验证数据展示
经过测试的应用
| Positive WB detected in | Jurkat cells, HeLa cells, mouse lung tissue, Raji cells |
| Positive IP detected in | mouse lung tissue |
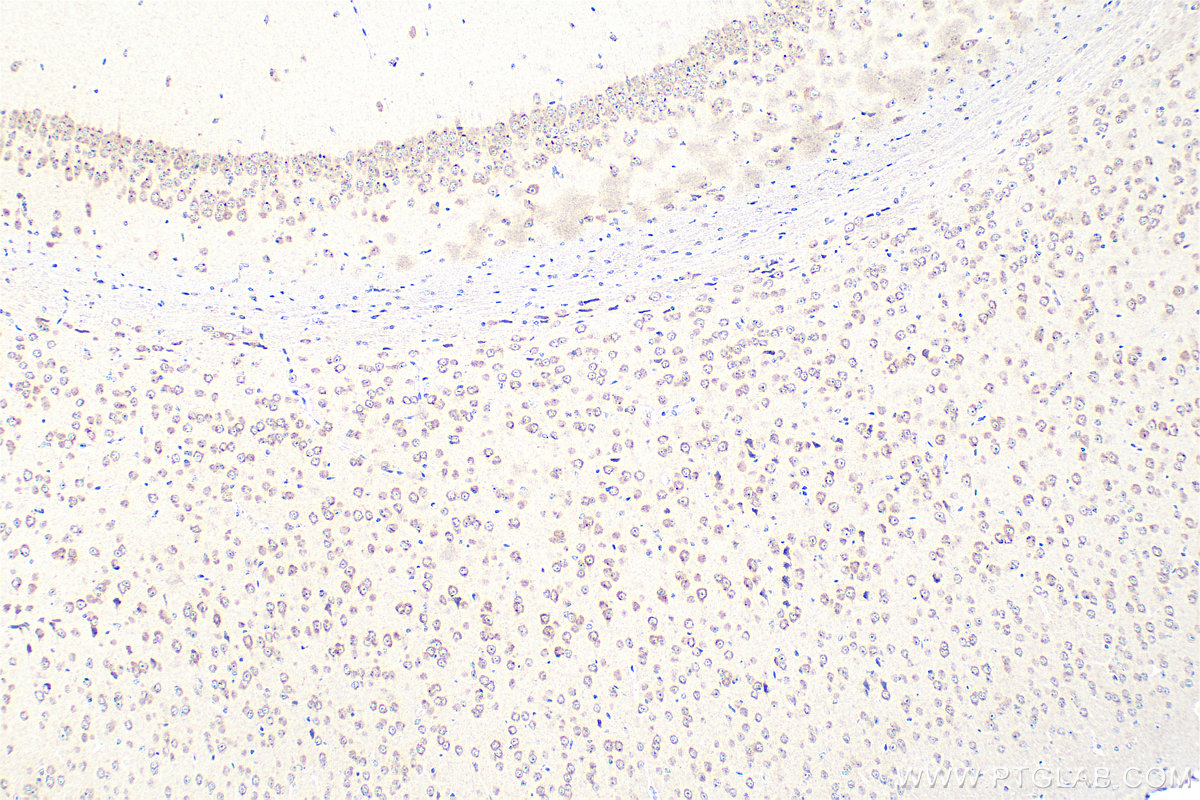
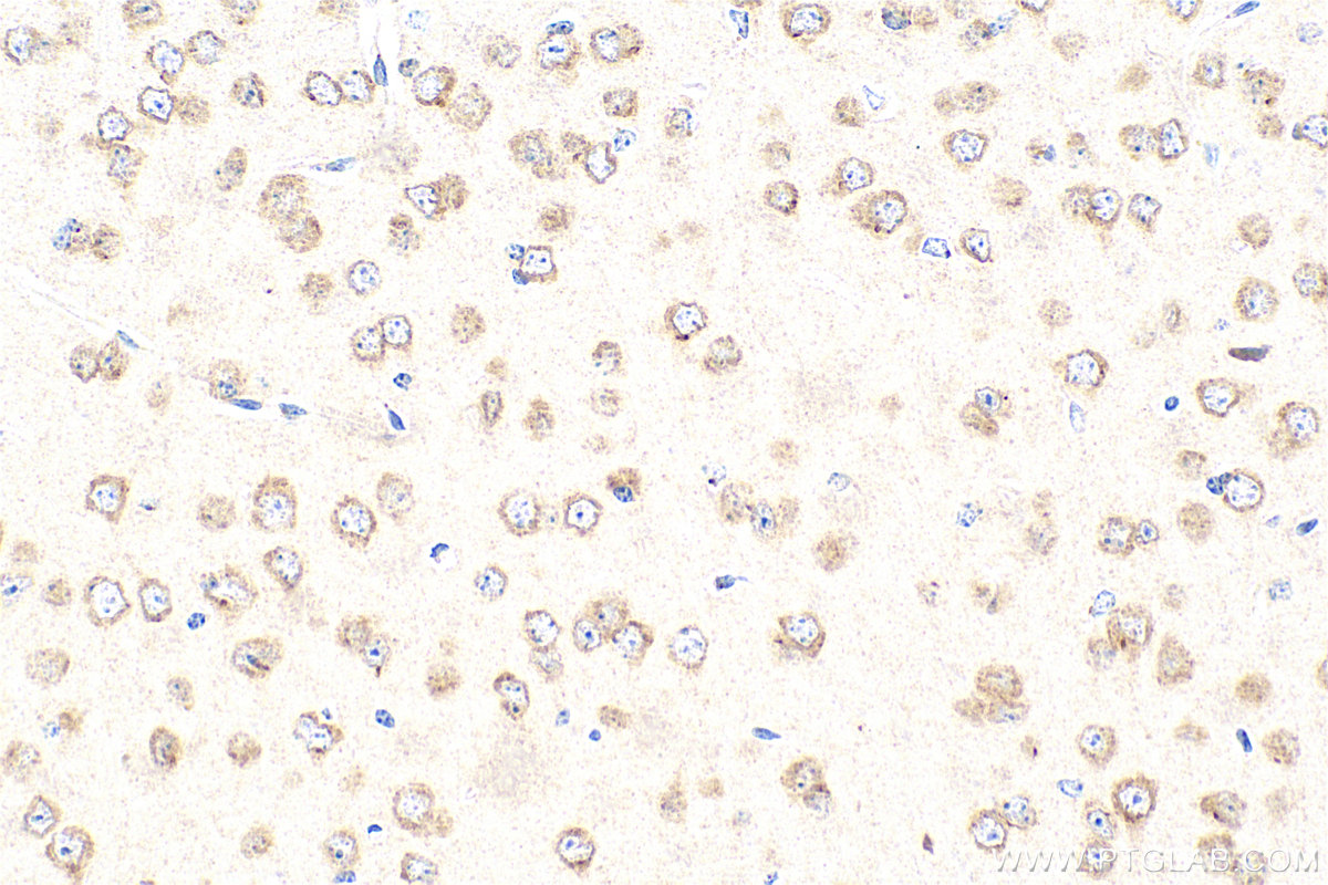
| Positive IHC detected in | mouse brain tissue Note: suggested antigen retrieval with TE buffer pH 9.0; (*) Alternatively, antigen retrieval may be performed with citrate buffer pH 6.0 |
推荐稀释比
| 应用 | 推荐稀释比 |
|---|---|
| Western Blot (WB) | WB : 1:500-1:1000 |
| Immunoprecipitation (IP) | IP : 0.5-4.0 ug for 1.0-3.0 mg of total protein lysate |
| Immunohistochemistry (IHC) | IHC : 1:50-1:500 |
| It is recommended that this reagent should be titrated in each testing system to obtain optimal results. | |
| Sample-dependent, Check data in validation data gallery. | |
发表文章中的应用
| WB | See 5 publications below |
产品信息
12377-1-AP targets GPR183/EBI2 in WB, IHC, IP, ELISA applications and shows reactivity with human, mouse samples.
