验证数据展示
经过测试的应用
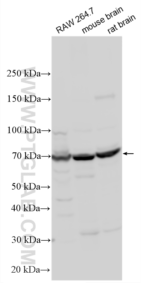
| Positive WB detected in | RAW 264.7 cells, mouse brain tissue, rat brain tissue |
推荐稀释比
| 应用 | 推荐稀释比 |
|---|---|
| Western Blot (WB) | WB : 1:500-1:2000 |
| It is recommended that this reagent should be titrated in each testing system to obtain optimal results. | |
| Sample-dependent, Check data in validation data gallery. | |
产品信息
33470-1-AP targets GRK4 in WB, ELISA applications and shows reactivity with human, mouse samples.
| 经测试应用 | WB, ELISA Application Description |
| 经测试反应性 | human, mouse |
| 免疫原 |
CatNo: Ag38007 Product name: Recombinant human GRK4 protein Source: e coli.-derived, PGEX-4T Tag: GST Domain: 381-510 aa of NM_182982.2 Sequence: QGHSPFKKYKEKVKWEEVDQRIKNDTEEYSEKFSEDAKSICRMLLTKNPSKRLGCRGEGAAGVKQHPVFKDINFRRLEANMLEPPFCPDPHAVYCKDVLDIEQFSVVKGIYLDTADEDFYARFATGCVSI 种属同源性预测 |
| 宿主/亚型 | Rabbit / IgG |
| 抗体类别 | Polyclonal |
| 产品类型 | Antibody |
| 全称 | G protein-coupled receptor kinase 4 |
| 别名 | EC:2.7.11.16, G protein-coupled receptor kinase 4, G protein-coupled receptor kinase GRK4, GPRK2L, GPRK4 |
| 计算分子量 | NM_182982.2 |
| 观测分子量 | 67 kDa |
| GenBank蛋白编号 | NM_182982.2 |
| 基因名称 | GRK4 |
| Gene ID (NCBI) | 2868 |
| 偶联类型 | Unconjugated |
| 形式 | Liquid |
| 纯化方式 | Antigen affinity Purification |
| UNIPROT ID | P32298 |
| 储存缓冲液 | PBS with 0.02% sodium azide and 50% glycerol, pH 7.3. |
| 储存条件 | Store at -20°C. Stable for one year after shipment. Aliquoting is unnecessary for -20oC storage. |
背景介绍
G protein-coupled receptor kinase 4 (GRK4) is a serine and threonine kinase that phosphorylates G protein-coupled receptors in response to agonist stimulation. It uncouples the dopamine receptor from its G protein. It should also be noted that kinase activity is not necessary for some GRK-mediated functions.
实验方案
| Product Specific Protocols | |
|---|---|
| WB protocol for GRK4 antibody 33470-1-AP | Download protocol |
| Standard Protocols | |
|---|---|
| Click here to view our Standard Protocols |
