验证数据展示
经过测试的应用
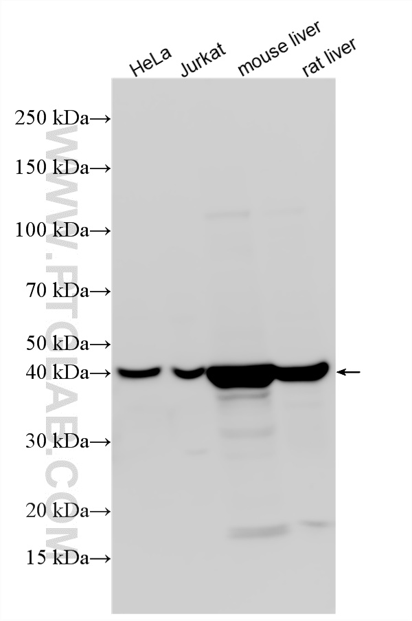
| Positive WB detected in | HeLa cells, Jurkat cells, mouse liver tissue, rat liver tissue |
| Positive IP detected in | mouse liver tissue |
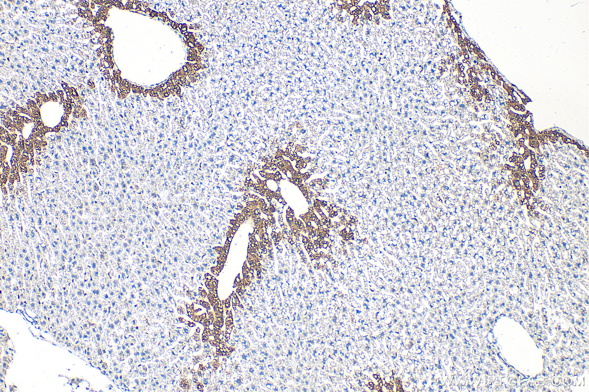
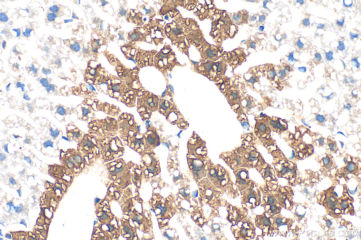
| Positive IHC detected in | mouse liver tissue Note: suggested antigen retrieval with TE buffer pH 9.0; (*) Alternatively, antigen retrieval may be performed with citrate buffer pH 6.0 |
| Positive IF-P detected in | mouse liver tissue, human brain tissue, mouse eye tissue |
| Positive FC (Intra) detected in | Jurkat cells, HepG2 cells |
推荐稀释比
| 应用 | 推荐稀释比 |
|---|---|
| Western Blot (WB) | WB : 1:5000-1:50000 |
| Immunoprecipitation (IP) | IP : 0.5-4.0 ug for 1.0-3.0 mg of total protein lysate |
| Immunohistochemistry (IHC) | IHC : 1:2000-1:8000 |
| Immunofluorescence (IF)-P | IF-P : 1:50-1:500 |
| Flow Cytometry (FC) (INTRA) | FC (INTRA) : 0.40 ug per 10^6 cells in a 100 µl suspension |
| It is recommended that this reagent should be titrated in each testing system to obtain optimal results. | |
| Sample-dependent, Check data in validation data gallery. | |
产品信息
11037-2-AP targets Glutamine Synthetase in WB, IHC, IF-P, FC (Intra), IP, CoIP, ELISA applications and shows reactivity with human, mouse, rat samples.
