验证数据展示
经过测试的应用
| Positive WB detected in | human brain tissue, human cerebellum tissue, human kidney tissue, mouse lung tissue |
| Positive IP detected in | mouse lung tissue |
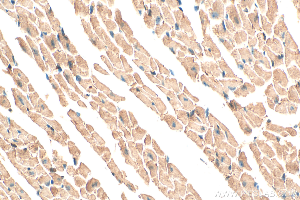
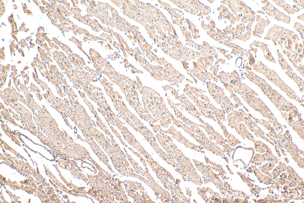
| Positive IHC detected in | mouse heart tissue, human heart tissue Note: suggested antigen retrieval with TE buffer pH 9.0; (*) Alternatively, antigen retrieval may be performed with citrate buffer pH 6.0 |
推荐稀释比
| 应用 | 推荐稀释比 |
|---|---|
| Western Blot (WB) | WB : 1:500-1:2000 |
| Immunoprecipitation (IP) | IP : 0.5-4.0 ug for 1.0-3.0 mg of total protein lysate |
| Immunohistochemistry (IHC) | IHC : 1:50-1:500 |
| It is recommended that this reagent should be titrated in each testing system to obtain optimal results. | |
| Sample-dependent, Check data in validation data gallery. | |
产品信息
12605-1-AP targets GUCY1A3 in WB, IHC, IF, IP, ELISA applications and shows reactivity with human, mouse, rat samples.
| 经测试应用 | WB, IHC, IP, ELISA Application Description |
| 文献引用应用 | WB, IHC, IF |
| 经测试反应性 | human, mouse, rat |
| 文献引用反应性 | human, mouse, rat |
| 免疫原 |
CatNo: Ag3293 Product name: Recombinant human GUCY1A3 protein Source: e coli.-derived, PGEX-4T Tag: GST Domain: 391-690 aa of BC028384 Sequence: EDFTGRGLYLSDIPIHNALRDVVLIGEQARAQDGLKKRLGKLKATLEQAHQALEEEKKKTVDLLCSIFPCEVAQQLWQGQVVQAKKFSNVTMLFSDIVGFTAICSQCSPLQVITMLNALYTRFDQQCGELDVYKVETIGDAYCVAGGLHKESDTHAVQIALMAVKMMELSDEVMSPHGEPIKMRIGLHSGSVFAGVVGVKMPRYCLFGNNVTLANKFESCSVPRKINVSPTTYRLLKDCPGFVFTPRSREELPPNFPSEIPGICHFLDAYQQGTNSKPCFQKKDVEDGNANFLGKASGID 种属同源性预测 |
| 宿主/亚型 | Rabbit / IgG |
| 抗体类别 | Polyclonal |
| 产品类型 | Antibody |
| 全称 | guanylate cyclase 1, soluble, alpha 3 |
| 别名 | EC:4.6.1.2, GC SA3, GCS alpha 1, GCS alpha 3, GCS-alpha-1 |
| 计算分子量 | 690 aa, 77 kDa |
| 观测分子量 | 77 kDa |
| GenBank蛋白编号 | BC028384 |
| 基因名称 | GUCY1A3 |
| Gene ID (NCBI) | 2982 |
| RRID | AB_2248099 |
| 偶联类型 | Unconjugated |
| 形式 | Liquid |
| 纯化方式 | Antigen affinity purification |
| UNIPROT ID | Q02108 |
| 储存缓冲液 | PBS with 0.02% sodium azide and 50% glycerol, pH 7.3. |
| 储存条件 | Store at -20°C. Stable for one year after shipment. Aliquoting is unnecessary for -20oC storage. |
背景介绍
Guanylate cyclase soluble subunit alpha-1 (GUCY1A3, also known as GUCY1A1, GCS-alpha-1, and GCS-alpha-3) is a lyase that plays a role in cGMP biosynthesis (PMID: 24155296). GUCY1A3 activation may be considered as a strategy to alleviate endothelial ferroptosis and cardiac microvascular reperfusion injury (PMID: 40856046). GUCY1A3 is also known to be associated with coronary artery disease and pulmonary artery hypertension (PMID: 24213632; 25373139).
实验方案
| Product Specific Protocols | |
|---|---|
| IHC protocol for GUCY1A3 antibody 12605-1-AP | Download protocol |
| IP protocol for GUCY1A3 antibody 12605-1-AP | Download protocol |
| WB protocol for GUCY1A3 antibody 12605-1-AP | Download protocol |
| Standard Protocols | |
|---|---|
| Click here to view our Standard Protocols |
发表文章
| Species | Application | Title |
|---|---|---|
Hepatology Single-cell transcriptomic analysis reveals a hepatic stellate cell-activation roadmap and myofibroblast origin during liver fibrosis. | ||
Nat Commun Aortic disease in Marfan syndrome is caused by overactivation of sGC-PRKG signaling by NO. | ||
Int J Mol Sci Hypertensive Effect of Downregulation of the Opioid System in Mouse Model of Different Activity of the Endogenous Opioid System. | ||
J Ethnopharmacol Modified Zhenwu Decoction improved intestinal barrier function of experimental colitis through activation of sGC-mediated cGMP/PKG signaling | ||
Sci Rep Hypertension reduces soluble guanylyl cyclase expression in the mouse aorta via the Notch signaling pathway. | ||
Eur J Pharmacol Sodium valproate treatment reverses endothelial dysfunction in aorta from rabbits with acute myocardial infarction |










