验证数据展示
经过测试的应用
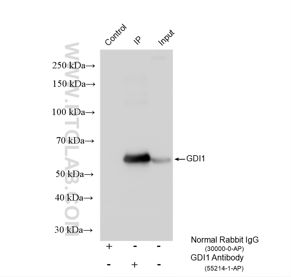
| Positive WB detected in | SH-SY5Y cells, human brain tissue, mouse brain tissue |
| Positive IP detected in | SH-SY5Y cells |
推荐稀释比
| 应用 | 推荐稀释比 |
|---|---|
| Western Blot (WB) | WB : 1:500-1:2000 |
| Immunoprecipitation (IP) | IP : 0.5-4.0 ug for 1.0-3.0 mg of total protein lysate |
| It is recommended that this reagent should be titrated in each testing system to obtain optimal results. | |
| Sample-dependent, Check data in validation data gallery. | |
产品信息
55214-1-AP targets GDI1 in WB, IP, ELISA applications and shows reactivity with human, mouse, rat samples.
| 经测试应用 | WB, IP, ELISA Application Description |
| 经测试反应性 | human, mouse, rat |
| 免疫原 |
Peptide 种属同源性预测 |
| 宿主/亚型 | Rabbit / IgG |
| 抗体类别 | Polyclonal |
| 产品类型 | Antibody |
| 全称 | GDP dissociation inhibitor 1 |
| 别名 | OPHN2, RABGDIA, XAP4, GDI 1, GDI-1 |
| 计算分子量 | 51 kDa |
| 观测分子量 | 51-55 kDa |
| GenBank蛋白编号 | NM_001493 |
| 基因名称 | GDI1 |
| Gene ID (NCBI) | 2664 |
| RRID | AB_10858798 |
| 偶联类型 | Unconjugated |
| 形式 | Liquid |
| 纯化方式 | Antigen affinity purification |
| UNIPROT ID | P31150 |
| 储存缓冲液 | PBS with 0.02% sodium azide and 50% glycerol, pH 7.3. |
| 储存条件 | Store at -20°C. Stable for one year after shipment. Aliquoting is unnecessary for -20oC storage. |
背景介绍
GDP dissociation inhibitors (GDIs) are proteins that regulate the GDP-GTP exchange reaction of members of the rab family. GDIs can bind and release GDP-bound Rab proteins from membranes. Two GDI proteins towards different Rab proteins have been identified. GDI1 interacts with almost all of the Rab proteins, while GDI2 interacts with Rabll but not Rab3A. GDI1 is expressed primarily in neural and sensory tissues and also in secretory cells, displaying a diffuse, cytoplasmic distribution in cells. It runs as a 55kda protein in SDS-PAGE. (PMID: 7929030,PMID: 19570034). Defects in GDI1 are the cause of mental retardation X-linked type 41 (MRX41). Defects in GDI1 are the cause of mental retardation X-linked type 48 (MRX48). The antibody is specific to GDI1. And it has no cross reaction to GDI2.
实验方案
| Product Specific Protocols | |
|---|---|
| IP protocol for GDI1 antibody 55214-1-AP | Download protocol |
| WB protocol for GDI1 antibody 55214-1-AP | Download protocol |
| Standard Protocols | |
|---|---|
| Click here to view our Standard Protocols |






