验证数据展示
经过测试的应用
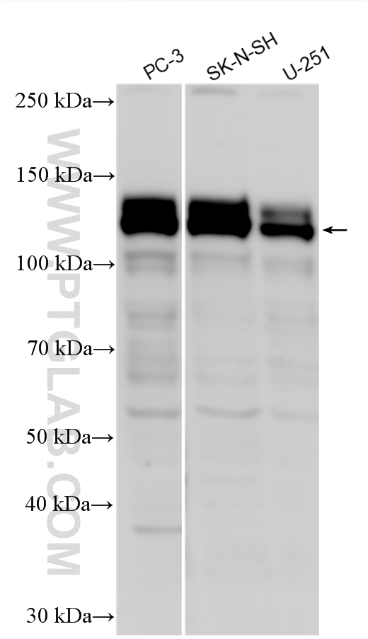
| Positive WB detected in | PC-3 cells, mouse brain tissue, SH-SY5Y cells, SK-N-SH cells |
| Positive IP detected in | mouse brain tissue |
推荐稀释比
| 应用 | 推荐稀释比 |
|---|---|
| Western Blot (WB) | WB : 1:1000-1:6000 |
| Immunoprecipitation (IP) | IP : 0.5-4.0 ug for 1.0-3.0 mg of total protein lysate |
| It is recommended that this reagent should be titrated in each testing system to obtain optimal results. | |
| Sample-dependent, Check data in validation data gallery. | |
产品信息
13771-1-AP targets GPRIN1 in WB, IHC, IF, IP, ELISA applications and shows reactivity with human, mouse samples.
| 经测试应用 | WB, IP, ELISA Application Description |
| 文献引用应用 | WB, IHC, IF |
| 经测试反应性 | human, mouse |
| 文献引用反应性 | human, mouse |
| 免疫原 |
CatNo: Ag4754 Product name: Recombinant human GRIN1 protein Source: e coli.-derived, PGEX-4T Tag: GST Domain: 652-1008 aa of BC052950 Sequence: GEAGAVCLKKETPQASEKVDPGSCRKAEPLASGKGEPVSLGKADSAPSRKTESPSLGKVVPLSLEKTKPSSSSRQLDRKALGSARSPEGARGSEGRVEPKAEPVSSTEASSLGQKDLEAAGAERSPCPEAAAPPPGPRTRDNFTKAPSWEASAPPPPREDAGTQAGAQACVSVAVSPMSPQDGAGGSAFSFQAAPRAPSPPSRRDAGLQVSLGAAETRSVATGPMTPQAAAPPAFPEVRVRPGSALAAAVAPPEPAEPVRDVSWDEKGMTWEVYGAAMEVEVLGMAIQKHLERQIEEHGRQGAPAPPPAARAGPGRSGSVRTAPPDGAAKRPPGLFRALLQSVRRPRCCSRAGPTAE 种属同源性预测 |
| 宿主/亚型 | Rabbit / IgG |
| 抗体类别 | Polyclonal |
| 产品类型 | Antibody |
| 全称 | G protein regulated inducer of neurite outgrowth 1 |
| 别名 | GRIN1, KIAA1893 |
| 计算分子量 | 1008 aa, 102 kDa |
| 观测分子量 | 100-110 kDa |
| GenBank蛋白编号 | BC052950 |
| 基因名称 | GPRIN1 |
| Gene ID (NCBI) | 114787 |
| RRID | AB_2114013 |
| 偶联类型 | Unconjugated |
| 形式 | Liquid |
| 纯化方式 | Antigen affinity purification |
| UNIPROT ID | Q7Z2K8 |
| 储存缓冲液 | PBS with 0.02% sodium azide and 50% glycerol, pH 7.3. |
| 储存条件 | Store at -20°C. Stable for one year after shipment. Aliquoting is unnecessary for -20oC storage. |
背景介绍
GPRIN1 (G protein-regulated inducer of neurite outgrowth 1), also named GRIN1, may be involved in neurite outgrowth. Western blotting analysis has confirmed its expression in mouse neuroblastoma and rat pheochromocytoma cells. And both GPRIN1 and GNAO1 are membrane-bound proteins that are enriched in the growth cones of neurites (PMID:10480904). It has 2 isoforms produced by alternative splicing. This antibody detects GRIN1 at bands around 110 kDa.
实验方案
| Product Specific Protocols | |
|---|---|
| IP protocol for GPRIN1 antibody 13771-1-AP | Download protocol |
| WB protocol for GPRIN1 antibody 13771-1-AP | Download protocol |
| Standard Protocols | |
|---|---|
| Click here to view our Standard Protocols |
发表文章
| Species | Application | Title |
|---|---|---|
Sci Signal Dynamic interactions of the 5-HT6 receptor with protein partners control dendritic tree morphogenesis.
| ||
J Biol Chem DHHC5 interacts with PDZ domain 3 of post-synaptic density-95 (PSD-95) protein and plays a role in learning and memory. | ||
Exp Ther Med Chronic ethanol exposure induces SK-N-SH cell apoptosis by increasing N-methyl-D-aspartic acid receptor expression and intracellular calcium. | ||
bioRxiv Uncovering the electrical synapse proteome in retinal neurons via in vivo proximity labeling | ||
Neurochem Res Decorin Attenuates Epileptogenesis and Modulates Hippocampal Synaptic Plasticity via the mTOR Signalling Pathway. |


