验证数据展示
经过测试的应用
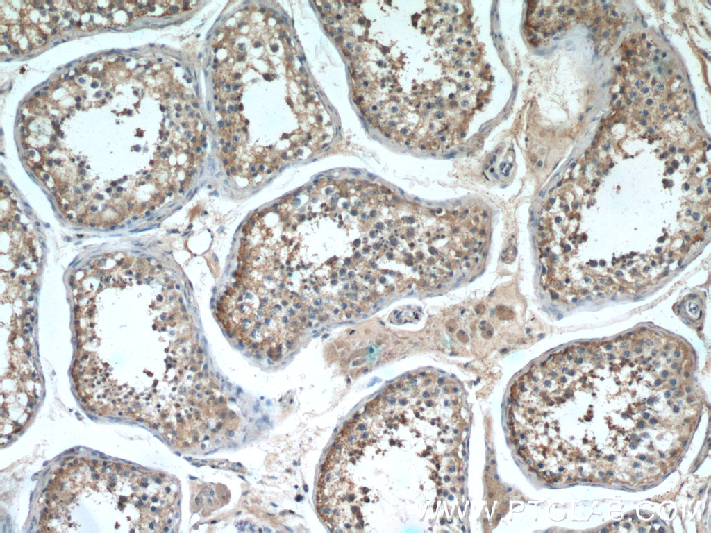
| Positive IHC detected in | human testis tissue Note: suggested antigen retrieval with TE buffer pH 9.0; (*) Alternatively, antigen retrieval may be performed with citrate buffer pH 6.0 |
推荐稀释比
| 应用 | 推荐稀释比 |
|---|---|
| Immunohistochemistry (IHC) | IHC : 1:20-1:200 |
| It is recommended that this reagent should be titrated in each testing system to obtain optimal results. | |
| Sample-dependent, Check data in validation data gallery. | |
产品信息
20075-1-AP targets GPR123-Specific in IHC, ELISA applications and shows reactivity with human samples.
| 经测试应用 | IHC, ELISA Application Description |
| 经测试反应性 | human |
| 免疫原 |
fusion protein 种属同源性预测 |
| 宿主/亚型 | Rabbit / IgG |
| 抗体类别 | Polyclonal |
| 产品类型 | Antibody |
| 全称 | G protein-coupled receptor 123 |
| 别名 | G protein coupled receptor 123, GPR123, KIAA1828 |
| 计算分子量 | 61 kDa |
| GenBank蛋白编号 | NM_001083909 |
| 基因名称 | GPR123 |
| Gene ID (NCBI) | 84435 |
| RRID | AB_2878639 |
| 偶联类型 | Unconjugated |
| 形式 | Liquid |
| 纯化方式 | Antigen affinity purification |
| UNIPROT ID | Q86SQ6 |
| 储存缓冲液 | PBS with 0.02% sodium azide and 50% glycerol, pH 7.3. |
| 储存条件 | Store at -20°C. Stable for one year after shipment. Aliquoting is unnecessary for -20oC storage. |
背景介绍
GPR123, also named as KIAA1828, FLJ25875 and FLJ37356, belongs to the G-protein coupled receptor 2 family and LN-TM7 subfamily. It is an orphan receptor. The antibody is specific to GPR123.
实验方案
| Product Specific Protocols | |
|---|---|
| IHC protocol for GPR123-Specific antibody 20075-1-AP | Download protocol |
| Standard Protocols | |
|---|---|
| Click here to view our Standard Protocols |

