验证数据展示
经过测试的应用
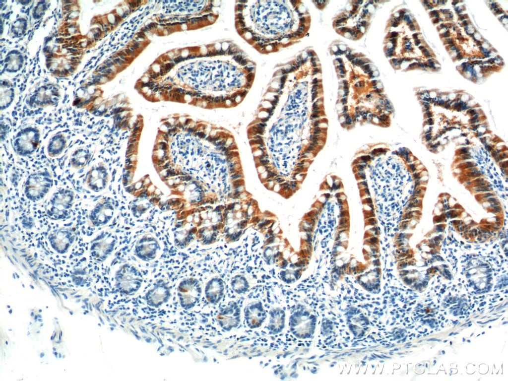
| Positive IHC detected in | human pancreas tissue, rat pancreas tissue, mouse pancreas tissue, human small intestine tissue Note: suggested antigen retrieval with TE buffer pH 9.0; (*) Alternatively, antigen retrieval may be performed with citrate buffer pH 6.0 |
推荐稀释比
| 应用 | 推荐稀释比 |
|---|---|
| Immunohistochemistry (IHC) | IHC : 1:50-1:500 |
| It is recommended that this reagent should be titrated in each testing system to obtain optimal results. | |
| Sample-dependent, Check data in validation data gallery. | |
产品信息
18034-1-AP targets GIP in IHC, ELISA applications and shows reactivity with human, rat, mouse samples.
| 经测试应用 | IHC, ELISA Application Description |
| 经测试反应性 | human, rat, mouse |
| 免疫原 |
CatNo: Ag12634 Product name: Recombinant human GIP protein Source: e coli.-derived, PGEX-4T Tag: GST Domain: 22-153 aa of BC069663 Sequence: EKKEGHFSALPSLPVGSHAKVSSPQPRGPRYAEGTFISDYSIAMDKIHQQDFVNWLLAQKGKKNDWKHNITQREARALELASQANRKEEEAVEPQSSPAKNPSDEDLLRDLLIQELLACLLDQTNLCRLRSR 种属同源性预测 |
| 宿主/亚型 | Rabbit / IgG |
| 抗体类别 | Polyclonal |
| 产品类型 | Antibody |
| 全称 | gastric inhibitory polypeptide |
| 别名 | gastric inhibitory polypeptide, GIP |
| 计算分子量 | 153 aa, 17 kDa |
| GenBank蛋白编号 | BC069663 |
| 基因名称 | GIP |
| Gene ID (NCBI) | 2695 |
| RRID | AB_2878484 |
| 偶联类型 | Unconjugated |
| 形式 | Liquid |
| 纯化方式 | Antigen affinity purification |
| UNIPROT ID | P09681 |
| 储存缓冲液 | PBS with 0.02% sodium azide and 50% glycerol, pH 7.3. |
| 储存条件 | Store at -20°C. Stable for one year after shipment. Aliquoting is unnecessary for -20oC storage. |
背景介绍
GIP is an incretin hormone and belongs to the glucagon superfamily. GIP is important in maintaining glucose homeostasis as it is a potent stimulator of insulin secretion from pancreatic beta-cells following food ingestion and nutrient absorption.GIP stimulates insulin secretion via its G protein-coupled receptor activation of adenylyl cyclase and other signal transduction pathways. It is a relatively poor inhibitor of gastric acid secretion.
实验方案
| Product Specific Protocols | |
|---|---|
| IHC protocol for GIP antibody 18034-1-AP | Download protocol |
| Standard Protocols | |
|---|---|
| Click here to view our Standard Protocols |