| 经测试应用 | WB, IHC, IF-P, FC (Intra), IP, ELISA Application Description |
| 文献引用应用 | WB, IHC, IF, IP, CoIP, ELISA |
| 经测试反应性 | human, mouse, rat |
| 文献引用反应性 | human, mouse, rat |
| 免疫原 |
CatNo: Ag1510 Product name: Recombinant human Glutamine synthetase protein Source: e coli.-derived, PGEX-4T Tag: GST Domain: 1-373 aa of BC011700 Sequence: MTTSASSHLNKGIKQVYMSLPQGEKVQAMYIWIDGTGEGLRCKTRTLDSEPKCVEELPEWNFDGSSTLQSEGSNSDMYLVPAAMFRDPFRKDPNKLVLCEVFKYNRRPAETNLRHTCKRIMDMVSNQHPWFGMEQEYTLMGTDGHPFGWPSNGFPGPQGPYYCGVGADRAYGRDIVEAHYRACLYAGVKIAGTNAEVMPAQWEFQIGPCEGISMGDHLWVARFILHRVCEDFGVIATFDPKPIPGNWNGAGCHTNFSTKAMREENGLKYIEEAIEKLSKRHQYHIRAYDPKGGLDNARRLTGFHETSNINDFSAGVANRSASIRIPRTVGQEKKGYFEDRRPSANCDPFSVTEALIRTCLLNETGDEPFQYKN 种属同源性预测 |
| 宿主/亚型 | Rabbit / IgG |
| 抗体类别 | Polyclonal |
| 产品类型 | Antibody |
| 全称 | glutamate-ammonia ligase (glutamine synthetase) |
| 别名 | GLUL, EC:2.3.1.225, EC:6.3.1.2, GLNS, Glutamate--ammonia ligase |
| 计算分子量 | 374 aa, 42 kDa |
| 观测分子量 | 40-42 kDa |
| GenBank蛋白编号 | BC011700 |
| 基因名称 | Glutamine Synthetase |
| Gene ID (NCBI) | 2752 |
| RRID | AB_2110650 |
| 偶联类型 | Unconjugated |
| 形式 | Liquid |
| 纯化方式 | Antigen affinity purification |
| UNIPROT ID | P15104 |
| 储存缓冲液 | PBS with 0.02% sodium azide and 50% glycerol, pH 7.3. |
| 储存条件 | Store at -20°C. Stable for one year after shipment. Aliquoting is unnecessary for -20oC storage. |
背景介绍
GLUL(Glutamine synthetase) is also named as GS,GLNS and belongs to the glutamine synthetase family.This enzyme has 2 functions: it catalyzes the production of glutamine and 4-aminobutanoate (gamma-aminobutyric acid, GABA), the latter in a pyridoxal phosphate-independent manner By similarity. Essential for proliferation of fetal skin fibroblasts(PMID:18662667).Defects in GLUL are the cause of congenital systemic glutamine deficiency (CSGD).Organismal glutamine production is augmented secondary to an increase in the activity of glutamine synthetase in the lung and skeletal muscle(PMID:7630137). There are other bands with higher (66 kDa, 97 kDa) and lower (30 kDa)molecular weights also detected besides the 42 kDa band indicating the proteolysis of GLUL protein by the ubiquitin system(PMID:10091759).
实验方案
| Product Specific Protocols | |
|---|---|
| FC protocol for Glutamine Synthetase antibody 11037-2-AP | Download protocol |
| IF protocol for Glutamine Synthetase antibody 11037-2-AP | Download protocol |
| IHC protocol for Glutamine Synthetase antibody 11037-2-AP | Download protocol |
| IP protocol for Glutamine Synthetase antibody 11037-2-AP | Download protocol |
| WB protocol for Glutamine Synthetase antibody 11037-2-AP | Download protocol |
| Standard Protocols | |
|---|---|
| Click here to view our Standard Protocols |
发表文章
| Species | Application | Title |
|---|---|---|
Cell Metab Acetate enables metabolic fitness and cognitive performance during sleep disruption | ||
Cell Metab High dietary fructose promotes hepatocellular carcinoma progression by enhancing O-GlcNAcylation via microbiota-derived acetate
| ||
Protein Cell Follicle stimulating hormone controls granulosa cell glutamine synthesis to regulate ovulation | ||
Sci Transl Med An extracorporeal bioartificial liver embedded with 3D-layered human liver progenitor-like cells relieves acute liver failure in pigs. | ||
Cell Res Glutaminase GLS1 senses glutamine availability in a non-enzymatic manner triggering mitochondrial fusion.
|










