验证数据展示
经过测试的应用
| Positive WB detected in | HEK-293 cells, HeLa cells, human liver tissue, mouse brain tissue, mouse kidney tissue |
| Positive IP detected in | mouse kidney tissue |
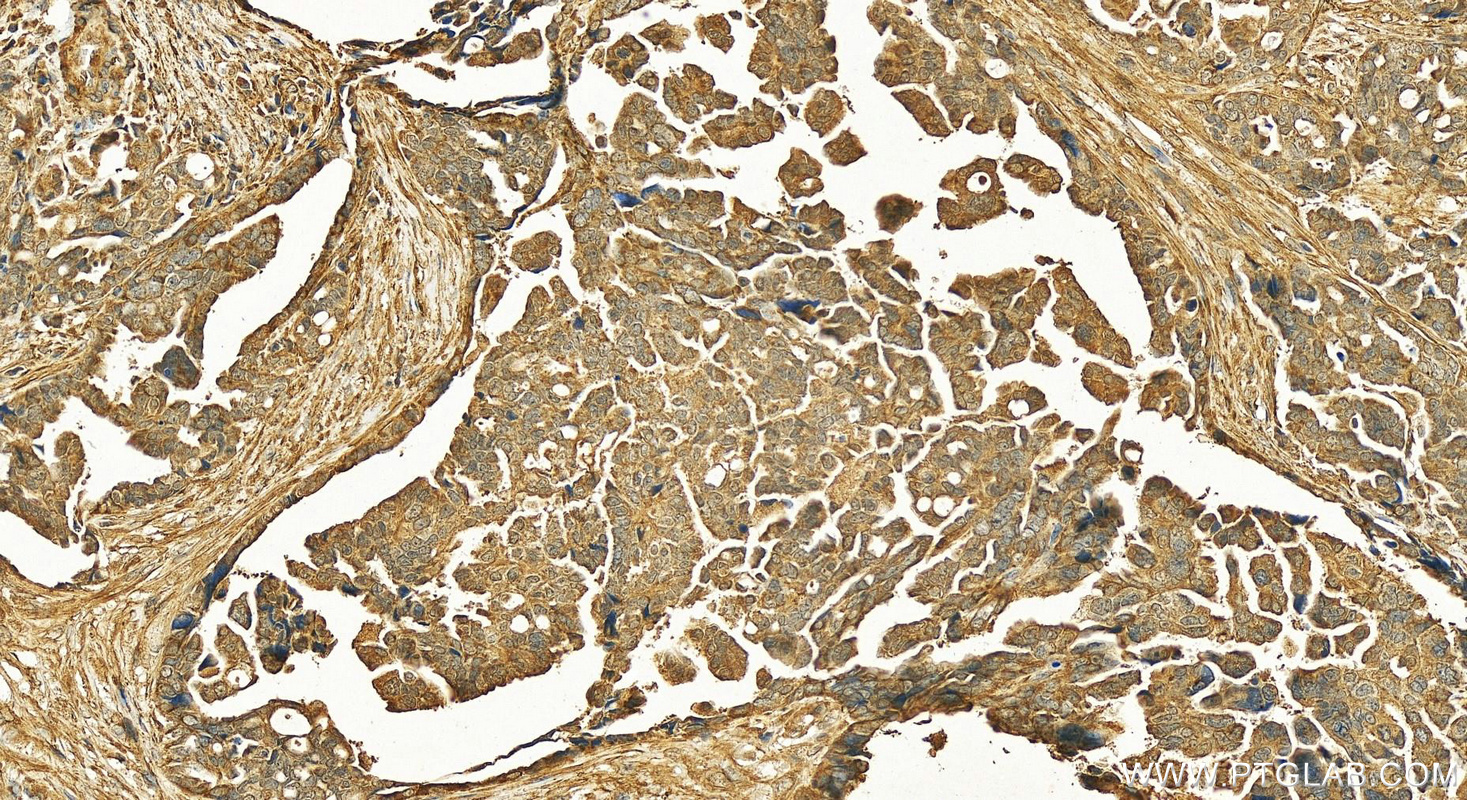
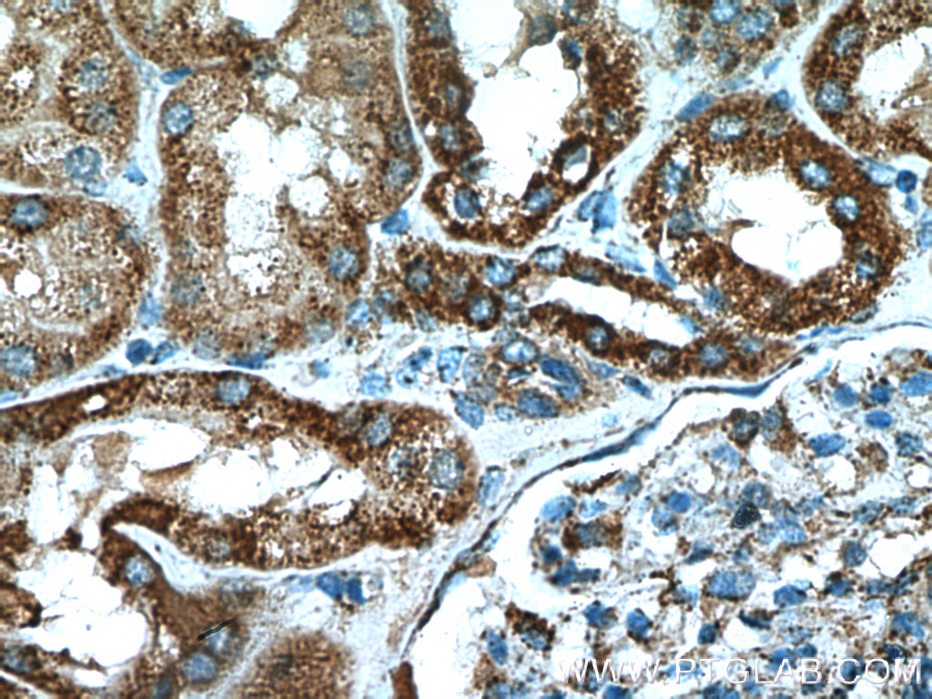
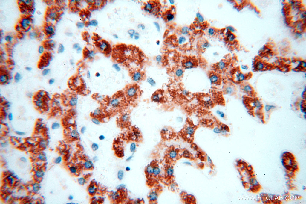
| Positive IHC detected in | human ovary cancer tissue, human kidney tissue, human liver tissue, human ovary tissue, human skin tissue, rat ovary tissue Note: suggested antigen retrieval with TE buffer pH 9.0; (*) Alternatively, antigen retrieval may be performed with citrate buffer pH 6.0 |
| Positive IF/ICC detected in | MCF-7 cells, HepG2 cells |
推荐稀释比
| 应用 | 推荐稀释比 |
|---|---|
| Western Blot (WB) | WB : 1:500-1:3000 |
| Immunoprecipitation (IP) | IP : 0.5-4.0 ug for 1.0-3.0 mg of total protein lysate |
| Immunohistochemistry (IHC) | IHC : 1:50-1:500 |
| Immunofluorescence (IF)/ICC | IF/ICC : 1:10-1:100 |
| It is recommended that this reagent should be titrated in each testing system to obtain optimal results. | |
| Sample-dependent, Check data in validation data gallery. | |
产品信息
16726-1-AP targets GCSH in WB, IHC, IF/ICC, IP, CoIP, ELISA applications and shows reactivity with human, mouse, rat samples.
| 经测试应用 | WB, IHC, IF/ICC, IP, ELISA Application Description |
| 文献引用应用 | WB, IHC, IF, IP, CoIP |
| 经测试反应性 | human, mouse, rat |
| 文献引用反应性 | human, mouse, rat |
| 免疫原 |
CatNo: Ag10174 Product name: Recombinant human GCSH protein Source: e coli.-derived, PGEX-4T Tag: GST Domain: 1-173 aa of BC000790 Sequence: MALRVVRSVRALLCTLRAVPLPAAPCPPRPWQLGVGAVRTLRTGPALLSVRKFTEKHEWVTTENGIGTVGISNFAQEALGDVVYCSLPEVGTKLNKQDEFGALESVKAASELYSPLSGEVTEINEALAENPGLVNKSCYEDGWLIKMTLSNPSELDELMSEEAYEKYIKSIEE 种属同源性预测 |
| 宿主/亚型 | Rabbit / IgG |
| 抗体类别 | Polyclonal |
| 产品类型 | Antibody |
| 全称 | glycine cleavage system protein H (aminomethyl carrier) |
