验证数据展示
经过测试的应用
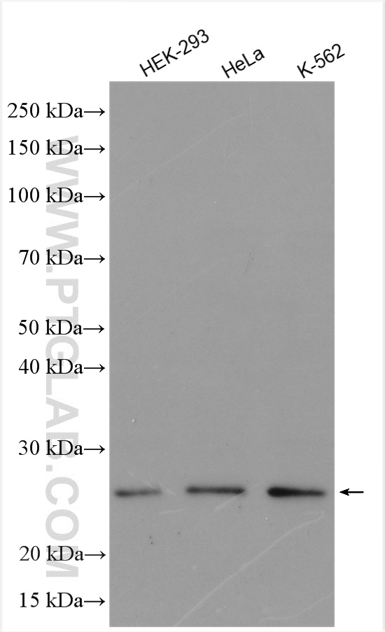
| Positive WB detected in | HEK-293 cells, mouse brain tissue, mouse cerebellum tissue, rat brain tissue, HeLa cells, K-562 cells |
| Positive IHC detected in | human stomach tissue Note: suggested antigen retrieval with TE buffer pH 9.0; (*) Alternatively, antigen retrieval may be performed with citrate buffer pH 6.0 |
推荐稀释比
| 应用 | 推荐稀释比 |
|---|---|
| Western Blot (WB) | WB : 1:1000-1:6000 |
| Immunohistochemistry (IHC) | IHC : 1:50-1:500 |
| It is recommended that this reagent should be titrated in each testing system to obtain optimal results. | |
| Sample-dependent, Check data in validation data gallery. | |
产品信息
10850-1-AP targets GLTP in WB, IHC, IF, ELISA applications and shows reactivity with human, mouse, rat samples.
| 经测试应用 | WB, IHC, ELISA Application Description |
| 文献引用应用 | WB, IF |
| 经测试反应性 | human, mouse, rat |
| 文献引用反应性 | human, mouse |
| 免疫原 |
CatNo: Ag1293 Product name: Recombinant human GLTP protein Source: e coli.-derived, PGEX-4T Tag: GST Domain: 1-209 aa of BC009932 Sequence: MALLAEHLLKPLPADKQIETGPFLEAVSHLPPFFDCLGSPVFTPIKADISGNITKIKAVYDTNPAKFRTLQNILEVEKEMYGAEWPKVGATLALMWLKRGLRFIQVFLQSICDGERDENHPNLIRVNATKAYEMALKKYHGWIVQKIFQAALYAAPYKSDFLKALSKGQNVTEEECLEKIRLFLVNYTATIDVIYEMYTQMNAELNYKV 种属同源性预测 |
| 宿主/亚型 | Rabbit / IgG |
| 抗体类别 | Polyclonal |
| 产品类型 | Antibody |
| 全称 | glycolipid transfer protein |
| 别名 | Glycolipid transfer protein |
| 计算分子量 | 24 kDa |
| 观测分子量 | 24 kDa |
| GenBank蛋白编号 | BC009932 |
| 基因名称 | GLTP |
| Gene ID (NCBI) | 51228 |
| RRID | AB_2294627 |
| 偶联类型 | Unconjugated |
| 形式 | Liquid |
| 纯化方式 | Antigen affinity purification |
| UNIPROT ID | Q9NZD2 |
| 储存缓冲液 | PBS with 0.02% sodium azide and 50% glycerol, pH 7.3. |
| 储存条件 | Store at -20°C. Stable for one year after shipment. Aliquoting is unnecessary for -20oC storage. |
背景介绍
The GLTP protein, also known as Glycolipid Transfer Protein, belongs to the GLTP superfamily. It is a soluble cytoplasmic protein that is widely present in eukaryotes. Its main function is to specifically recognize, bind to, and transport glycolipid molecules (such as glucose ceramide) between membranes. By regulating the distribution of glycolipids in intracellular membrane compartments (such as the Golgi apparatus, endoplasmic reticulum, and plasma membrane), it participates in key biological processes such as cell signal transduction, maintenance of membrane homeostasis, and assembly of membrane microdomains.
实验方案
| Product Specific Protocols | |
|---|---|
| IHC protocol for GLTP antibody 10850-1-AP | Download protocol |
| WB protocol for GLTP antibody 10850-1-AP | Download protocol |
| Standard Protocols | |
|---|---|
| Click here to view our Standard Protocols |
发表文章
| Species | Application | Title |
|---|---|---|
Int J Mol Sci miR-196a Upregulation Contributes to Gefitinib Resistance through Inhibiting GLTP Expression. | ||
Arch Toxicol Peroxisome proliferator-activated receptor α attenuates high-cholesterol diet-induced toxicity and pro-thrombotic effects in mice. | ||
Hypertens Res Effects of hypertension and antihypertensive treatments on sulfatide levels in serum and its metabolism. | ||
Glycoconj J Age-dependent PPARα activation induces hepatic sulfatide accumulation in transgenic mice carrying the hepatitis C virus core gene. | ||
Biochim Biophys Acta Mol Cell Biol Lipids Upregulation of human glycolipid transfer protein (GLTP) induces necroptosis in colon carcinoma cells. | ||
Mol Neurobiol Role of Gltp in Maturation of Oligodendrocytes Under the Regulation of Nkx2.2 |


