验证数据展示
经过测试的应用
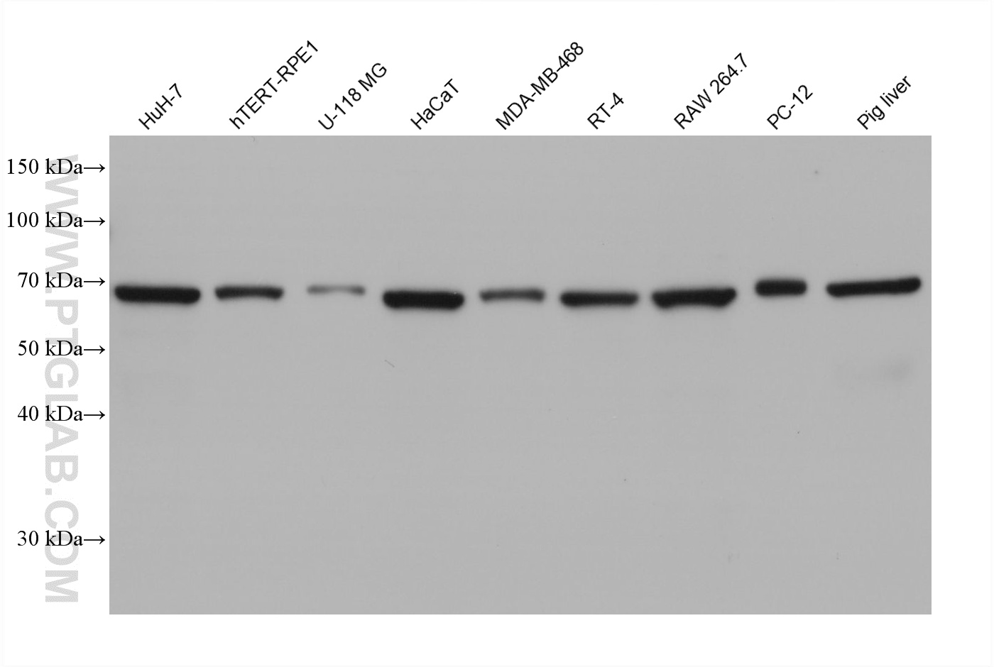
| Positive WB detected in | HuH-7 cells, HT-1080 cells, SK-BR-3 cells, HeLa cells, A375 cells, U-251 cells, THP-1 cells, RAW 264.7 cells, PC-12 cells, hTERT-RPE1 cells, U-118 MG cells, MDA-MB-468 cells, RT-4 cells, pig liver tissue, U-937 cells |
| Positive IF/ICC detected in | HeLa cells |
推荐稀释比
| 应用 | 推荐稀释比 |
|---|---|
| Western Blot (WB) | WB : 1:5000-1:50000 |
| Immunofluorescence (IF)/ICC | IF/ICC : 1:125-1:500 |
| It is recommended that this reagent should be titrated in each testing system to obtain optimal results. | |
| Sample-dependent, Check data in validation data gallery. | |
产品信息
66926-1-Ig targets GPNMB in WB, IHC, IF/ICC, ELISA applications and shows reactivity with human, mouse, rat, pig samples.
| 经测试应用 | WB, IF/ICC, ELISA Application Description |
| 文献引用应用 | WB, IHC, IF |
| 经测试反应性 | human, mouse, rat, pig |
| 文献引用反应性 | human, mouse, rat |
| 免疫原 |
CatNo: Ag26747 Product name: Recombinant human GPNMB protein Source: e coli.-derived, PET28a Tag: 6*His Domain: 38-158 aa of BC011595 Sequence: MREHNQLNGWSSDENDWNEKLYPVWKRGDMRWKNSWKGGRVQAVLTSDSPALVGSNITFAVNLIFPRCQKEDANGNIVYEKNCRNEAGLSADPYVYNWTAWSEDSDGENGTGQSHHNVFPD 种属同源性预测 |
| 宿主/亚型 | Mouse / IgG1 |
| 抗体类别 | Monoclonal |
| 产品类型 | Antibody |
| 全称 | glycoprotein (transmembrane) nmb |
| 别名 | 2B10B8, Hematopoietic growth factor inducible neurokinin-1 type, NMB, Osteoactivin, Transmembrane glycoprotein NMB |
| 计算分子量 | 64 kDa |
| 观测分子量 | 64-70 kDa |
| GenBank蛋白编号 | BC011595 |
| 基因名称 | GPNMB |
| Gene ID (NCBI) | 10457 |
| RRID | AB_2882253 |
| 偶联类型 | Unconjugated |
| 形式 | Liquid |
| 纯化方式 | Protein G purification |
| UNIPROT ID | Q14956 |
| 储存缓冲液 | PBS with 0.02% sodium azide and 50% glycerol, pH 7.3. |
| 储存条件 | Store at -20°C. Stable for one year after shipment. Aliquoting is unnecessary for -20oC storage. |
背景介绍
GPNMB also known as HGFIN, osteoactivin, and DC-HIL, is a type I membrane glycoprotein involved in various biological processes, including inflammation, invasion and metastasis of malignant tumors, cell differentiation, and tissue regeneration. GPNMB shows expression in the lowly metastatic human melanoma cell lines and xenografts but does not show expression in the highly metastatic cell lines. GPNMB acts as an osteogenic factor that stimulates osteoblast differentiation in vivo and in vitro.
实验方案
| Product Specific Protocols | |
|---|---|
| IF protocol for GPNMB antibody 66926-1-Ig | Download protocol |
| WB protocol for GPNMB antibody 66926-1-Ig | Download protocol |
| Standard Protocols | |
|---|---|
| Click here to view our Standard Protocols |
发表文章
| Species | Application | Title |
|---|---|---|
Dev Cell The extracellular-matrix-remodeling capability exposes therapeutic vulnerability in a subset of renal cell carcinomas with tumor thrombi | ||
Int Immunopharmacol Lactic acid-induced M2-like macrophages facilitate tumor cell migration and invasion via the GPNMB/CD44 axis in oral squamous cell carcinoma | ||
PLoS Negl Trop Dis Mining host candidate regulators of schistosomiasis-induced liver fibrosis in response to artesunate therapy through transcriptomics approach | ||
medRxiv Plasticity of Human Microglia and Brain Perivascular Macrophages in Aging and Alzheimer's Disease | ||
Hum Vaccin Immunother Nanovaccine loaded with seno-antigen target senescent cells to improve metabolic disorders of adipose tissue and cardiac dysfunction | ||
Immunity Direct microglia replacement reveals pathologic and therapeutic contributions of brain macrophages to a monogenic neurological disease |



