验证数据展示
经过测试的应用
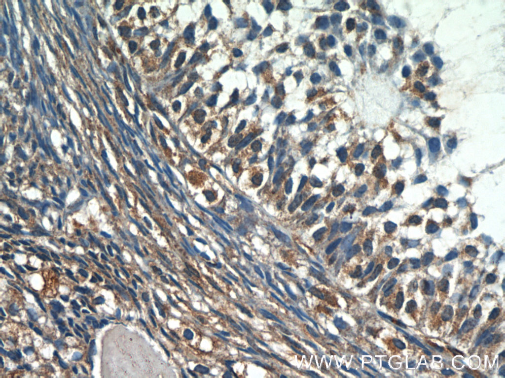
| Positive IHC detected in | human ovary tissue Note: suggested antigen retrieval with TE buffer pH 9.0; (*) Alternatively, antigen retrieval may be performed with citrate buffer pH 6.0 |
| Positive IF/ICC detected in | HepG2 cells |
推荐稀释比
| 应用 | 推荐稀释比 |
|---|---|
| Immunohistochemistry (IHC) | IHC : 1:20-1:200 |
| Immunofluorescence (IF)/ICC | IF/ICC : 1:20-1:200 |
| It is recommended that this reagent should be titrated in each testing system to obtain optimal results. | |
| Sample-dependent, Check data in validation data gallery. | |
产品信息
19894-1-AP targets GDF9 in IF, IHC, ELISA applications and shows reactivity with human samples.
| 经测试应用 | IF, IHC, ELISA Application Description |
| 经测试反应性 | human |
| 免疫原 |
CatNo: Ag13784 Product name: Recombinant human GDF9 protein Source: e coli.-derived, PGEX-4T Tag: GST Domain: 320-454 aa of BC096228 Sequence: GQETVSSELKKPLGPASFNLSEYFRQFLLPQNECELHDFRLSFSQLKWDNWIVAPHRYNPRYCKGDCPRAVGHRYGSPVHTMVQNIIYEKLDSSVPRPSCVPAKYSPLSVLTIEPDGSIAYKEYEDMIATKCTCR 种属同源性预测 |
| 宿主/亚型 | Rabbit / IgG |
| 抗体类别 | Polyclonal |
| 产品类型 | Antibody |
| 全称 | growth differentiation factor 9 |
| 别名 | GDF 9, GDF9 |
| 计算分子量 | 454 aa, 51 kDa |
| GenBank蛋白编号 | BC096228 |
| 基因名称 | GDF9 |
| Gene ID (NCBI) | 2661 |
| 偶联类型 | Unconjugated |
| 形式 | Liquid |
| 纯化方式 | Antigen affinity purification |
| UNIPROT ID | O60383 |
| 储存缓冲液 | PBS with 0.02% sodium azide and 50% glycerol, pH 7.3. |
| 储存条件 | Store at -20°C. Stable for one year after shipment. Aliquoting is unnecessary for -20oC storage. |


