验证数据展示
经过测试的应用
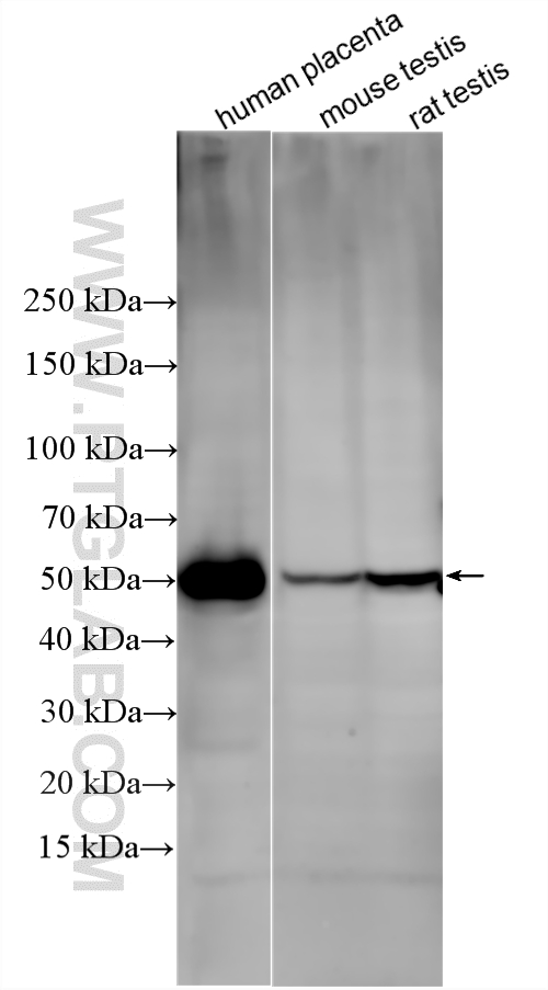
| Positive WB detected in | human placenta tissue, mouse testis tissue, rat testis tissue |
| Positive IHC detected in | mouse testis tissue Note: suggested antigen retrieval with TE buffer pH 9.0; (*) Alternatively, antigen retrieval may be performed with citrate buffer pH 6.0 |
推荐稀释比
| 应用 | 推荐稀释比 |
|---|---|
| Western Blot (WB) | WB : 1:1000-1:4000 |
| Immunohistochemistry (IHC) | IHC : 1:50-1:500 |
| It is recommended that this reagent should be titrated in each testing system to obtain optimal results. | |
| Sample-dependent, Check data in validation data gallery. | |
产品信息
20791-1-AP targets GPR172B in WB, IHC, ELISA applications and shows reactivity with human, mouse, rat samples.
| 经测试应用 | WB, IHC, ELISA Application Description |
| 经测试反应性 | human, mouse, rat |
| 免疫原 |
CatNo: Ag14525 Product name: Recombinant human GPR172B protein Source: e coli.-derived, PET28a Tag: 6*His Domain: 201-290 aa of BC060810 Sequence: TALLVTSAAAFRGLLLLLPSLPSVTTGGSGPELQLGSPGAEEEEKEEEEALPLQEPPSQAAGTIPGPDPEVHQLFSAHGAFLLGLMAFTS 种属同源性预测 |
| 宿主/亚型 | Rabbit / IgG |
| 抗体类别 | Polyclonal |
| 产品类型 | Antibody |
| 全称 | G protein-coupled receptor 172B |
| 别名 | GPCR42, hRFT1, PAR2, PERV A receptor 2, Protein GPR172B |
| 计算分子量 | 448 aa, 46 kDa |
| 观测分子量 | 50 kDa |
| GenBank蛋白编号 | BC060810 |
| 基因名称 | GPR172B |
| Gene ID (NCBI) | 55065 |
| 偶联类型 | Unconjugated |
| 形式 | Liquid |
| 纯化方式 | Antigen affinity purification |
| UNIPROT ID | Q9NWF4 |
| 储存缓冲液 | PBS with 0.02% sodium azide and 50% glycerol, pH 7.3. |
| 储存条件 | Store at -20°C. Stable for one year after shipment. Aliquoting is unnecessary for -20oC storage. |
背景介绍
GPR172B, also known as solute carrier family 52 member 1 (SLC52A1) or riboflavin transporter 1 (RFT1), is a G protein-coupled receptor (GPCR) that plays a significant role in the transport of riboflavin, a vital component for the production of flavin adenine dinucleotide (FAD) and flavin mononucleotide (FMN). GPR172B plays a role in cellular aging. Knockdown of GPR172B promotes senescence induced by DNA damage in both tumor and normal cells. The anti-senescence effect of GPR172B is dependent on its riboflavin transport activity, which leads to the activation of mitochondrial membrane potential (MMP) mediated by mitochondrial electron transport chain complex II, ultimately inhibiting the AMPK-p53 pathway, a central mediator of senescence-associated with mitochondrial dysfunction.
实验方案
| Product Specific Protocols | |
|---|---|
| IHC protocol for GPR172B antibody 20791-1-AP | Download protocol |
| WB protocol for GPR172B antibody 20791-1-AP | Download protocol |
| Standard Protocols | |
|---|---|
| Click here to view our Standard Protocols |


