验证数据展示
经过测试的应用
| Positive WB detected in | A431 cells, HepG2 cells, HeLa cells |
| Positive IP detected in | HepG2 cells |
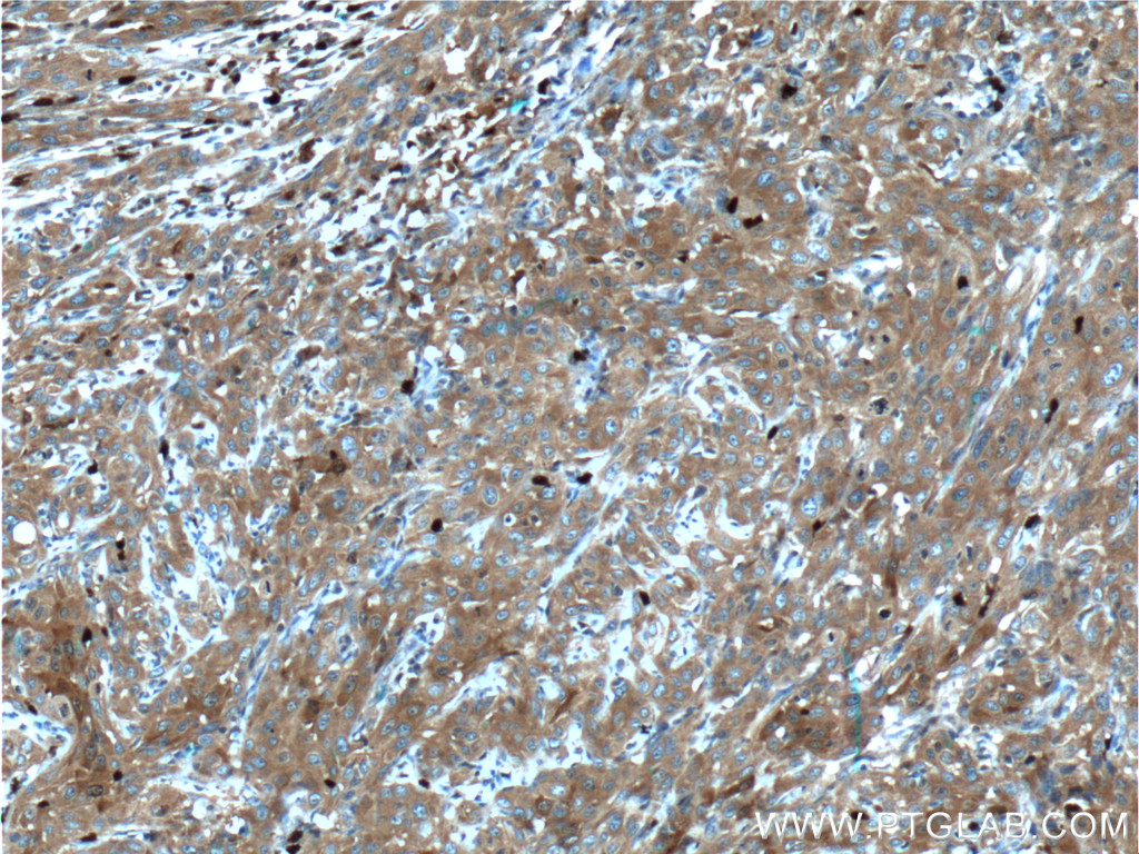
| Positive IHC detected in | human cervical cancer tissue Note: suggested antigen retrieval with TE buffer pH 9.0; (*) Alternatively, antigen retrieval may be performed with citrate buffer pH 6.0 |
| Positive IF/ICC detected in | HepG2 cells |
推荐稀释比
| 应用 | 推荐稀释比 |
|---|---|
| Western Blot (WB) | WB : 1:1000-1:4000 |
| Immunoprecipitation (IP) | IP : 0.5-4.0 ug for 1.0-3.0 mg of total protein lysate |
| Immunohistochemistry (IHC) | IHC : 1:50-1:500 |
| Immunofluorescence (IF)/ICC | IF/ICC : 1:20-1:200 |
| It is recommended that this reagent should be titrated in each testing system to obtain optimal results. | |
| Sample-dependent, Check data in validation data gallery. | |
产品信息
13659-1-AP targets GART in WB, IHC, IF/ICC, IP, CoIP, ELISA applications and shows reactivity with human samples.
