验证数据展示
经过测试的应用
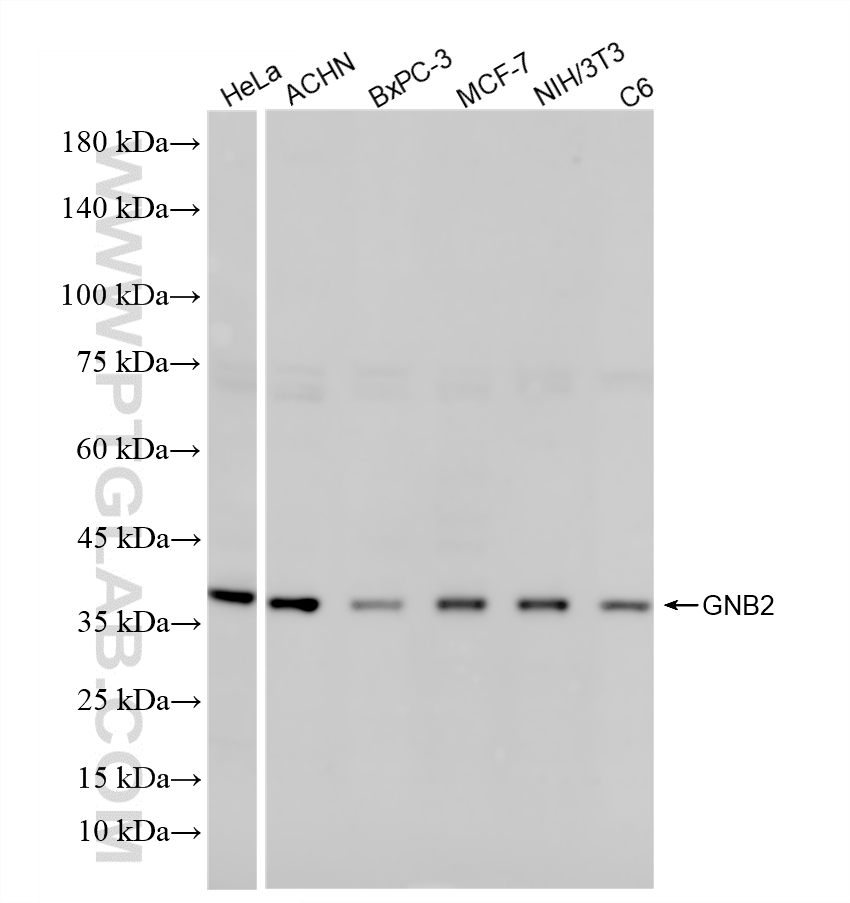
| Positive WB detected in | HeLa cells, ACHN cells, BxPC-3 cells, MCF-7 cells, NIH/3T3 cells, C6 cells |
推荐稀释比
| 应用 | 推荐稀释比 |
|---|---|
| Western Blot (WB) | WB : 1:500-1:2000 |
| It is recommended that this reagent should be titrated in each testing system to obtain optimal results. | |
| Sample-dependent, Check data in validation data gallery. | |
产品信息
86469-1-RR targets GNB2 in WB, ELISA applications and shows reactivity with human, mouse samples.
| 经测试应用 | WB, ELISA Application Description |
| 经测试反应性 | human, mouse |
| 免疫原 |
CatNo: Ag9125 Product name: Recombinant human GNB2 protein Source: e coli.-derived, PGEX-4T Tag: GST Domain: 1-340 aa of BC010073 Sequence: MSELEQLRQEAEQLRNQIRDARKACGDSTLTQITAGLDPVGRIQMRTRRTLRGHLAKIYAMHWGTDSRLLVSASQDGKLIIWDSYTTNKVHAIPLRSSWVMTCAYAPSGNFVACGGLDNICSIYSLKTREGNVRVSRELPGHTGYLSCCRFLDDNQIITSSGDTTCALWDIETGQQTVGFAGHSGDVMSLSLAPDGRTFVSGACDASIKLWDVRDSMCRQTFIGHESDINAVAFFPNGYAFTTGSDDATCRLFDLRADQELLMYSHDNIICGITSVAFSRSGRLLLAGYDDFNCNIWDAMKGDRAGVLAGHDNRVSCLGVTDDGMAVATGSWDSFLKIWN 种属同源性预测 |
| 宿主/亚型 | Rabbit / IgG |
| 抗体类别 | Recombinant |
| 产品类型 | Antibody |
| 全称 | guanine nucleotide binding protein (G protein), beta polypeptide 2 |
| 别名 | G protein subunit beta-2, Guanine nucleotide-binding protein G(I)/G(S)/G(T) subunit beta-2 |
| 计算分子量 | 340 aa, 37 kDa |
| 观测分子量 | 37 kDa |
| GenBank蛋白编号 | BC010073 |
| 基因名称 | GNB2 |
| Gene ID (NCBI) | 2783 |
| RRID | AB_3744906 |
| 偶联类型 | Unconjugated |
| 形式 | Liquid |
| 纯化方式 | Protein A purification |
| UNIPROT ID | P62879 |
| 储存缓冲液 | PBS with 0.02% sodium azide and 50% glycerol, pH 7.3. |
| 储存条件 | Store at -20°C. Stable for one year after shipment. Aliquoting is unnecessary for -20oC storage. |
背景介绍
GNB2(Guanine nucleotide-binding protein G(I)/G(S)/G(T) subunit beta-2) is also named as G protein subunit beta-2, transducin beta chain 2 and belongs to the WD repeat G protein beta family. G proteins are involved as a modulator or transducer in various transmembrane signaling systems. The beta and gamma chains are required for the GTPase activity, for replacement of GDP by GTP, and for G protein-effector interaction.
实验方案
| Product Specific Protocols | |
|---|---|
| WB protocol for GNB2 antibody 86469-1-RR | Download protocol |
| Standard Protocols | |
|---|---|
| Click here to view our Standard Protocols |
