验证数据展示
经过测试的应用
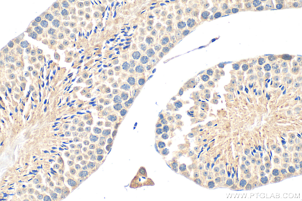
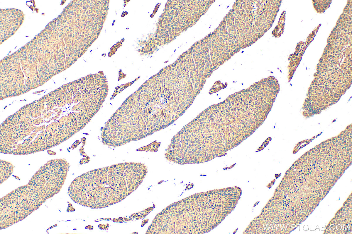
| Positive IHC detected in | mouse testis tissue Note: suggested antigen retrieval with TE buffer pH 9.0; (*) Alternatively, antigen retrieval may be performed with citrate buffer pH 6.0 |
推荐稀释比
| 应用 | 推荐稀释比 |
|---|---|
| Immunohistochemistry (IHC) | IHC : 1:50-1:500 |
| It is recommended that this reagent should be titrated in each testing system to obtain optimal results. | |
| Sample-dependent, Check data in validation data gallery. | |
产品信息
25996-1-AP targets GPR148 in IHC, ELISA applications and shows reactivity with human, mouse samples.
| 经测试应用 | IHC, ELISA Application Description |
| 经测试反应性 | human, mouse |
| 免疫原 |
CatNo: Ag22948 Product name: Recombinant human GPR148 protein Source: e coli.-derived, PGEX-4T Tag: GST Domain: 1-95 aa of BC105013 Sequence: MGDELAPCPVGTTAWPALIQLISKTPCMPQAASNTSLGLGDLRVPSSMLYWLFLPSSLLAAATLAVSPLLLVTILRNQRLRQEPHYLLPANILLS 种属同源性预测 |
| 宿主/亚型 | Rabbit / IgG |
| 抗体类别 | Polyclonal |
| 产品类型 | Antibody |
| 全称 | G protein-coupled receptor 148 |
| 别名 | BTR, G protein coupled receptor 148, PGR6 |
| 计算分子量 | 347 aa, 38 kDa |
| GenBank蛋白编号 | BC105013 |
| 基因名称 | GPR148 |
| Gene ID (NCBI) | 344561 |
| 偶联类型 | Unconjugated |
| 形式 | Liquid |
| 纯化方式 | Antigen affinity purification |
| UNIPROT ID | Q8TDV2 |
| 储存缓冲液 | PBS with 0.02% sodium azide and 50% glycerol, pH 7.3. |
| 储存条件 | Store at -20°C. Stable for one year after shipment. Aliquoting is unnecessary for -20oC storage. |
背景介绍
GPR148, also known as BTR or PGR6, belongs to a G protein-coupled receptor (GPCR) family. It is primarily expressed in the brain and testis, suggesting a role in specific sensory functions and possibly in reproductive processes. As a GPCR, GPR148 is likely to be involved in signal transduction pathways triggered by the binding of specific ligands, such as odorants or other small molecules.
实验方案
| Product Specific Protocols | |
|---|---|
| IHC protocol for GPR148 antibody 25996-1-AP | Download protocol |
| Standard Protocols | |
|---|---|
| Click here to view our Standard Protocols |


