验证数据展示
经过测试的应用
| Positive WB detected in | mouse brain tissue, mouse testis tissue, rat brain tissue |
| Positive IP detected in | mouse brain tissue |
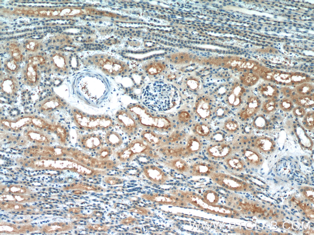
| Positive IHC detected in | human kidney tissue Note: suggested antigen retrieval with TE buffer pH 9.0; (*) Alternatively, antigen retrieval may be performed with citrate buffer pH 6.0 |
推荐稀释比
| 应用 | 推荐稀释比 |
|---|---|
| Western Blot (WB) | WB : 1:500-1:2000 |
| Immunoprecipitation (IP) | IP : 0.5-4.0 ug for 1.0-3.0 mg of total protein lysate |
| Immunohistochemistry (IHC) | IHC : 1:20-1:200 |
| It is recommended that this reagent should be titrated in each testing system to obtain optimal results. | |
| Sample-dependent, Check data in validation data gallery. | |
发表文章中的应用
| WB | See 3 publications below |
| IF | See 1 publications below |
产品信息
22398-1-AP targets GRIP1 in WB, IHC, IF, IP, ELISA applications and shows reactivity with human, mouse, rat samples.
| 经测试应用 | WB, IP, IHC, ELISA Application Description |
| 文献引用应用 | WB, IF |
| 经测试反应性 | human, mouse, rat |
| 文献引用反应性 | human, mouse |
| 免疫原 |
CatNo: Ag18071 Product name: Recombinant human GRIP1 protein Source: e coli.-derived, PET28a Tag: 6*His Domain: 702-964 aa of BC115393 Sequence: QTDAQSASSPKKFPISSHLSDLGDVEEDSSPAQKPGKLSDMYPSTVPSVDSAVDSWDGSAIDTSYGTEGTSFQASGYNFNTYDWRSPKQRGSLSPVTKPRSQTYPDVGLSYEDWDRSTASGFAGAADSAETEQEENFWSQALEDLETCGQSGILRELEEKADRRVSLRNMTLLATIMSGSTMSLNHEAPTPRSQLGRQASFQERSSSRPHYSQTTRSNTLPSDVGRKSVTLRKMKQEIKEIMSPTPVELHKVTLYKDSDMEDF 种属同源性预测 |
| 宿主/亚型 | Rabbit / IgG |
| 抗体类别 | Polyclonal |
| 产品类型 | Antibody |
| 全称 | glutamate receptor interacting protein 1 |
| 别名 | GRIP, GRIP1 |
| 计算分子量 | 1128 aa, 122 kDa |
| 观测分子量 | 130-135 kDa |
| GenBank蛋白编号 | BC115393 |
| 基因名称 | GRIP1 |
| Gene ID (NCBI) | 23426 |
| RRID | AB_2879099 |
| 偶联类型 | Unconjugated |
| 形式 | Liquid |
| 纯化方式 | Antigen affinity purification |
| UNIPROT ID | Q9Y3R0 |
| 储存缓冲液 | PBS with 0.02% sodium azide and 50% glycerol, pH 7.3. |
| 储存条件 | Store at -20°C. Stable for one year after shipment. Aliquoting is unnecessary for -20oC storage. |
实验方案
| Product Specific Protocols | |
|---|---|
| IHC protocol for GRIP1 antibody 22398-1-AP | Download protocol |
| IP protocol for GRIP1 antibody 22398-1-AP | Download protocol |
| WB protocol for GRIP1 antibody 22398-1-AP | Download protocol |
| Standard Protocols | |
|---|---|
| Click here to view our Standard Protocols |
发表文章
| Species | Application | Title |
|---|---|---|
Development Itpr1 regulates the formation of anterior eye segment tissues derived from neural crest cells. | ||
Curr Issues Mol Biol The Frmpd3 Protein Regulates Susceptibility to Epilepsy by Combining with GRIP and GluA2 | ||
Front Mol Neurosci Chronic reduction of synaptic proteins in the epileptogenic lesion of patients with hippocampal sclerosis. | ||
J Nutr Biochem Hippocampal proteomic changes in high-fat diet-induced obese mice associated with memory decline |




