验证数据展示
产品信息
84971-3-PBS targets GS28 as part of a matched antibody pair:
MP01719-2: 84971-3-PBS capture and 84971-4-PBS detection (validated in Cytometric bead array)
Unconjugated rabbit recombinant monoclonal antibody in PBS only (BSA and azide free) storage buffer at a concentration of 1 mg/mL, ready for conjugation. Created using Proteintech’s proprietary in-house recombinant technology. Recombinant production enables unrivalled batch-to-batch consistency, easy scale-up, and future security of supply.
This conjugation ready format makes antibodies ideal for use in many applications including: ELISAs, multiplex assays requiring matched pairs, mass cytometry, and multiplex imaging applications.Antibody use should be optimized by the end user for each application and assay.
| 经测试应用 | WB, IHC, IF/ICC, Cytometric bead array, Indirect ELISA Application Description |
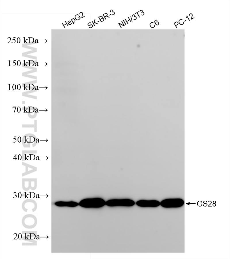
| 经测试反应性 | human, mouse, rat |
| 免疫原 |
CatNo: Ag9021 Product name: Recombinant human GS28 protein Source: e coli.-derived, PGEX-4T Tag: GST Domain: 1-117 aa of BC012620 Sequence: MAAGTSSYWEDLRKQARQLENELDLKLVSFSKLCTSYSHSSTRDGRRDRYSSDTTPLLNGSSQDRMFETMAIEIEQLLARLTGVNDKMAEYTNSAGVPSLNAALMHTLQRHRDILQV 种属同源性预测 |
| 宿主/亚型 | Rabbit / IgG |
| 抗体类别 | Recombinant |
| 产品类型 | Antibody |
| 全称 | golgi SNAP receptor complex member 1 |
| 别名 | 242552G12, 28 kDa cis-Golgi SNARE p28, 28 kDa Golgi SNARE protein, Golgi SNAP receptor complex member 1, GOS-28 |
| 计算分子量 | 28.6 kDa |
| 观测分子量 | 28 kDa |
| GenBank蛋白编号 | BC012620 |
| 基因名称 | GS28 |
| Gene ID (NCBI) | 9527 |
| RRID | AB_3743898 |
| 偶联类型 | Unconjugated |
| 形式 | Liquid |
| 纯化方式 | Protein A purification |
| UNIPROT ID | O95249 |
| 储存缓冲液 | PBS only, pH 7.3. |
| 储存条件 | Store at -80°C. The product is shipped with ice packs. Upon receipt, store it immediately at -80°C |
背景介绍
GS28, also known as GOSR1, is a 28-kDa Golgi SNARE protein that participates in ER-Golgi and intra-Golgi transport. GS28 is considered to be a core component of the Golgi SNARE complex. (PMID: 8638159)







