验证数据展示
经过测试的应用
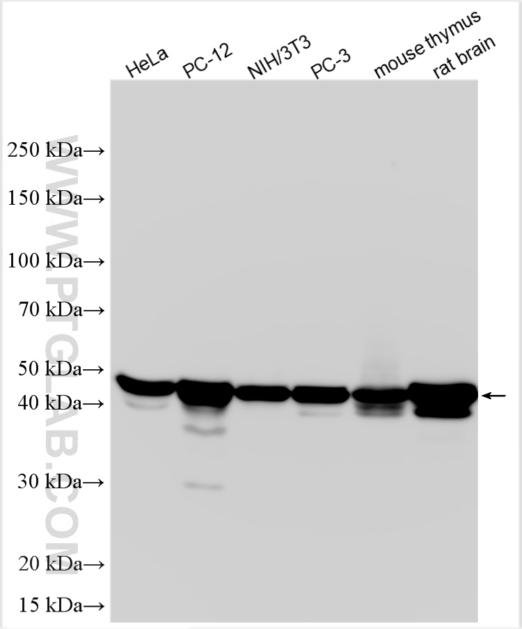
| Positive WB detected in | HeLa cells, PC-12 cells, NIH/3T3 cells, PC-3 cells, mouse thymus tissue, rat brain tissue |
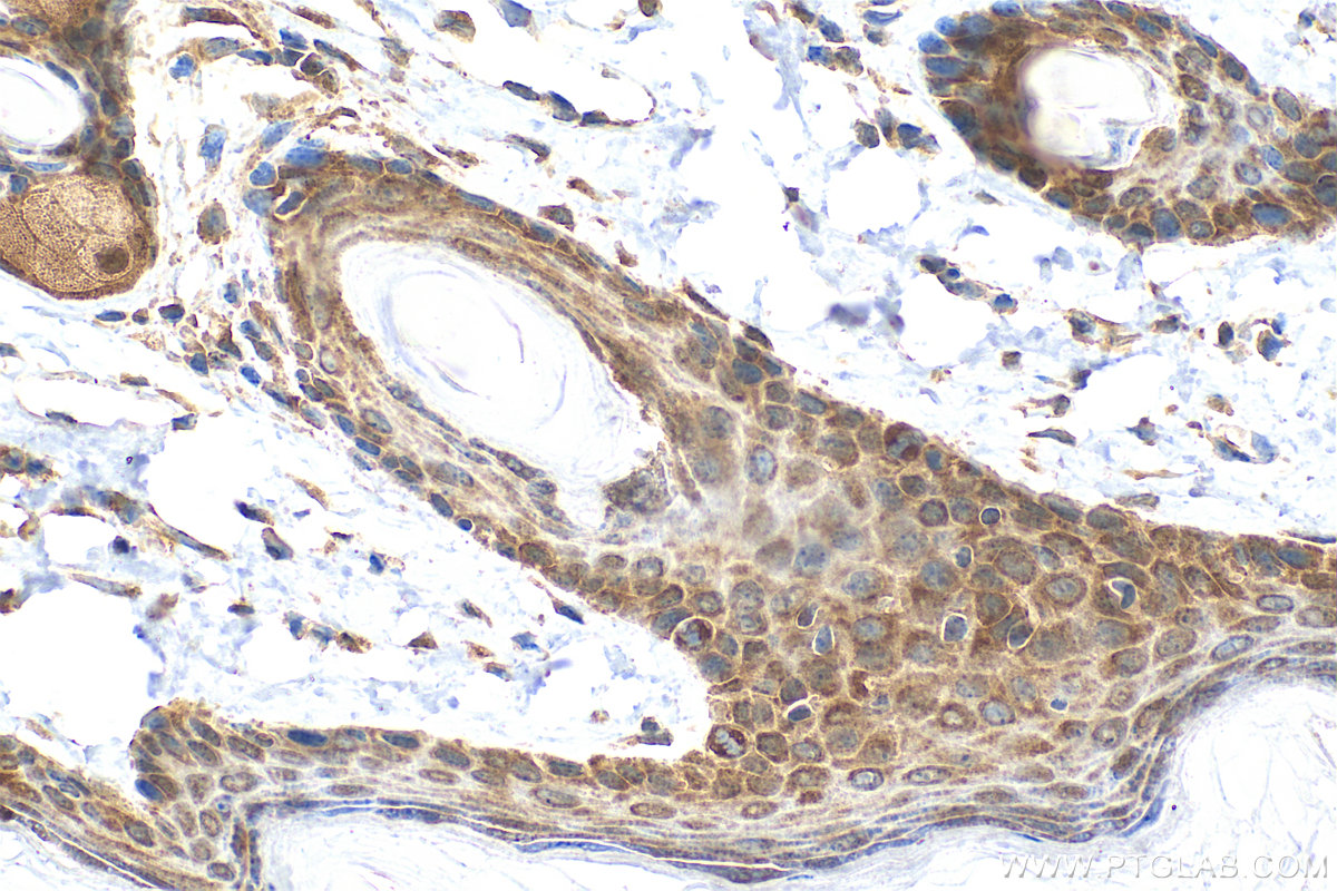
| Positive IHC detected in | mouse skin tissue Note: suggested antigen retrieval with TE buffer pH 9.0; (*) Alternatively, antigen retrieval may be performed with citrate buffer pH 6.0 |
| Positive IF/ICC detected in | MCF-7 cells |
推荐稀释比
| 应用 | 推荐稀释比 |
|---|---|
| Western Blot (WB) | WB : 1:5000-1:50000 |
| Immunohistochemistry (IHC) | IHC : 1:500-1:2000 |
| Immunofluorescence (IF)/ICC | IF/ICC : 1:200-1:800 |
| It is recommended that this reagent should be titrated in each testing system to obtain optimal results. | |
| Sample-dependent, Check data in validation data gallery. | |
产品信息
RMX00019 targets GSK3B in WB, IHC, IF/ICC, ELISA applications and shows reactivity with human, mouse, rat samples.
| 经测试应用 | WB, IHC, IF/ICC, ELISA Application Description |
| 经测试反应性 | human, mouse, rat |
| 免疫原 |
Mixture 种属同源性预测 |
| 宿主/亚型 | Rabbit / IgG |
| 抗体类别 | Multi-Recombinant |
| 产品类型 | Antibody |
| 全称 | glycogen synthase kinase 3 beta |
