验证数据展示
经过测试的应用
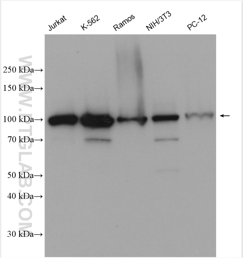
| Positive WB detected in | Jurkat cells, K-562 cells, Ramos cells, NIH/3T3 cells |
| Positive IHC detected in | human breast cancer tissue Note: suggested antigen retrieval with TE buffer pH 9.0; (*) Alternatively, antigen retrieval may be performed with citrate buffer pH 6.0 |
| Positive IF/ICC detected in | A431 cells |
推荐稀释比
| 应用 | 推荐稀释比 |
|---|---|
| Western Blot (WB) | WB : 1:500-1:1000 |
| Immunohistochemistry (IHC) | IHC : 1:20-1:200 |
| Immunofluorescence (IF)/ICC | IF/ICC : 1:300-1:1200 |
| It is recommended that this reagent should be titrated in each testing system to obtain optimal results. | |
| Sample-dependent, Check data in validation data gallery. | |
产品信息
10190-2-AP targets GNL2 in WB, IHC, IF/ICC, ELISA applications and shows reactivity with human, mouse samples.
| 经测试应用 | WB, IHC, IF/ICC, ELISA Application Description |
| 经测试反应性 | human, mouse |
| 免疫原 |
CatNo: Ag0243 Product name: Recombinant human GNL2 protein Source: e coli.-derived, PGEX-4T Tag: GST Domain: 514-722 aa of BC000107 Sequence: SHCDANTEMQQILTRVRQNFGKINVVPQFSGDDLVPVEVSDLEEELESFSDEEEEEQEQQRDDAEESSSEPEEENVGNDTKAVIKALDEKIAKYQKFLDKAKAKKFSAVRISKGLSEKIFAKPEEQRKTLEEDVDDRAPSKKGKKRKAQREEEQEHSNKAPRALTSKERRRAVRQQRPKKVGVRYYETHNVKNRNRNKKKTNDSEGQKH 种属同源性预测 |
| 宿主/亚型 | Rabbit / IgG |
| 抗体类别 | Polyclonal |
| 产品类型 | Antibody |
| 全称 | guanine nucleotide binding protein-like 2 (nucleolar) |
| 别名 | Autoantigen NGP 1, Autoantigen NGP-1, HUMAUANTIG, Ngp 1, NGP1 |
| 计算分子量 | 731 aa, 84 kDa |
| 观测分子量 | 100 kDa |
| GenBank蛋白编号 | BC000107 |
| 基因名称 | GNL2 |
| Gene ID (NCBI) | 29889 |
| RRID | AB_2110075 |
| 偶联类型 | Unconjugated |
| 形式 | Liquid |
| 纯化方式 | Antigen affinity purification |
| UNIPROT ID | Q13823 |
| 储存缓冲液 | PBS with 0.02% sodium azide and 50% glycerol, pH 7.3. |
| 储存条件 | Store at -20°C. Stable for one year after shipment. Aliquoting is unnecessary for -20oC storage. |
背景介绍
GNL2 ( G protein nucleolar 2) has a crucial role in the pathogenesis of gliomas by influencing key cellular processes, particularly enhanced protein synthesis, which ultimately contributes to the development of gliomas. In addition, GNL2 was found to affect the overall protein synthesis of ribosomal protein L11 in glioma cells. The calculated MW of GNL2 is 84 kDa, but the observed MW is around 100 kDa, which may be due to glycosylation modification.
实验方案
| Product Specific Protocols | |
|---|---|
| IF protocol for GNL2 antibody 10190-2-AP | Download protocol |
| IHC protocol for GNL2 antibody 10190-2-AP | Download protocol |
| WB protocol for GNL2 antibody 10190-2-AP | Download protocol |
| Standard Protocols | |
|---|---|
| Click here to view our Standard Protocols |


