验证数据展示
经过测试的应用
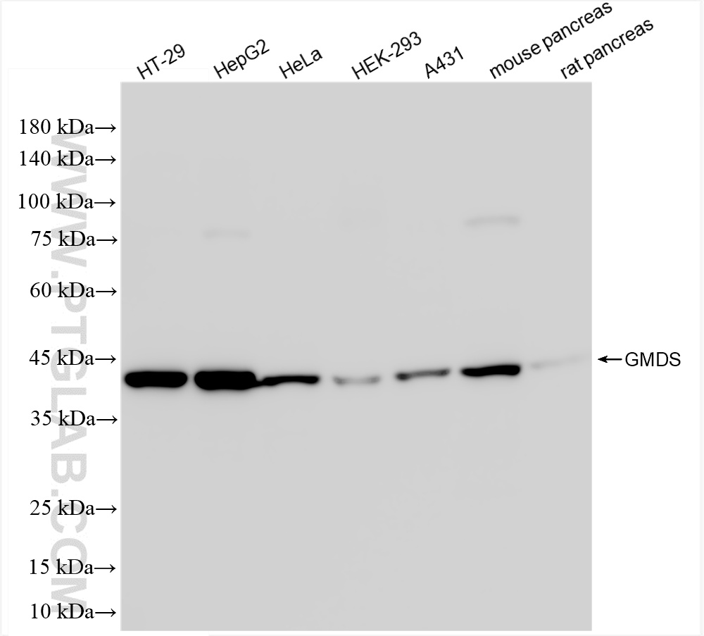
| Positive WB detected in | HT-29 cells, HepG2 cells, HeLa cells, HEK-293 cells, A431 cells, mouse pancreas tissue, rat pancreas tissue |
推荐稀释比
| 应用 | 推荐稀释比 |
|---|---|
| Western Blot (WB) | WB : 1:5000-1:50000 |
| It is recommended that this reagent should be titrated in each testing system to obtain optimal results. | |
| Sample-dependent, Check data in validation data gallery. | |
产品信息
86435-1-RR targets GMDS in WB, ELISA applications and shows reactivity with human, mouse, rat samples.
| 经测试应用 | WB, ELISA Application Description |
| 经测试反应性 | human, mouse, rat |
| 免疫原 |
CatNo: Ag7319 Product name: Recombinant human GMDS protein Source: e coli.-derived, PET28a Tag: 6*His Domain: 1-372 aa of BC000117 Sequence: MAHAPARCPSARGSGDGEMGKPRNVALITGITGQDGSYLAEFLLEKGYEVHGIVRRSSSFNTGRIEHLYKNPQAHIEGNMKLHYGDLTDSTCLVKIINEVKPTEIYNLGAQSHVKISFDLAEYTADVDGVGTLRLLDAVKTCGLINSVKFYQASTSELYGKVQEIPQKETTPFYPRSPYGAAKLYAYWIVVNFREAYNLFAVNGILFNHESPRRGANFVTRKISRSVAKIYLGQLECFSLGNLDAKRDWGHAKDYVEAMWLMLQNDEPEDFVIATGEVHSVREFVEKSFLHIGKTIVWEGKNENEVGRCKETGKVHVTVDLKYYRPTEVDFLQGDCTKAKQKLNWKPRVAFDELVREMVHADVELMRTNPNA 种属同源性预测 |
| 宿主/亚型 | Rabbit / IgG |
| 抗体类别 | Recombinant |
| 产品类型 | Antibody |
| 全称 | GDP-mannose 4,6-dehydratase |
| 别名 | EC:4.2.1.47, GDP-D-mannose dehydratase, GDP-mannose 4,6 dehydratase, GMD, SDR3E1 |
| 计算分子量 | 42 kDa |
| 观测分子量 | 42 kDa |
| GenBank蛋白编号 | BC000117 |
| 基因名称 | GMDS |
| Gene ID (NCBI) | 2762 |
| 偶联类型 | Unconjugated |
| 形式 | Liquid |
| 纯化方式 | Protein A purification |
| UNIPROT ID | O60547 |
| 储存缓冲液 | PBS with 0.02% sodium azide and 50% glycerol, pH 7.3. |
| 储存条件 | Store at -20°C. Stable for one year after shipment. Aliquoting is unnecessary for -20oC storage. |
背景介绍
GDP-D-mannose-4,6-dehydratase (GMDS) is the key enzyme in the 'de novo' pathway of GDP-L-fucose biosynthesis(PMID:10462046). The enzyme is also named as GMD and belongs to the GDP-mannose 4,6-dehydratase family. The gene encodes a 42 kDa protein that catalyzes the conversion of GDP-mannose to GDP-4-keto-6-deoxymannose, the first step in the synthesis of GDP-fucose from GDP-mannose, using NADP+ as a cofactor.
实验方案
| Product Specific Protocols | |
|---|---|
| WB protocol for GMDS antibody 86435-1-RR | Download protocol |
| Standard Protocols | |
|---|---|
| Click here to view our Standard Protocols |
