验证数据展示
经过测试的应用
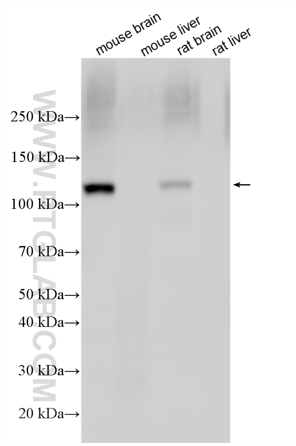
| Positive WB detected in | mouse brain tissue, rat brain tissue |
| Positive IP detected in | mouse brain tissue |
| Positive IHC detected in | mouse cerebellum tissue, mouse brain tissue Note: suggested antigen retrieval with TE buffer pH 9.0; (*) Alternatively, antigen retrieval may be performed with citrate buffer pH 6.0 |
| Positive IF-P detected in | mouse brain tissue |
| Positive IF-Fro detected in | mouse brain tissue |
推荐稀释比
| 应用 | 推荐稀释比 |
|---|---|
| Western Blot (WB) | WB : 1:1000-1:4000 |
| Immunoprecipitation (IP) | IP : 0.5-4.0 ug for 1.0-3.0 mg of total protein lysate |
| Immunohistochemistry (IHC) | IHC : 1:50-1:500 |
| Immunofluorescence (IF)-P | IF-P : 1:50-1:500 |
| Immunofluorescence (IF)-FRO | IF-FRO : 1:50-1:500 |
| It is recommended that this reagent should be titrated in each testing system to obtain optimal results. | |
| Sample-dependent, Check data in validation data gallery. | |
产品信息
27676-1-AP targets NMDAR1/GRIN1 in WB, IHC, IF-P, IF-Fro, IP, ELISA applications and shows reactivity with human, mouse, rat samples.
| 经测试应用 | WB, IHC, IF-P, IF-Fro, IP, ELISA Application Description |
| 文献引用应用 | WB, IHC, IF, IP |
| 经测试反应性 | human, mouse, rat |
| 文献引用反应性 | human, mouse, rat |
| 免疫原 |
CatNo: Ag26364 Product name: Recombinant human GRIN1 protein Source: e coli.-derived, PGEX-4T Tag: GST Domain: 167-280 aa of NM_000832 Sequence: MVSDDHEGRAAQKRLETLLEERESKAEKVLQFDPGTKNVTALLMEAKELEARVIILSASEDDAATVYRAAAMLNMTGSGYVWLVGEREISGNALRYAPDGILGLQLINGKNESAH 种属同源性预测 |
| 宿主/亚型 | Rabbit / IgG |
| 抗体类别 | Polyclonal |
| 产品类型 | Antibody |
| 全称 | glutamate receptor, ionotropic, N-methyl D-aspartate 1 |
| 别名 | GRIN1, NMDAR1, GluN1, Glutamate receptor ionotropic, NMDA 1, NMDAR 1 |
| 计算分子量 | 105 kDa |
| 观测分子量 | 120 kDa |
| GenBank蛋白编号 | NM_000832 |
| 基因名称 | NMDAR1 |
| Gene ID (NCBI) | 2902 |
| RRID | AB_2880944 |
| 偶联类型 | Unconjugated |
| 形式 | Liquid |
| 纯化方式 | Antigen affinity purification |
| UNIPROT ID | Q05586 |
| 储存缓冲液 | PBS with 0.02% sodium azide and 50% glycerol, pH 7.3. |
| 储存条件 | Store at -20°C. Stable for one year after shipment. Aliquoting is unnecessary for -20oC storage. |
实验方案
| Product Specific Protocols | |
|---|---|
| IF protocol for NMDAR1/GRIN1 antibody 27676-1-AP | Download protocol |
| IHC protocol for NMDAR1/GRIN1 antibody 27676-1-AP | Download protocol |
| IP protocol for NMDAR1/GRIN1 antibody 27676-1-AP | Download protocol |
| WB protocol for NMDAR1/GRIN1 antibody 27676-1-AP | Download protocol |
| Standard Protocols | |
|---|---|
| Click here to view our Standard Protocols |
发表文章
| Species | Application | Title |
|---|---|---|
Sci Adv RNF220 is an E3 ubiquitin ligase for AMPA receptors to regulate synaptic transmission | ||
Aging (Albany NY) EGB761 ameliorates chronic cerebral hypoperfusion-induced cognitive dysfunction and synaptic plasticity impairment. | ||
ACS Chem Neurosci Antidepressant-like Effect of Merazin Hydrate Depends on NO/ERK by Suppressing Its Downstream NF-κB or Nonactivating CREB/BDNF in Mouse Hippocampus. | ||
J Neurosci Cortex-specific Tmem169 Deficiency Induces Defects in Cortical Neuron Development and Autism-like Behaviors in Mice | ||
Exp Neurol DPP-4 inhibition by linagliptin ameliorates age-related mild cognitive impairment by regulating microglia polarization in mice | ||
Heliyon Cherry leaf decoction inhibits NMDAR expression and thereby ameliorates CUMS- induced depression-like behaviors through downregulation of α2δ-1 |









