验证数据展示
经过测试的应用
| Positive WB detected in | mouse brain tissue, HeLa cells, PC-12 cells |
| Positive IP detected in | mouse brain tissue |
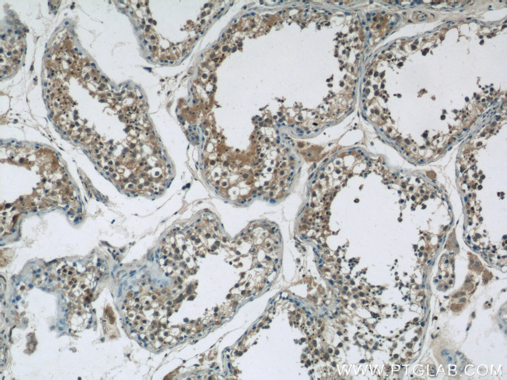
| Positive IHC detected in | human testis tissue Note: suggested antigen retrieval with TE buffer pH 9.0; (*) Alternatively, antigen retrieval may be performed with citrate buffer pH 6.0 |
| Positive IF/ICC detected in | Ethacrynic acid treated HeLa cells |
推荐稀释比
| 应用 | 推荐稀释比 |
|---|---|
| Western Blot (WB) | WB : 1:500-1:2000 |
| Immunoprecipitation (IP) | IP : 0.5-4.0 ug for 1.0-3.0 mg of total protein lysate |
| Immunohistochemistry (IHC) | IHC : 1:20-1:200 |
| Immunofluorescence (IF)/ICC | IF/ICC : 1:10-1:100 |
| It is recommended that this reagent should be titrated in each testing system to obtain optimal results. | |
| Sample-dependent, Check data in validation data gallery. | |
发表文章中的应用
| WB | See 5 publications below |
产品信息
24198-1-AP targets GSK3B in WB, IHC, IF/ICC, IP, ELISA applications and shows reactivity with human, mouse, rat samples.
| 经测试应用 | WB, IHC, IF/ICC, IP, ELISA Application Description |
| 文献引用应用 | WB |
| 经测试反应性 | human, mouse, rat |
| 文献引用反应性 | human, mouse, rat |
| 免疫原 |
CatNo: Ag21438 Product name: Recombinant human GSK3B protein Source: e coli.-derived, PET30a Tag: 6*His Domain: 1-433 aa of BC000251 Sequence: MSGRPRTTSFAESCKPVQQPSAFGSMKVSRDKDGSKVTTVVATPGQGPDRPQEVSYTDTKVIGNGSFGVVYQAKLCDSGELVAIKKVLQDKRFKNRELQIMRKLDHCNIVRLRYFFYSSGEKKDEVYLNLVLDYVPETVYRVARHYSRAKQTLPVIYVKLYMYQLFRSLAYIHSFGICHRDIKPQNLLLDPDTAVLKLCDFGSAKQLVRGEPNVSYICSRYYRAPELIFGATDYTSSIDVWSAGCVLAELLLGQPIFPGDSGVDQLVEIIKVLGTPTREQIREMNPNYTEFKFPQIKAHPWTKDSSGTGHFTSGVRVFRPRTPPEAIALCSRLLEYTPTARLTPLEACAHSFFDELRDPNVKLPNGRDTPALFNFTTQELSSNPPLATILIPPHARIQAAASTPTNATAASDANTGDRGQTNNAASASASNST 种属同源性预测 |
| 宿主/亚型 | Rabbit / IgG |
| 抗体类别 | Polyclonal |
| 产品类型 | Antibody |
| 全称 | glycogen synthase kinase 3 beta |
| 别名 | GSK 3 beta, GSK3 beta, GSK3A B, GSK3B, GSK-3B, GSK3B 216P, gsk3beta |
| 计算分子量 | 433 aa, 48 kDa |
| 观测分子量 | 46 kDa |
| GenBank蛋白编号 | BC000251 |
| 基因名称 | GSK3B |
| Gene ID (NCBI) | 2932 |
| RRID | AB_2879451 |
| 偶联类型 | Unconjugated |
| 形式 | Liquid |
| 纯化方式 | Antigen Affinity purified |
| UNIPROT ID | P49841 |
| 储存缓冲液 | PBS with 0.02% sodium azide and 50% glycerol, pH 7.3. |
| 储存条件 | Store at -20°C. Stable for one year after shipment. Aliquoting is unnecessary for -20oC storage. |
实验方案
| Product Specific Protocols | |
|---|---|
| WB protocol for GSK3B antibody 24198-1-AP | Download protocol |
| IHC protocol for GSK3B antibody 24198-1-AP | Download protocol |
| IF protocol for GSK3B antibody 24198-1-AP | Download protocol |
| IP protocol for GSK3B antibody 24198-1-AP | Download protocol |
| Standard Protocols | |
|---|---|
| Click here to view our Standard Protocols |
发表文章
| Species | Application | Title |
|---|---|---|
Int J Biol Macromol Cranial repair-promoting effect of oxidised sodium alginate/amino gelatine injectable hydrogel loaded with deer antler blood peptides | ||
Genes Dis Naked cuticle homolog 2 controls the differentiation of osteoblasts and osteoclasts and ameliorates bone loss in ovariectomized mice | ||
Front Cardiovasc Med Vascular Smooth Muscle FTO Promotes Aortic Dissecting Aneurysms via m6A Modification of Klf5. | ||
Tumour Biol Downregulation of β-catenin blocks fibrosis via Wnt2 signaling in human keloid fibroblasts. | ||
Medicine (Baltimore) Wnt2 knock down by RNAi inhibits the proliferation of in vitro-cultured human keloid fibroblasts. | ||
Biomed Res Int Administration of Repetitive Transcranial Magnetic Stimulation Attenuates Aβ1-42-Induced Alzheimer's Disease in Mice by Activating β-Catenin Signaling. |







