验证数据展示
经过测试的应用
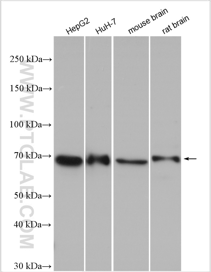
| Positive WB detected in | HuH-7 cells, HepG2 cells, mouse brain tissue, rat brain tissue, MCF-7 cells, MKN-45 cells |
| Positive IHC detected in | human stomach cancer tissue Note: suggested antigen retrieval with TE buffer pH 9.0; (*) Alternatively, antigen retrieval may be performed with citrate buffer pH 6.0 |
推荐稀释比
| 应用 | 推荐稀释比 |
|---|---|
| Western Blot (WB) | WB : 1:1000-1:4000 |
| Immunohistochemistry (IHC) | IHC : 1:50-1:500 |
| It is recommended that this reagent should be titrated in each testing system to obtain optimal results. | |
| Sample-dependent, Check data in validation data gallery. | |
产品信息
10104-1-AP targets GPAA1 in WB, IHC, IF, IP-MS, ELISA applications and shows reactivity with human, mouse, rat samples.
| 经测试应用 | WB, IHC, ELISA Application Description |
| 文献引用应用 | WB, IHC, IF, IP-MS |
| 经测试反应性 | human, mouse, rat |
| 文献引用反应性 | human, mouse |
| 免疫原 |
CatNo: Ag0152 Product name: Recombinant human GPAA1 protein Source: e coli.-derived, PGEX-4T Tag: GST Domain: 62-321 aa of BC004129 Sequence: EQFAGGDRARAFARDFAAHRKKSGALPVAWLERTMRSVGLEVYTQSFSRKLPFPDETHERYMVSGTNVYGILRAPRAASTESLVLTVPCGSDSTNSQAVGLLLALAAHFRGQIYWAKDIVFLVTEHDLLGTEAWLEAYHDVNVTGMQSSPLQGRAGAIQAAVALELSSDVVTSLDVAVEGLNGQLPNLDLLNLFQTFCQKGGLLCTLQGKLQPEDWTSLDGPLQGLQTLLLMVLRQASGRPHGSHGLFLRYRVEALTLRG 种属同源性预测 |
| 宿主/亚型 | Rabbit / IgG |
| 抗体类别 | Polyclonal |
| 产品类型 | Antibody |
| 全称 | glycosylphosphatidylinositol anchor attachment protein 1 homolog (yeast) |
| 别名 | GAA1, Glycosylphosphatidylinositol anchor attachment 1 protein, GPAA 1, hGAA1 |
| 计算分子量 | 68 kDa |
| 观测分子量 | 60-68 kDa |
| GenBank蛋白编号 | BC004129 |
| 基因名称 | GPAA1 |
| Gene ID (NCBI) | 8733 |
| RRID | AB_2263708 |
| 偶联类型 | Unconjugated |
| 形式 | Liquid |
| 纯化方式 | Antigen affinity purification |
| UNIPROT ID | O43292 |
| 储存缓冲液 | PBS with 0.02% sodium azide and 50% glycerol, pH 7.3. |
| 储存条件 | Store at -20°C. Stable for one year after shipment. Aliquoting is unnecessary for -20oC storage. |
背景介绍
GPAA1(Glycosylphosphatidylinositol anchor attachment 1 protein) is also named as GAA1. It is the most conspicuously hydrophobic of the known subunits of GPIT, and it may play a key role in substrate recognition. It is predicted to be a multispanning membrane protein of 67 kDa with seven transmembrane (TM) domains, a large lumenal domain between the first two TM segments, and a cytoplasmically oriented N terminus bearing a potential ER retrieval signal in the form of a diarginine motif(PMID:12052837). It has 2 isoforms produced by alternative splicing and the full length protein has 2 glycosylation sites. This antibody is specific to GPAA1.
实验方案
| Product Specific Protocols | |
|---|---|
| IHC protocol for GPAA1 antibody 10104-1-AP | Download protocol |
| WB protocol for GPAA1 antibody 10104-1-AP | Download protocol |
| Standard Protocols | |
|---|---|
| Click here to view our Standard Protocols |
发表文章
| Species | Application | Title |
|---|---|---|
Mod Pathol Profiling the expression pattern of GPI transamidase complex subunits in human cancer. | ||
Liver Res Single-cell and machine learning approaches uncover intrinsic immune-evasion genes in the prognosis of hepatocellular carcinoma | ||
Int Immunopharmacol Vitamin D against diabetic adipose tissue inflammation through SHP-1/STAT3 pathway | ||
Am J Cancer Res The ubiquitin ligase RCBTB2 regulates aggrephagy and inhibits prostate cancer progression by targeting GPAA1 for degradation.
| ||
Front Oncol Mechanistic insights into GPAA1-mediated cold tumor phenotype and immune evasion in colorectal cancer: integrative multi-omics analysis and experimental validation. | ||
Cancer Res Radiation-Enhanced CD24 Membrane Trafficking via GPI Anchoring Mediates Antitumor Immune Evasion.
|



