验证数据展示
经过测试的应用
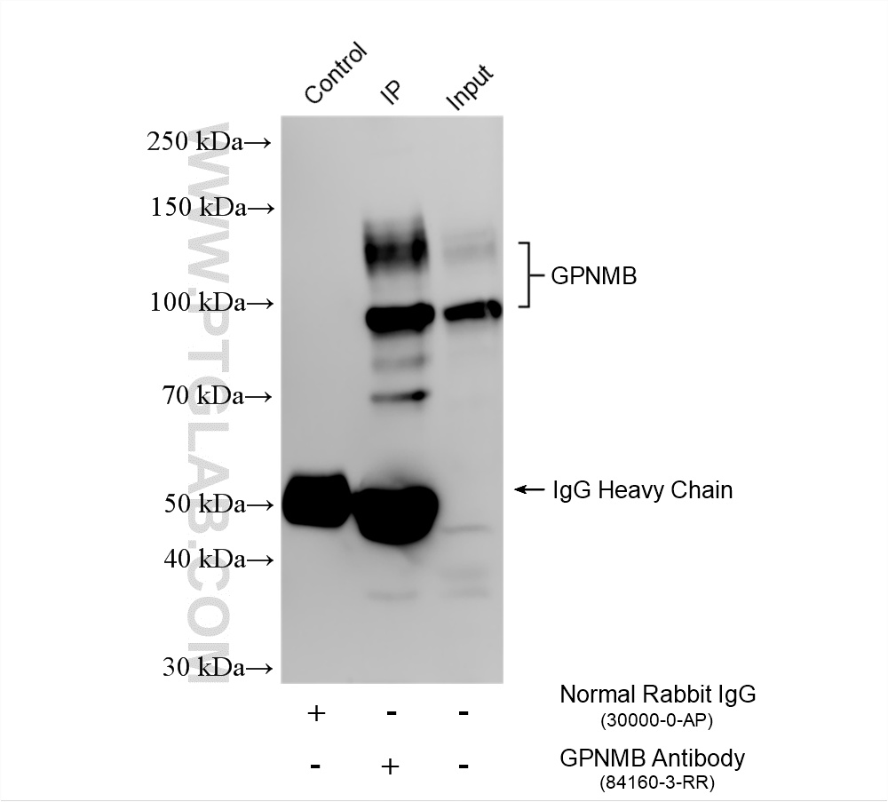
| Positive WB detected in | A375 cells, THP-1 cells |
| Positive IP detected in | THP-1 cells |
| Positive IF/ICC detected in | HeLa cells |
推荐稀释比
| 应用 | 推荐稀释比 |
|---|---|
| Western Blot (WB) | WB : 1:2000-1:10000 |
| Immunoprecipitation (IP) | IP : 0.5-4.0 ug for 1.0-3.0 mg of total protein lysate |
| Immunofluorescence (IF)/ICC | IF/ICC : 1:50-1:500 |
| It is recommended that this reagent should be titrated in each testing system to obtain optimal results. | |
| Sample-dependent, Check data in validation data gallery. | |
产品信息
84160-3-RR targets GPNMB in WB, IF/ICC, IP, ELISA applications and shows reactivity with human samples.
| 经测试应用 | WB, IF/ICC, IP, ELISA Application Description |
| 经测试反应性 | human |
| 免疫原 |
CatNo: Ag14124 Product name: Recombinant human GPNMB protein Source: e coli.-derived, PGEX-4T Tag: GST Domain: 22-181 aa of BC011595 Sequence: AKRFHDVLGNERPSAYMREHNQLNGWSSDENDWNEKLYPVWKRGDMRWKNSWKGGRVQAVLTSDSPALVGSNITFAVNLIFPRCQKEDANGNIVYEKNCRNEAGLSADPYVYNWTAWSEDSDGENGTGQSHHNVFPDGKPFPHHPGWRRWNFIYVFHTLG 种属同源性预测 |
| 宿主/亚型 | Rabbit / IgG |
| 抗体类别 | Recombinant |
| 产品类型 | Antibody |
| 全称 | glycoprotein (transmembrane) nmb |
| 别名 | 241435F3, Hematopoietic growth factor inducible neurokinin-1 type, NMB, Osteoactivin, Transmembrane glycoprotein NMB |
| 计算分子量 | 64 kDa |
| 观测分子量 | 120 kDa, 95 kDa |
| GenBank蛋白编号 | BC011595 |
| 基因名称 | GPNMB |
| Gene ID (NCBI) | 10457 |
| RRID | AB_3671722 |
| 偶联类型 | Unconjugated |
| 形式 | Liquid |
| 纯化方式 | Protein A purification |
| UNIPROT ID | Q14956 |
| 储存缓冲液 | PBS with 0.02% sodium azide and 50% glycerol, pH 7.3. |
| 储存条件 | Store at -20°C. Stable for one year after shipment. Aliquoting is unnecessary for -20oC storage. |
背景介绍
GPNMB also known as HGFIN, osteoactivin, and DC-HIL, is a type I membrane glycoprotein involved in various biological processes, including inflammation, invasion and metastasis of malignant tumors, cell differentiation, and tissue regeneration. GPNMB shows expression in the lowly metastatic human melanoma cell lines and xenografts but does not show expression in the highly metastatic cell lines. GPNMB acts as an osteogenic factor that stimulates osteoblast differentiation in vivo and in vitro.
实验方案
| Product Specific Protocols | |
|---|---|
| IF protocol for GPNMB antibody 84160-3-RR | Download protocol |
| IP protocol for GPNMB antibody 84160-3-RR | Download protocol |
| WB protocol for GPNMB antibody 84160-3-RR | Download protocol |
| Standard Protocols | |
|---|---|
| Click here to view our Standard Protocols |





