验证数据展示
经过测试的应用
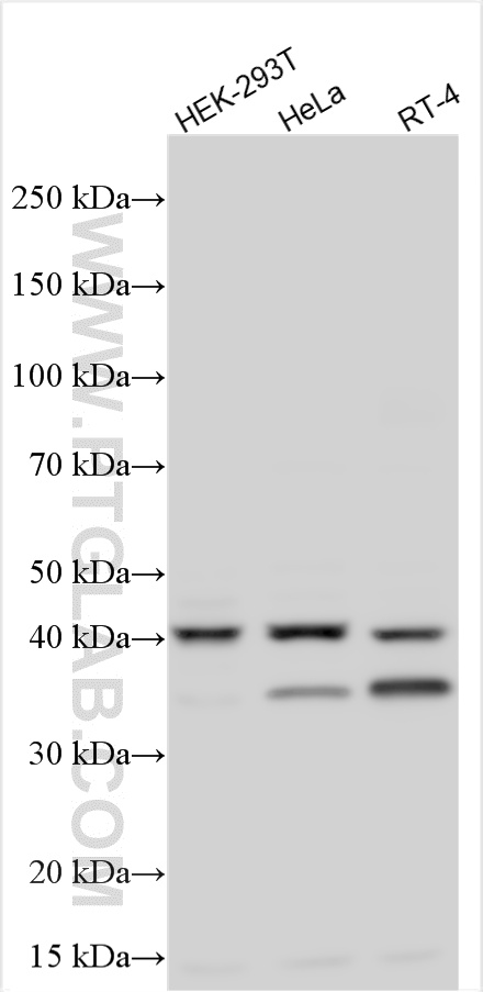
| Positive WB detected in | HEK-293T cells, HeLa cells, RT-4 cells |
推荐稀释比
| 应用 | 推荐稀释比 |
|---|---|
| Western Blot (WB) | WB : 1:500-1:2000 |
| It is recommended that this reagent should be titrated in each testing system to obtain optimal results. | |
| Sample-dependent, Check data in validation data gallery. | |
产品信息
32944-1-AP targets GTPBP10 in WB, ELISA applications and shows reactivity with human, mouse samples.
| 经测试应用 | WB, ELISA Application Description |
| 经测试反应性 | human, mouse |
| 免疫原 |
CatNo: Ag37974 Product name: Recombinant human GTPBP10 protein Source: e coli.-derived, PGEX-4T Tag: GST Domain: 1-387 aa of BC107714 Sequence: MVHCSCVLFRKYGNFIDKLRLFTRGGSGGMGYPRLGGEGGKGGDVWVVAQNRMTLKQLKDRYPGKRFVAGVGANSKISALKGSKGKDWEIPVPVGISVTDENGKIIGELNKENDRILVAQGGLGGKLLTNFLPLKGQKRIIHLDLKLIADVGLVGFPNAGKSSLLSCVSHAKPAIADYAFTTLKPELGKIMYSDFKQISVADLPGLIEGAHMNKGMGHKFLKHIERTRQLLFVVDISGFQLSSHTQYRTAFETIILLTKELELYKEELQTKPALLAVNKMDLPDAQDKFHELMSQLQNPKDFLHLFEKNMIPERTVEFQHIIPISAVTGEGIEELKNCIRKSLDEQANQENDALHKKQLLNLWISDTMSSTEPPSKHAVTTSKMDII 种属同源性预测 |
| 宿主/亚型 | Rabbit / IgG |
| 抗体类别 | Polyclonal |
| 产品类型 | Antibody |
| 全称 | GTP-binding protein 10 (putative) |
| 别名 | GTP-binding protein 10, ObgH2, Protein obg homolog 2, UG0751c10 |
| 计算分子量 | 43, 34, 12 kDa |
| 观测分子量 | 42, 34, 20 kDa |
| GenBank蛋白编号 | BC107714 |
| 基因名称 | GTPBP10 |
| Gene ID (NCBI) | 85865 |
| 偶联类型 | Unconjugated |
| 形式 | Liquid |
| 纯化方式 | Antigen affinity Purification |
| UNIPROT ID | A4D1E9 |
| 储存缓冲液 | PBS with 0.02% sodium azide and 50% glycerol, pH 7.3. |
| 储存条件 | Store at -20°C. Stable for one year after shipment. Aliquoting is unnecessary for -20oC storage. |
背景介绍
GTPBP10, a member of the conserved Obg family of P-loop small G proteins, is a mitochondrial protein. The absence of GTPBP10 leads to attenuated mtLSU and mtSSU levels and the virtual absence of the 55S monosome, which entirely prevents mitochondrial protein synthesis. GTPBP10 physically interacts with the 16S rRNA, but not with the 12S rRNA, and crosslinks with several mtLSU proteins. Additionally, GTPBP10 is indirectly required for efficient processing of the 12S-16S rRNA precursor transcript, which could explain the mtSSU accumulation defect (PMID: 30321378).
实验方案
| Product Specific Protocols | |
|---|---|
| WB protocol for GTPBP10 antibody 32944-1-AP | Download protocol |
| Standard Protocols | |
|---|---|
| Click here to view our Standard Protocols |
