验证数据展示
经过测试的应用
| Positive WB detected in | mouse brain tissue, rat brain tissue |
| Positive IP detected in | mouse brain tissue |
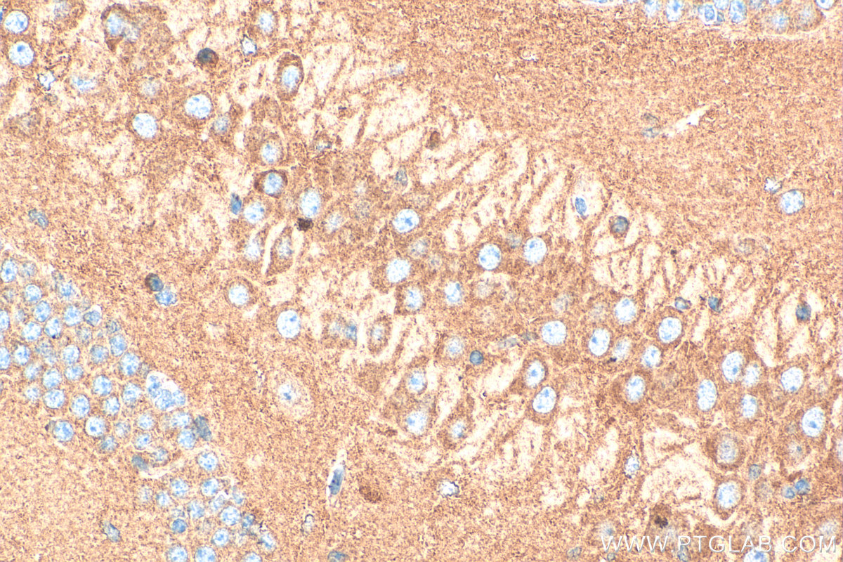
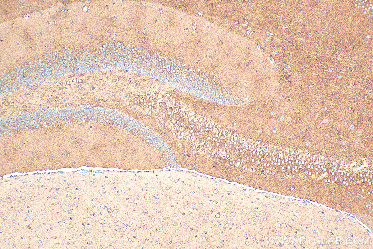
| Positive IHC detected in | mouse brain tissue Note: suggested antigen retrieval with TE buffer pH 9.0; (*) Alternatively, antigen retrieval may be performed with citrate buffer pH 6.0 |
| Positive IF-P detected in | rat brain tissue, mouse brain tissue |
推荐稀释比
| 应用 | 推荐稀释比 |
|---|---|
| Western Blot (WB) | WB : 1:1000-1:6000 |
| Immunoprecipitation (IP) | IP : 0.5-4.0 ug for 1.0-3.0 mg of total protein lysate |
| Immunohistochemistry (IHC) | IHC : 1:50-1:500 |
| Immunofluorescence (IF)-P | IF-P : 1:50-1:500 |
| It is recommended that this reagent should be titrated in each testing system to obtain optimal results. | |
| Sample-dependent, Check data in validation data gallery. | |
发表文章中的应用
| WB | See 5 publications below |
| IHC | See 1 publications below |
产品信息
29588-1-AP targets Glutamate receptor 3/GluA3 in WB, IHC, IF-P, IP, ELISA applications and shows reactivity with human, mouse, rat samples.
| 经测试应用 | WB, IHC, IF-P, IP, ELISA Application Description |
| 文献引用应用 | WB, IHC |
| 经测试反应性 | human, mouse, rat |
| 文献引用反应性 | mouse, rat |
| 免疫原 |
CatNo: Ag30898 Product name: Recombinant human GRIA3 protein Source: e coli.-derived, PGEX-4T Tag: GST Domain: 288-425 aa of NM_007325 Sequence: VRLDEREFPEAKNAPLKYTSALTHDAILVIAEAFRYLRRQRVDVSRRGSAGDCLANPAVPWSQGIDIERALKMVQVQGMTGNIQFDTYGRRTNYTIDVYEMKVSGSRKAGYWNEYERFVPFSDQQISNDSASSENRTI 种属同源性预测 |
| 宿主/亚型 | Rabbit / IgG |
| 抗体类别 | Polyclonal |
| 产品类型 | Antibody |
| 全称 | glutamate receptor, ionotrophic, AMPA 3 |
| 别名 | GRIA3, GluA3, GluR 3, GLUR C, GLUR K3 |
| 计算分子量 | 101 kDa |
| 观测分子量 | 101 kDa |
| GenBank蛋白编号 | NM_007325 |
| 基因名称 | GRIA3 |
| Gene ID (NCBI) | 2892 |
| RRID | AB_3086141 |
| 偶联类型 | Unconjugated |
| 形式 | Liquid |
| 纯化方式 | Antigen affinity purification |
| UNIPROT ID | P42263 |
| 储存缓冲液 | PBS with 0.02% sodium azide and 50% glycerol, pH 7.3. |
| 储存条件 | Store at -20°C. Stable for one year after shipment. Aliquoting is unnecessary for -20oC storage. |
背景介绍
Glutamate receptors are the predominant excitatory neurotransmitter receptors in the mammalian brain and are activated in a variety of normal neurophysiologic processes. GRIA3 (Glutamate ionotropic receptor AMPA type subunit 3), also known as Glutamate receptor R3 or A3 (GluR3 or GluA3), is associated with X-linked intellectual disability (ID), dysmorphic features, and non-syndromic epilepsy(PMID: 32977175). GRIA3 also plays a role as a mediator of tumor progression in pancreatic cancer downstream CUX1(PMID: 20689760).
实验方案
| Product Specific Protocols | |
|---|---|
| IF protocol for Glutamate receptor 3/GluA3 antibody 29588-1-AP | Download protocol |
| IHC protocol for Glutamate receptor 3/GluA3 antibody 29588-1-AP | Download protocol |
| IP protocol for Glutamate receptor 3/GluA3 antibody 29588-1-AP | Download protocol |
| WB protocol for Glutamate receptor 3/GluA3 antibody 29588-1-AP | Download protocol |
| Standard Protocols | |
|---|---|
| Click here to view our Standard Protocols |
发表文章
| Species | Application | Title |
|---|---|---|
Cell Discov Postsynaptic lncRNA Sera/Pkm2 pathway orchestrates the transition from social competition to rank by remodeling the neural ensemble in mPFC | ||
Brain Res Low-dose diazepam improves cognitive function in APP/PS1 mouse models: Involvement of AMPA receptors | ||
J Neurosci Network Dysfunction Precedes Neurodegeneration in a dox-Regulatable TDP-43 Mouse Model of ALS-FTD. | ||
Front Cardiovasc Med The endogenous glutamatergic transmitter system promotes collagen synthesis in cardiac fibroblasts under hypoxia. | ||
Mol Psychiatry The dynamic impairment of synaptic transmission in the PCx-IL engram circuit contributes to early olfactory memory decline in Alzheimer's disease. | ||
iScience The decreased astrocyte-microglia interaction reflects the early characteristics of Alzheimer's disease |







