验证数据展示
经过测试的应用
| Positive WB detected in | HeLa cells, K-562 cells |
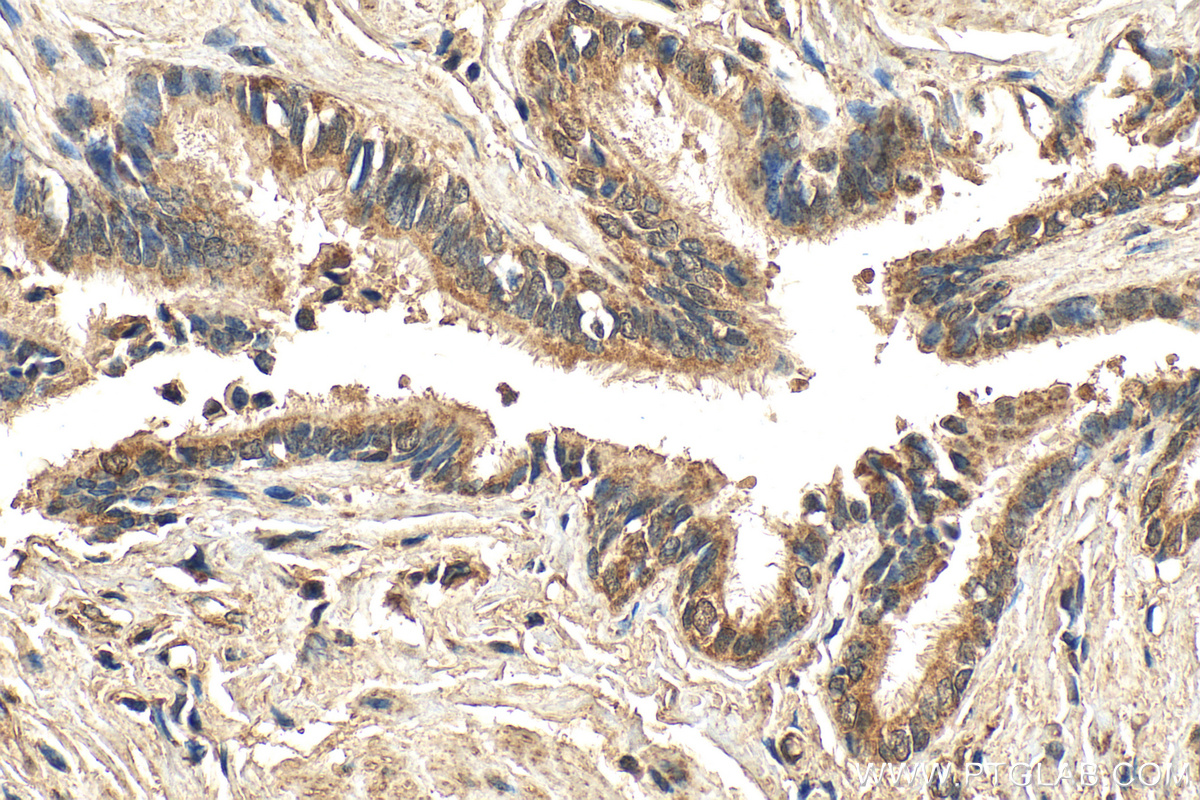
| Positive IHC detected in | mouse brain tissue, human lung tissue Note: suggested antigen retrieval with TE buffer pH 9.0; (*) Alternatively, antigen retrieval may be performed with citrate buffer pH 6.0 |
推荐稀释比
| 应用 | 推荐稀释比 |
|---|---|
| Western Blot (WB) | WB : 1:500-1:1000 |
| Immunohistochemistry (IHC) | IHC : 1:50-1:500 |
| It is recommended that this reagent should be titrated in each testing system to obtain optimal results. | |
| Sample-dependent, Check data in validation data gallery. | |
产品信息
30104-1-AP targets GPR151 in WB, IHC, ELISA applications and shows reactivity with human samples.
| 经测试应用 | WB, IHC, ELISA Application Description |
| 经测试反应性 | human |
| 免疫原 |
CatNo: Ag32442 Product name: Recombinant human GPR151 protein Source: e coli.-derived, PGEX-4T Tag: GST Domain: 308-419 aa of NM_194251 Sequence: VMSEEFREGLKGVWKWMITKKPPTVSESQETPAGNSEGLPDKVPSPESPASIPEKEKPSSPSSGKGKTEKAEIPILPDVEQFWHERDTVPSVQDNDPIPWEHEDQETGEGVK 种属同源性预测 |
| 宿主/亚型 | Rabbit / IgG |
| 抗体类别 | Polyclonal |
| 产品类型 | Antibody |
| 全称 | G protein-coupled receptor 151 |
| 别名 | G protein coupled receptor 151, GALR4, GALRL, GPCR, GPCR 2037 |
| 计算分子量 | 47kd |
| 观测分子量 | 46 kDa |
| GenBank蛋白编号 | NM_194251 |
| 基因名称 | GPR151 |
| Gene ID (NCBI) | 134391 |
| RRID | AB_3086229 |
| 偶联类型 | Unconjugated |
| 形式 | Liquid |
| 纯化方式 | Antigen affinity purification |
| UNIPROT ID | Q8TDV0 |
| 储存缓冲液 | PBS with 0.02% sodium azide and 50% glycerol, pH 7.3. |
| 储存条件 | Store at -20°C. Stable for one year after shipment. Aliquoting is unnecessary for -20oC storage. |
背景介绍
G protein-coupled receptors (GPCRs) are a superfamily of cell-surface receptors which are important for intracellular signal transduction. GPR151 (G protein-coupled receptor 151) is highly enriched in the the medial and lateral habenula and is expressed at presynaptic membranes and synaptic vesicles (PMID: 32098843). GPR151 has been reported to play an important role in modulating neuropathic pain and controling nicotine addiction vulnerability (PMID: 32098843,34244727,30373770).
实验方案
| Product Specific Protocols | |
|---|---|
| IHC protocol for GPR151 antibody 30104-1-AP | Download protocol |
| WB protocol for GPR151 antibody 30104-1-AP | Download protocol |
| Standard Protocols | |
|---|---|
| Click here to view our Standard Protocols |