| 别名 | NKH, MMDS7, Glycine cleavage system H protein, mitochondrial, GCE |
| 计算分子量 | 19 kDa |
| 观测分子量 | 15 kDa |
| GenBank蛋白编号 | BC000790 |
| 基因名称 | GCSH |
| Gene ID (NCBI) | 2653 |
| RRID | AB_2247351 |
| 偶联类型 | Unconjugated |
| 形式 | Liquid |
| 纯化方式 | Antigen affinity purification |
| UNIPROT ID | P23434 |
| 储存缓冲液 | PBS with 0.02% sodium azide and 50% glycerol, pH 7.3. |
| 储存条件 | Store at -20°C. Stable for one year after shipment. Aliquoting is unnecessary for -20oC storage. |
背景介绍
GCSH(Glycine cleavage system H protein, mitochondrial) is a component of the glycine cleavage system loosely associated with the mitochondrial inner membrane and has lipoic acid as a prosthetic group. The full-length GCSH cDNA encodes a precursor protein of 173 amino acids and a mature protein of 125 amino acids. The lipoylation of H-protein occurs in mitochondria which probably contain an activated form of lipoic acid as well as other components required for the transfer of lipoic acid to the protein(PMID:2211640). Defects in GCSH are a cause of non-ketotic hyperglycinemia (NKH).
实验方案
| Product Specific Protocols | |
|---|---|
| IF protocol for GCSH antibody 16726-1-AP | Download protocol |
| IHC protocol for GCSH antibody 16726-1-AP | Download protocol |
| IP protocol for GCSH antibody 16726-1-AP | Download protocol |
| WB protocol for GCSH antibody 16726-1-AP | Download protocol |
| Standard Protocols | |
|---|---|
| Click here to view our Standard Protocols |
发表文章
| Species | Application | Title |
|---|---|---|
Nat Commun Blocking glycine utilization inhibits multiple myeloma progression by disrupting glutathione balance.
| ||
J Biol Chem Acute loss of iron-sulfur clusters results in metabolic reprogramming and generation of lipid droplets in mammalian cells. | ||
PLoS One Amino Acid starvation has opposite effects on mitochondrial and cytosolic protein synthesis. |



















