验证数据展示
经过测试的应用
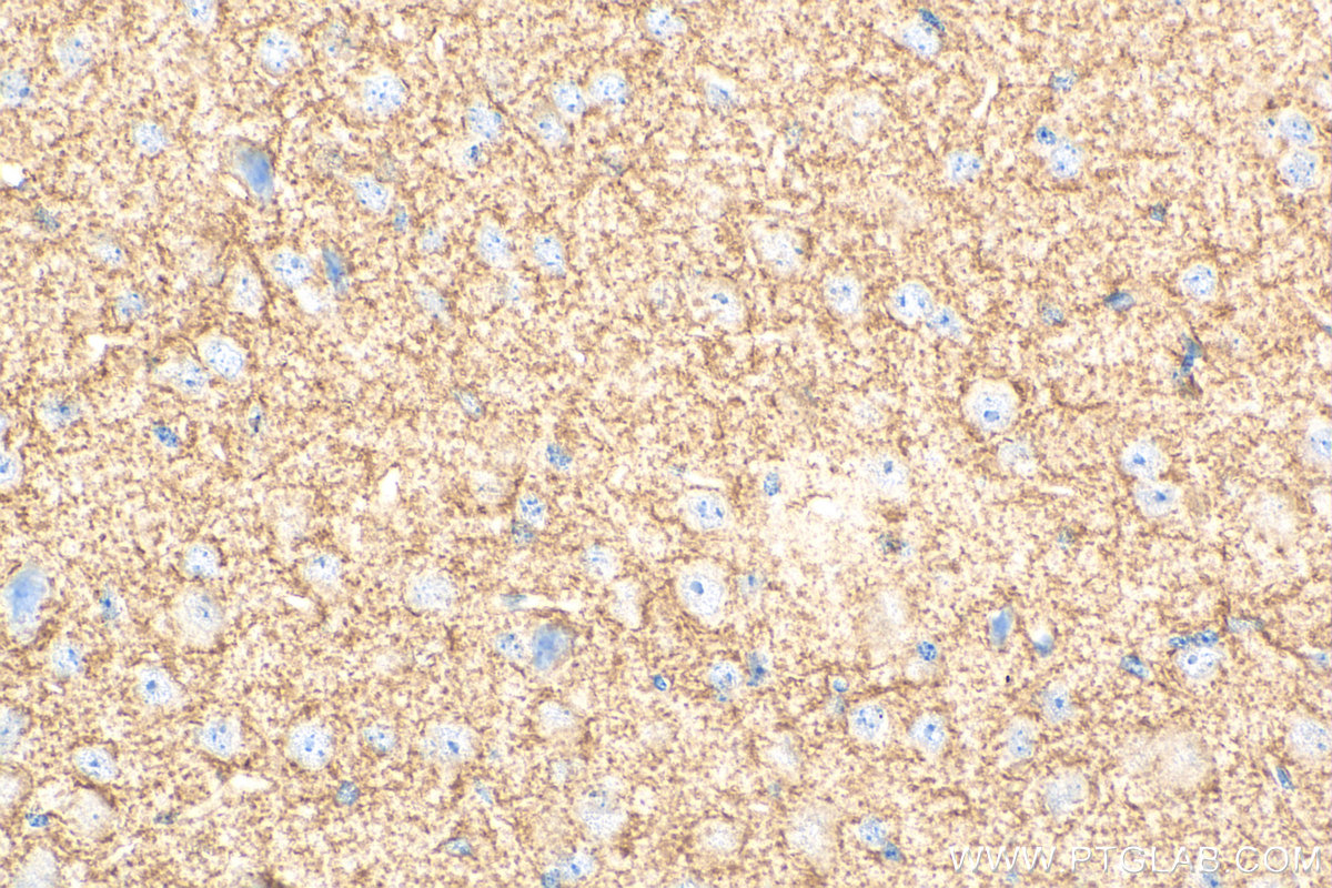
| Positive IHC detected in | mouse brain tissue Note: suggested antigen retrieval with TE buffer pH 9.0; (*) Alternatively, antigen retrieval may be performed with citrate buffer pH 6.0 |
推荐稀释比
| 应用 | 推荐稀释比 |
|---|---|
| Immunohistochemistry (IHC) | IHC : 1:50-1:500 |
| It is recommended that this reagent should be titrated in each testing system to obtain optimal results. | |
| Sample-dependent, Check data in validation data gallery. | |
产品信息
Biotin-20785 targets GLAST/EAAT1 in IHC applications and shows reactivity with human, mouse, rat samples.
| 经测试应用 | IHC Application Description |
| 经测试反应性 | human, mouse, rat |
| 免疫原 |
CatNo: Ag14177 Product name: Recombinant human SLC1A3 protein Source: e coli.-derived, PGEX-4T Tag: GST Domain: 471-542 aa of BC037310 Sequence: VDWFLDRLRTTTNVLGDSLGAGIVEHLSRHELKNRDVEMGNSVIEENEMKKPYQLIAQDNETEKPIDSETKM 种属同源性预测 |
| 宿主/亚型 | Rabbit / IgG |
| 抗体类别 | Polyclonal |
| 产品类型 | Antibody |
| 全称 | solute carrier family 1 (glial high affinity glutamate transporter), member 3 |
| 别名 | EAAT1, GLAST, GLAST-1, SLC1A3, Sodium-dependent glutamate/aspartate transporter 1 |
| 计算分子量 | 542 aa, 60 kDa |
| 观测分子量 | 50-55 kDa, 90-100 kDa |
| GenBank蛋白编号 | BC037310 |
| 基因名称 | GLAST |
| Gene ID (NCBI) | 6507 |
| 偶联类型 | Biotin |
| 形式 | Liquid |
| 纯化方式 | Antigen affinity purification |
| UNIPROT ID | P43003 |
| 储存缓冲液 | PBS with 50% glycerol, 0.05% Proclin300, 0.5% BSA, pH 7.3. |
| 储存条件 | Store at -20°C. Avoid exposure to light. Stable for one year after shipment. Aliquoting is unnecessary for -20oC storage. |
背景介绍
SLC1A3, also known as EAAT-1 or GLAST, is a membrane-bound protein localized in glial cells and pre-synaptic glutamatergic nerve endings. It transports the excitatory neurotransmitters L-glutamate and D-aspartate, which is essential for terminating the postsynaptic acction of glutamate. Recently, a correlation between expression/function of glial EAAT-1 and tumor proliferation has been reported. The exceptionally rare expression of EAAT-1 in non-neoplastic choroid plexus (CP) compared to choroid plexus tumors (CPT) may distinguishes neoplastic from normal CP. There are a number of splicing variants of SLC1A3, like GLAST1a and GLAST1b, exist due to the exon skipping. It also undergo glycosylation. Variety of bands can be observed in the western blotting assay: 50-55 kDa represents the unglycosylated GLAST1a or GLAST1b, 65-70 kDa correspond to the glycosylated proteins, larger proteins between 90-130 kDa may be the multimers of SLC1A3. (11086157, 17471058, 12546822)
实验方案
| Product Specific Protocols | |
|---|---|
| IHC protocol for Biotin GLAST/EAAT1 antibody Biotin-20785 | Download protocol |
| Standard Protocols | |
|---|---|
| Click here to view our Standard Protocols |