| 经测试应用 | WB, IHC, IP, ELISA Application Description |
| 文献引用应用 | WB |
| 经测试反应性 | human, mouse |
| 文献引用反应性 | human, mouse |
| 免疫原 |
CatNo: Ag3035 Product name: Recombinant human GPR183 protein Source: e coli.-derived, PGEX-4T Tag: GST Domain: 1-361 aa of BC020752 Sequence: MDIQMANNFTPPSATPQGNDCDLYAHHSTARIVMPLHYSLVFIIGLVGNLLALVVIVQNRKKINSTTLYSTNLVISDILFTTALPTRIAYYAMGFDWRIGDALCRITALVFYINTYAGVNFMTCLSIDRFIAVVHPLRYNKIKRIEHAKGVCIFVWILVFAQTLPLLINPMSKQEAERITCMEYPNFEETKSLPWILLGACFIGYVLPLIIILICYSQICCKLFRTAKQNPLTEKSGVNKKALNTIILIIVVFVLCFTPYHVAIIQHMIKKLRFSNFLECSQRHSFQISLHFTVCLMNFNCCMDPFIYFFACKGYKRKVMRMLKRQVSVSISSAVKSAPEENSREMTETQMMIHSKSSNGK 种属同源性预测 |
| 宿主/亚型 | Rabbit / IgG |
| 抗体类别 | Polyclonal |
| 产品类型 | Antibody |
| 全称 | G protein-coupled receptor 183 |
| 别名 | EBI2, GPR183, EBV-induced G-protein coupled receptor 2, Epstein-Barr virus-induced G-protein coupled receptor 2, G protein coupled receptor 183 |
| 计算分子量 | 361 aa, 41 kDa |
| 观测分子量 | 55-60 kDa |
| GenBank蛋白编号 | BC020752 |
| 基因名称 | EBI2 |
| Gene ID (NCBI) | 1880 |
| RRID | AB_2114261 |
| 偶联类型 | Unconjugated |
| 形式 | Liquid |
| 纯化方式 | Antigen affinity purification |
| UNIPROT ID | P32249 |
| 储存缓冲液 | PBS with 0.02% sodium azide and 50% glycerol, pH 7.3. |
| 储存条件 | Store at -20°C. Stable for one year after shipment. Aliquoting is unnecessary for -20oC storage. |
背景介绍
G-protein-coupled receptor 183, also known as Epstein-Barr virusinduced gene 2 (EBI2), was initially identified in B cells and is the most upregulated gene after infection with Epstein-Barr virus (PMID:37353188). GPR183 is known to play a key role in the development of antibody responses in secondary lymphoid organs (PMID:23473835).
实验方案
| Product Specific Protocols | |
|---|---|
| IP protocol for GPR183/EBI2 antibody 12377-1-AP | Download protocol |
| WB protocol for GPR183/EBI2 antibody 12377-1-AP | Download protocol |
| Standard Protocols | |
|---|---|
| Click here to view our Standard Protocols |
发表文章
| Species | Application | Title |
|---|---|---|
J Allergy Clin Immunol Chronic rhinosinusitis with nasal polyps is characterized by B-cell inflammation and EBV-induced protein 2 expression. | ||
J Pharmacol Exp Ther 7α,25-Dihydroxycholesterol Suppresses Hepatocellular Steatosis through GPR183/EBI2 in Mouse and Human Hepatocytes. | ||
Neurotox Res Phoenixin-20 Ameliorates Lipopolysaccharide-Induced Activation of Microglial NLRP3 Inflammasome. | ||
Eur J Pharmacol Activation of G-protein-coupled receptor 183 initiates inflammatory pain via macrophage CCL22 secretion | ||
Br J Nutr RNA-seq screening and gene function analysis uncover GPR183 as a key mediator for methionine to stimulate milk synthesis in mouse mammary epithelial cells |






