 50% glycerol, pH 7.3. |
| 储存条件 | Store at -20°C. Stable for one year after shipment. Aliquoting is unnecessary for -20oC storage. |
背景介绍
GYG2 belongs to the glycogenin family. Glycogenin is a self-glucosylating protein involved in the initiation phase of glycogen biosynthesis. Multiple alternatively spliced transcript variants encoding different isoforms have been identified, including the predominant band around 66 kDa and a light band around 45 kDa.
实验方案
| Product Specific Protocols | |
|---|---|
| IHC protocol for GYG2 antibody 13150-1-AP | Download protocol |
| WB protocol for GYG2 antibody 13150-1-AP | Download protocol |
| Standard Protocols | |
|---|---|
| Click here to view our Standard Protocols |




