验证数据展示
经过测试的应用
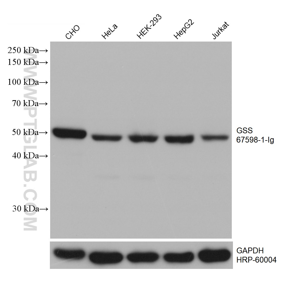
| Positive WB detected in | CHO cells, rat liver tissue, HEK-293 cells, HeLa cells, HepG2 cells, Jurkat cells |
| Positive IHC detected in | human liver cancer tissue Note: suggested antigen retrieval with TE buffer pH 9.0; (*) Alternatively, antigen retrieval may be performed with citrate buffer pH 6.0 |
| Positive IF/ICC detected in | HeLa cells |
推荐稀释比
| 应用 | 推荐稀释比 |
|---|---|
| Western Blot (WB) | WB : 1:5000-1:50000 |
| Immunohistochemistry (IHC) | IHC : 1:500-1:2000 |
| Immunofluorescence (IF)/ICC | IF/ICC : 1:200-1:800 |
| It is recommended that this reagent should be titrated in each testing system to obtain optimal results. | |
| Sample-dependent, Check data in validation data gallery. | |
发表文章中的应用
| WB | See 6 publications below |
产品信息
67598-1-Ig targets GSS in WB, IHC, IF/ICC, ELISA applications and shows reactivity with human, mouse, rat, pig, hamster samples.
| 经测试应用 | WB, IHC, IF/ICC, ELISA Application Description |
| 文献引用应用 | WB |
| 经测试反应性 | human, mouse, rat, pig, hamster |
| 文献引用反应性 | human, mouse, rat |
| 免疫原 |
CatNo: Ag8354 Product name: Recombinant human GSS protein Source: e coli.-derived, PET28a Tag: 6*His Domain: 125-474 aa of BC007927 Sequence: RSDYMFQRSADGSPALKQIEINTISASFGGLASRTPAVHRHVLSVLSKTKEAGKILSNNPSKGLALGIAKAWELYGSPNALVLLIAQEKERNIFDQRAIENELLARNIHVIRRTFEDISEKGSLDQDRRLFVDGQEIAVVYFRDGYMPRQYSLQNWEARLLLERSHAAKCPDIATQLAGTKKVQQELSRPGMLEMLLPGQPEAVARLRATFAGLYSLDVGEEGDQAIAEALAAPSRFVLKPQREGGGNNLYGEEMVQALKQLKDSEERASYILMEKIEPEPFENCLLRPGSPARVVQCISELGIFGVYVRQEKTLVMNKHVGHLLRTKAIEHADGGVAAGVAVLDNPYPV 种属同源性预测 |
| 宿主/亚型 | Mouse / IgG1 |
| 抗体类别 | Monoclonal |
| 产品类型 | Antibody |
| 全称 | glutathione synthetase |
| 别名 | 1F12G1, EC:6.3.2.3, Glutathione synthase, glutathione synthetase, GSH S |
| 计算分子量 | 474 aa, 52 kDa |
| 观测分子量 | 52 kDa |
| GenBank蛋白编号 | BC007927 |
| 基因名称 | GSS |
| Gene ID (NCBI) | 2937 |
| RRID | AB_2882804 |
| 偶联类型 | Unconjugated |
| 形式 | Liquid |
| 纯化方式 | Protein G purification |
| UNIPROT ID | P48637 |
| 储存缓冲液 | PBS with 0.02% sodium azide and 50% glycerol, pH 7.3. |
| 储存条件 | Store at -20°C. Stable for one year after shipment. Aliquoting is unnecessary for -20oC storage. |
实验方案
| Product Specific Protocols | |
|---|---|
| IF protocol for GSS antibody 67598-1-Ig | Download protocol |
| IHC protocol for GSS antibody 67598-1-Ig | Download protocol |
| WB protocol for GSS antibody 67598-1-Ig | Download protocol |
| Standard Protocols | |
|---|---|
| Click here to view our Standard Protocols |
发表文章
| Species | Application | Title |
|---|---|---|
World J Gastroenterol Bile acids inhibit ferroptosis sensitivity through activating farnesoid X receptor in gastric cancer cells | ||
Metab Brain Dis Edaravone dextranol alleviates ferroptosis, Cuproptosis, and blood-brain barrier damage after acute cerebral infarction | ||
Eur J Pharmacol Baicalein suppresses the malignant progression of acute myeloid leukemia via ROS-dependent metabolic reprogramming: Mechanisms of differentiation induction and ferroptosis activation | ||
J Ovarian Res Oviductus Ranae alleviates D-galactose-induced ovarian aging by inhibiting ferroptosis and regulating the GPX4/ACSL4 pathway. | ||
Respir Res Solasonine inhibits NSCLC malignant progression by regulating SLC7A11 ubiquitination degradation and inducing ferroptosis. | ||
J Biol Chem Glucose-6-phosphate dehydrogenase exerts anti-stress effects independently of its enzymatic activity |





