验证数据展示
经过测试的应用
| Positive WB detected in | BxPC-3 cells, Caco-2 cells, HEK-293 cells, HeLa cells, HepG2 cells, mouse brain tissue, mouse liver tissue, rat brain tissue, rat liver tissue, HT-29 cells |
| Positive IP detected in | MCF-7 cells |
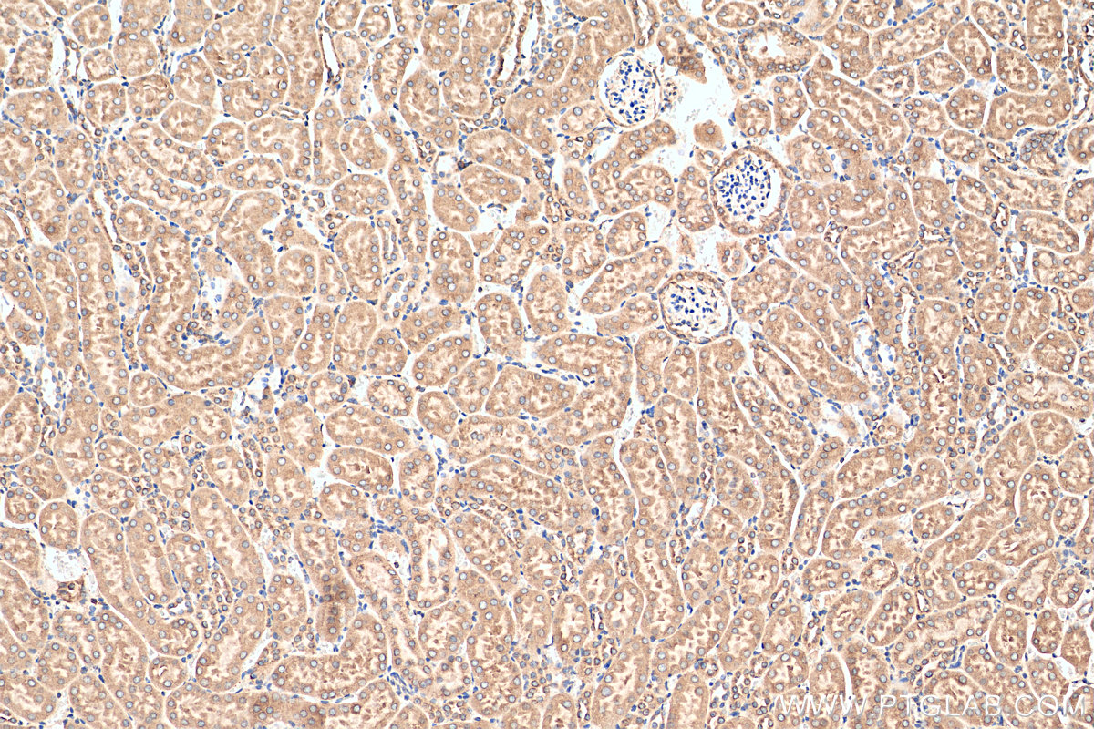
| Positive IHC detected in | human pancreas cancer tissue, human breast cancer tissue, mouse kidney tissue, rat brain tissue, mouse heart tissue, human colon cancer tissue Note: suggested antigen retrieval with TE buffer pH 9.0; (*) Alternatively, antigen retrieval may be performed with citrate buffer pH 6.0 |
| Positive IF/ICC detected in | HepG2 cells, Thapsigargin treated HepG2 cells |
| Positive FC (Intra) detected in | HeLa cells |
推荐稀释比
| 应用 | 推荐稀释比 |
|---|---|
| Western Blot (WB) | WB : 1:2000-1:12000 |
| Immunoprecipitation (IP) | IP : 0.5-4.0 ug for 1.0-3.0 mg of total protein lysate |
| Immunohistochemistry (IHC) | IHC : 1:50-1:500 |
| Immunofluorescence (IF)/ICC | IF/ICC : 1:50-1:500 |
| Flow Cytometry (FC) (INTRA) | FC (INTRA) : 0.40 ug per 10^6 cells in a 100 µl suspension |
| It is recommended that this reagent should be titrated in each testing system to obtain optimal results. | |
| Sample-dependent, Check data in validation data gallery. | |
产品信息
11587-1-AP targets GRP78/BIP in WB, IHC, IF/ICC, FC (Intra), IP, CoIP, ELISA applications and shows reactivity with human, mouse, rat samples.