| 经测试应用 | WB, IHC, IF/ICC, IP, ELISA Application Description |
| 文献引用应用 | WB, IHC, IF, CoIP |
| 经测试反应性 | human |
| 文献引用反应性 | human, mouse, rat |
| 免疫原 |
CatNo: Ag4555 Product name: Recombinant human GART protein Source: e coli.-derived, PGEX-4T Tag: GST Domain: 1-318 aa of BC038958 Sequence: MAARVLIIGSGGREHTLAWKLAQSHHVKQVLVAPGNAGTACSEKISNTAISISDHTALAQFCKEKKIEFVVVGPEAPLAAGIVGNLRSAGVQCFGPTAEAAQLESSKRFAKEFMDRHGIPTAQWKAFTKPEEACSFILSADFPALVVKASGLAAGKGVIVAKSKEEACKAVQEIMQEKAFGAAGETIVIEELLDGEEVSCLCFTDGKTVAPMPPAQDHKRLLEGDGGPNTGGMGAYCPAPQVSNDLLLKIKDTVLQRTVDGMQQEGTPYTGILYAGIMLTKNGPKVLEFNCRFGDPECQVILPLLKSDLYEVIQSTLD 种属同源性预测 |
| 宿主/亚型 | Rabbit / IgG |
| 抗体类别 | Polyclonal |
| 产品类型 | Antibody |
| 全称 | phosphoribosylglycinamide formyltransferase, phosphoribosylglycinamide synthetase, phosphoribosylaminoimidazole synthetase |
| 别名 | GARTF, GARS, GAR transformylase, AIRS, AIR synthase |
| 计算分子量 | 1010 aa, 108 kDa |
| 观测分子量 | 108 kDa, 46 kDa |
| GenBank蛋白编号 | BC038958 |
| 基因名称 | GART |
| Gene ID (NCBI) | 2618 |
| RRID | AB_2107937 |
| 偶联类型 | Unconjugated |
| 形式 | Liquid |
| 纯化方式 | Antigen affinity purification |
| UNIPROT ID | P22102 |
| 储存缓冲液 | PBS with 0.02% sodium azide and 50% glycerol, pH 7.3. |
| 储存条件 | Store at -20°C. Stable for one year after shipment. Aliquoting is unnecessary for -20oC storage. |
背景介绍
GART is a trifunctional polypeptide which has phosphoribosylglycinamide formyltransferase, phosphoribosylglycinamide synthetase, phosphoribosylaminoimidazole synthetase activity that is required for de novo purine biosynthesis. GART has 2 isoforms with molecular mass of 108 kDa and 46 kDa due to alternative splicing.
实验方案
| Product Specific Protocols | |
|---|---|
| IF protocol for GART antibody 13659-1-AP | Download protocol |
| IHC protocol for GART antibody 13659-1-AP | Download protocol |
| IP protocol for GART antibody 13659-1-AP | Download protocol |
| WB protocol for GART antibody 13659-1-AP | Download protocol |
| Standard Protocols | |
|---|---|
| Click here to view our Standard Protocols |
发表文章
| Species | Application | Title |
|---|---|---|
Science mTORC1 induces purine synthesis through control of the mitochondrial tetrahydrofolate cycle. | ||
Mol Cell ERK2 Phosphorylates PFAS to Mediate Posttranslational Control of De Novo Purine Synthesis. | ||
Adv Sci (Weinh) LEDGF Binds H3R17me2a Promoting De Novo Nucleotide Biosynthesis in SETD2 Mutant Clear Cell Renal Cell Carcinoma | ||
Nat Commun Purine nucleotide depletion prompts cell migration by stimulating the serine synthesis pathway. | ||
EMBO J UHMK1 promotes gastric cancer progression through reprogramming nucleotide metabolism. | ||
Cell Rep Purine Nucleotide Availability Regulates mTORC1 Activity through the Rheb GTPase. |






