验证数据展示
经过测试的应用
| Positive WB detected in | mouse retina tissue, mouse eye tissue, rat retina tissue |
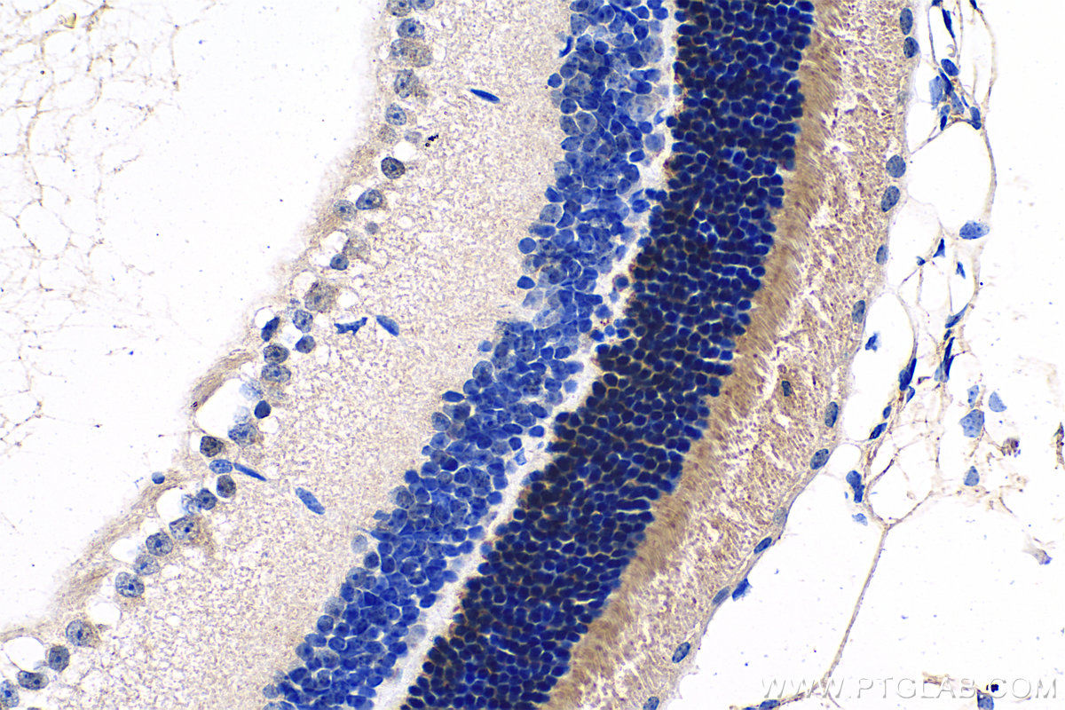
| Positive IHC detected in | mouse eye tissue Note: suggested antigen retrieval with TE buffer pH 9.0; (*) Alternatively, antigen retrieval may be performed with citrate buffer pH 6.0 |
| Positive IF/ICC detected in | HeLa cells |
| Positive FC (Intra) detected in | HeLa cells |
推荐稀释比
| 应用 | 推荐稀释比 |
|---|---|
| Western Blot (WB) | WB : 1:2000-1:10000 |
| Immunohistochemistry (IHC) | IHC : 1:750-1:3000 |
| Immunofluorescence (IF)/ICC | IF/ICC : 1:50-1:500 |
| Flow Cytometry (FC) (INTRA) | FC (INTRA) : 0.40 ug per 10^6 cells in a 100 µl suspension |
| It is recommended that this reagent should be titrated in each testing system to obtain optimal results. | |
| Sample-dependent, Check data in validation data gallery. | |
产品信息
55167-1-AP targets GNAT1 in WB, IHC, IF/ICC, FC (Intra), ELISA applications and shows reactivity with human, mouse, rat samples.
| 经测试应用 | WB, IHC, IF/ICC, FC (Intra), ELISA Application Description |
| 文献引用应用 | WB, IHC, IF |
| 经测试反应性 | human, mouse, rat |
| 文献引用反应性 | mouse, zebrafish |
| 免疫原 |
Peptide 种属同源性预测 |
| 宿主/亚型 | Rabbit / IgG |
| 抗体类别 | Polyclonal |
| 产品类型 | Antibody |
| 全称 | guanine nucleotide binding protein (G protein), alpha transducing activity polypeptide 1 |
| 别名 | CSNBAD3, GBT1, GNATR, Guanine nucleotide-binding protein G(t) subunit alpha-1, Transducin alpha 1 chain |
| 计算分子量 | 40 kDa |
| 观测分子量 | 35-40 kDa |
| GenBank蛋白编号 | NM_000172 |
| 基因名称 | GNAT1 |
| Gene ID (NCBI) | 2779 |
| RRID | AB_10858788 |
| 偶联类型 | Unconjugated |
| 形式 | Liquid |
| 纯化方式 | Antigen affinity purification |
| UNIPROT ID | P11488 |
| 储存缓冲液 | PBS with 0.02% sodium azide and 50% glycerol, pH 7.3. |
| 储存条件 | Store at -20°C. Stable for one year after shipment. Aliquoting is unnecessary for -20oC storage. |
背景介绍
GNAT1, also named as GNATR, belongs to the G-alpha family and G(i/o/t/z) subfamily. Guanine nucleotide-binding proteins (G proteins) are involved as modulators or transducers in various transmembrane signaling systems. Transducin is an amplifier and one of the transducers of a visual impulse that performs the coupling between rhodopsin and cGMP-phosphodiesterase. Defects in GNAT1 are the cause of congenital stationary night blindness autosomal dominant type 3 (CSNBAD3). This antibody is specific to GNAT1.
实验方案
| Product Specific Protocols | |
|---|---|
| FC protocol for GNAT1 antibody 55167-1-AP | Download protocol |
| IF protocol for GNAT1 antibody 55167-1-AP | Download protocol |
| IHC protocol for GNAT1 antibody 55167-1-AP | Download protocol |
| WB protocol for GNAT1 antibody 55167-1-AP | Download protocol |
| Standard Protocols | |
|---|---|
| Click here to view our Standard Protocols |
发表文章
| Species | Application | Title |
|---|---|---|
iScience Identification of early-onset photoreceptor degeneration in transgenic mouse models of Alzheimer's disease. | ||
J Biol Chem Pathogenic Mutations in Retinitis Pigmentosa 2 Predominantly Result in Loss of RP2 Protein Stability in Human and Zebrafish. | ||
Sci Rep Loss of PRCD alters number and packaging density of rhodopsin in rod photoreceptor disc membranes. | ||
eNeuro Frmpd1 facilitates trafficking of G-protein transducin and modulates synaptic function in rod photoreceptors of mammalian retina |