| 经测试应用 | WB, IHC, IF/ICC, FC (Intra), IP, ELISA Application Description |
| 文献引用应用 | WB, IHC, IF, IP, CoIP |
| 经测试反应性 | human, mouse, rat |
| 文献引用反应性 | human, mouse, rat, rabbit, monkey, chicken, goat, carp, medaka embryos, deer |
| 免疫原 |
CatNo: Ag2188 Product name: Recombinant human GRP78,BIP protein Source: e coli.-derived, PGEX-4T Tag: GST Domain: 351-654 aa of BC020235 Sequence: LKKSDIDEIVLVGGSTRIPKIQQLVKEFFNGKEPSRGINPDEAVAYGAAVQAGVLSGDQDTGDLVLLDVCPLTLGIETVGGVMTKLIPRNTVVPTKKSQIFSTASDNQPTVTIKVYEGERPLTKDNHLLGTFDLTGIPPAPRGVPQIEVTFEIDVNGILRVTAEDKGTGNKNKITITNDQNRLTPEEIERMVNDAEKFAEEDKKLKERIDTRNELESYAYSLKNQIGDKEKLGGKLSSEDKETMEKAVEEKIEWLESHQDADIEDFKAKKKELEEIVQPIISKLYGSAGPPPTGEEDTAEKDEL 种属同源性预测 |
| 宿主/亚型 | Rabbit / IgG |
| 抗体类别 | Polyclonal |
| 产品类型 | Antibody |
| 全称 | heat shock 70kDa protein 5 (glucose-regulated protein, 78kDa) |
| 别名 | BIP, GRP78, HSPA5, 78 kDa glucose-regulated protein, Binding-immunoglobulin protein |
| 计算分子量 | 78 kDa |
| 观测分子量 | 70-78 kDa |
| GenBank蛋白编号 | BC020235 |
| 基因名称 | GRP78/BIP |
| Gene ID (NCBI) | 3309 |
| RRID | AB_2119855 |
| 偶联类型 | Unconjugated |
| 形式 | Liquid |
| 纯化方式 | Antigen affinity purification |
| UNIPROT ID | P11021 |
| 储存缓冲液 | PBS with 0.02% sodium azide and 50% glycerol, pH 7.3. |
| 储存条件 | Store at -20°C. Stable for one year after shipment. Aliquoting is unnecessary for -20oC storage. |
背景介绍
GRP78 (HSPA5), also referred to as 'immunoglobulin heavy chain-binding protein' (BiP), is a member of the heat-shock protein-70 (HSP70) family and is involved in the folding and assembly of proteins in the endoplasmic reticulum (ER). It is a constitutively expressed resident protein of the ER in all eukaryotic cells. Recently it has been reported that GRP78 is associated with apoptosis or inhibition of cancer cell growth. 11587-1-AP antibody recognizes one or two bands with MW 70-78 kDa for the signal peptide of GRP78 protein can be finally cleaved.
实验方案
| Product Specific Protocols | |
|---|---|
| WB protocol for GRP78/BIP antibody 11587-1-AP | Download protocol |
| IHC protocol for GRP78/BIP antibody 11587-1-AP | Download protocol |
| IF protocol for GRP78/BIP antibody 11587-1-AP | Download protocol |
| IP protocol for GRP78/BIP antibody 11587-1-AP | Download protocol |
| Standard Protocols | |
|---|---|
| Click here to view our Standard Protocols |
发表文章
| Species | Application | Title |
|---|---|---|
Science Translation from the 5' untranslated region shapes the integrated stress response. | ||
Cell Metab Receptor-Mediated ER Export of Lipoproteins Controls Lipid Homeostasis in Mice and Humans. | ||
Cell Metab TMEM41B acts as an ER scramblase required for lipoprotein biogenesis and lipid homeostasis. | ||
Crit Care Recombinant ACE2 protein protects against acute lung injury induced by SARS-CoV-2 spike RBD protein. | ||
Acta Pharm Sin B SMYD3-PARP16 axis accelerates unfolded protein response and mediates neointima formation. | ||
J Pineal Res Melatonin alleviates PM2.5 -induced glucose metabolism disorder and lipidome alteration by regulating endoplasmic reticulum stress |























