验证数据展示
经过测试的应用
| Positive WB detected in | HEK-293 cells, HeLa cells, HepG2 cells |
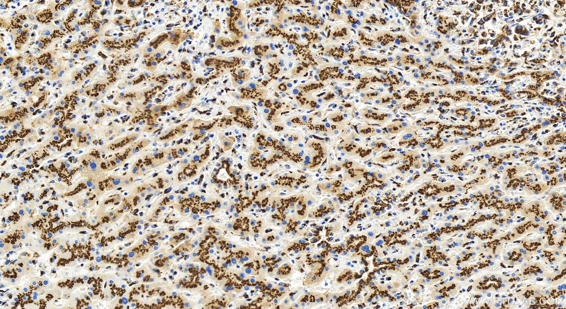
| Positive IHC detected in | human intrahepatic cholangiocarcinoma tissue Note: suggested antigen retrieval with TE buffer pH 9.0; (*) Alternatively, antigen retrieval may be performed with citrate buffer pH 6.0 |
| Positive IF/ICC detected in | HeLa cells |
推荐稀释比
| 应用 | 推荐稀释比 |
|---|---|
| Western Blot (WB) | WB : 1:5000-1:50000 |
| Immunohistochemistry (IHC) | IHC : 1:1000-1:4000 |
| Immunofluorescence (IF)/ICC | IF/ICC : 1:300-1:1200 |
| It is recommended that this reagent should be titrated in each testing system to obtain optimal results. | |
| Sample-dependent, Check data in validation data gallery. | |
产品信息
31083-1-AP targets GOLIM4 in WB, IHC, IF/ICC, ELISA applications and shows reactivity with human samples.
| 经测试应用 | WB, IHC, IF/ICC, ELISA Application Description |
| 文献引用应用 | WB, IF |
| 经测试反应性 | human |
| 文献引用反应性 | human, mouse |
| 免疫原 |
CatNo: Ag34962 Product name: Recombinant human GOLIM4 protein Source: e coli.-derived, PGEX-4T Tag: GST Domain: 350-500 aa of NM_014498 Sequence: QVGQAEHLEEEHDPSPEEQDREWKEQHEQREAANLLEGHARAEVYPSAKPMIKFQSPYEEQLEQQRLAVQQVEEAQQLREHQEALHQQRLQGHLLRQQEQQQQQVAREMALQRQAELEEGRPQHQEQLRQQAHYDAMDNDIVQGAEDQGIQ 种属同源性预测 |
| 宿主/亚型 | Rabbit / IgG |
| 抗体类别 | Polyclonal |
| 产品类型 | Antibody |
| 全称 | golgi integral membrane protein 4 |
| 别名 | GIMPC, GOLPH4, GPP130, P 138, P138 |
| 计算分子量 | 82 kDa |
| 观测分子量 | 130 kDa |
| GenBank蛋白编号 | NM_014498 |
| 基因名称 | GOLIM4 |
| Gene ID (NCBI) | 27333 |
| RRID | AB_3669846 |
| 偶联类型 | Unconjugated |
| 形式 | Liquid |
| 纯化方式 | Antigen affinity Purification |
| UNIPROT ID | O00461 |
| 储存缓冲液 | PBS with 0.02% sodium azide and 50% glycerol, pH 7.3. |
| 储存条件 | Store at -20°C. Stable for one year after shipment. Aliquoting is unnecessary for -20oC storage. |
背景介绍
Golgi integral membrane protein 4 (GOLIM4) is a 130-kDa membrane protein that is integrated into the cis/medial Golgi apparatus, which is a kind II Golgi protein. GOLIM4 is a Golgi protein that circulates between Golgi apparatus and endosomes, and its shuttle is pH sensitive(PMID:30068697).
实验方案
| Product Specific Protocols | |
|---|---|
| IF protocol for GOLIM4 antibody 31083-1-AP | Download protocol |
| IHC protocol for GOLIM4 antibody 31083-1-AP | Download protocol |
| WB protocol for GOLIM4 antibody 31083-1-AP | Download protocol |
| Standard Protocols | |
|---|---|
| Click here to view our Standard Protocols |
发表文章
| Species | Application | Title |
|---|---|---|
Proc Natl Acad Sci U S A Monensin suppresses EMT-driven cancer cell motility by inducing Golgi pH-dependent exocytosis of GOLIM4
| ||
Clin Transl Med PCIF1 drives oesophageal squamous cell carcinoma progression via m6Am-mediated suppression of MTF2 translation |