| 别名 | GSK3 beta, EC:2.7.11.1, EC:2.7.11.26, GSK 3 beta, GSK-3 beta |
| 计算分子量 | 433 aa, 48 kDa |
| 观测分子量 | 46-48 kDa |
| GenBank蛋白编号 | BC000251 |
| 基因名称 | GSK3B |
| Gene ID (NCBI) | 2932 |
| 偶联类型 | Unconjugated |
| 形式 | Liquid |
| 纯化方式 | N/A |
| UNIPROT ID | P49841 |
| 储存缓冲液 | PBS with 0.02% sodium azide and 50% glycerol, pH 7.3. |
| 储存条件 | Store at -20°C. Stable for one year after shipment. Aliquoting is unnecessary for -20oC storage. |
背景介绍
Glycogen synthase kinase-3 (GSK3) is a proline-directed serine-threonine kinase that was initially identified as a phosphorylating and inactivating glycogen synthase.GSK3B is involved in energy metabolism, neuronal cell development, and body pattern formation.In skeletal muscle, it contributes to INS regulation of glycogen synthesis by phosphorylating and inhibiting GYS1 activity and hence glycogen synthesis.
实验方案
| Product Specific Protocols | |
|---|---|
| IF protocol for GSK3B antibody RMX00019 | Download protocol |
| IHC protocol for GSK3B antibody RMX00019 | Download protocol |
| WB protocol for GSK3B antibody RMX00019 | Download protocol |
| Standard Protocols | |
|---|---|
| Click here to view our Standard Protocols |


