验证数据展示
经过测试的应用
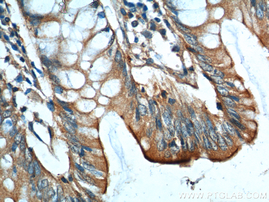
| Positive IHC detected in | human colon tissue Note: suggested antigen retrieval with TE buffer pH 9.0; (*) Alternatively, antigen retrieval may be performed with citrate buffer pH 6.0 |
推荐稀释比
| 应用 | 推荐稀释比 |
|---|---|
| Immunohistochemistry (IHC) | IHC : 1:50-1:500 |
| It is recommended that this reagent should be titrated in each testing system to obtain optimal results. | |
| Sample-dependent, Check data in validation data gallery. | |
产品信息
18230-1-AP targets GIPR in IHC, ELISA applications and shows reactivity with human samples.
| 经测试应用 | IHC, ELISA Application Description |
| 经测试反应性 | human |
| 免疫原 |
CatNo: Ag12842 Product name: Recombinant human GIPR protein Source: e coli.-derived, PGEX-4T Tag: GST Domain: 25-142 aa of BC093723 Sequence: TGSKGQTAGELYQRWERYRRECQETLAAAEPPSGLACNGSFDMYVCWDYAAPNATARASCPWYLPWHHHVAAGFVLRQCGSDGQWGLWRDHTQCENPEKNEAFLDQRLILERLQVMYT 种属同源性预测 |
| 宿主/亚型 | Rabbit / IgG |
| 抗体类别 | Polyclonal |
| 产品类型 | Antibody |
| 全称 | gastric inhibitory polypeptide receptor |
| 别名 | GIP R, GIPR |
| 计算分子量 | 466 aa, 53 kDa |
| GenBank蛋白编号 | BC093723 |
| 基因名称 | GIPR |
| Gene ID (NCBI) | 2696 |
| RRID | AB_2878521 |
| 偶联类型 | Unconjugated |
| 形式 | Liquid |
| 纯化方式 | Antigen affinity purification |
| UNIPROT ID | P48546 |
| 储存缓冲液 | PBS with 0.02% sodium azide and 50% glycerol, pH 7.3. |
| 储存条件 | Store at -20°C. Stable for one year after shipment. Aliquoting is unnecessary for -20oC storage. |
实验方案
| Product Specific Protocols | |
|---|---|
| IHC protocol for GIPR antibody 18230-1-AP | Download protocol |
| Standard Protocols | |
|---|---|
| Click here to view our Standard Protocols |

