验证数据展示
经过测试的应用
| Positive WB detected in | A431 cells, MCF-7 cells, T-47D cells |
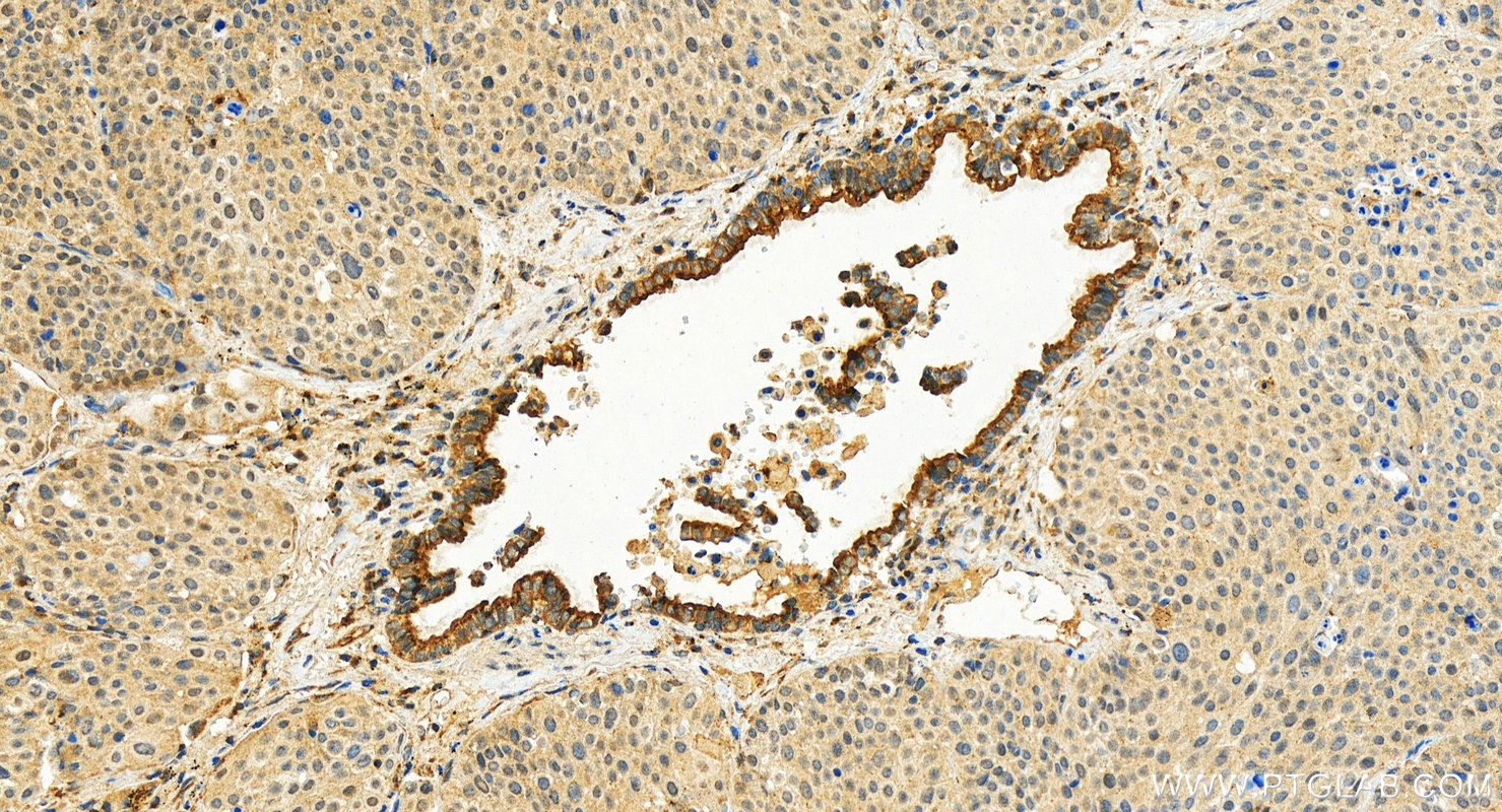
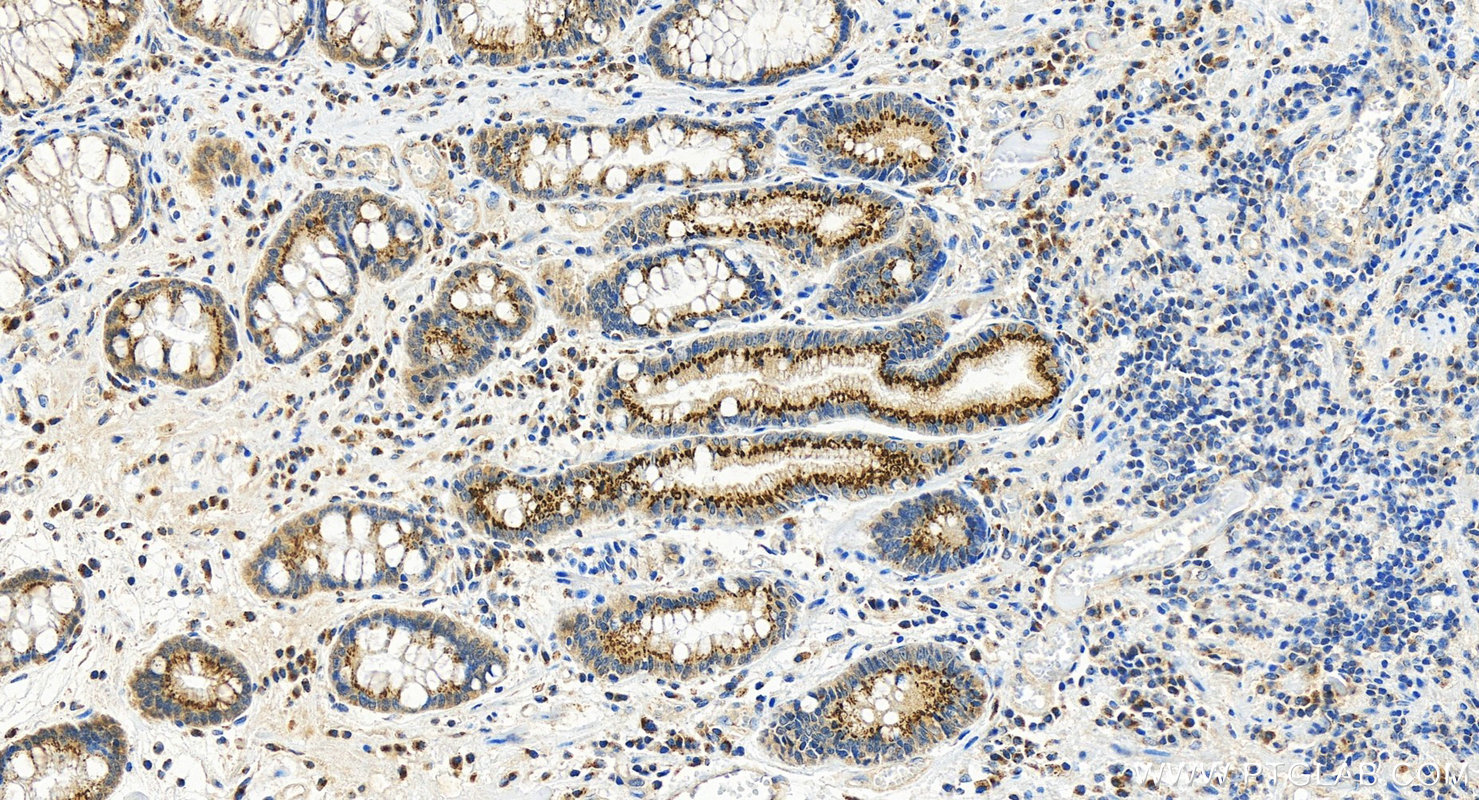
| Positive IHC detected in | human lung squamous cell cancer, human stomach cancer tissue Note: suggested antigen retrieval with TE buffer pH 9.0; (*) Alternatively, antigen retrieval may be performed with citrate buffer pH 6.0 |
| Positive IF/ICC detected in | A431 cells |
推荐稀释比
| 应用 | 推荐稀释比 |
|---|---|
| Western Blot (WB) | WB : 1:2000-1:12000 |
| Immunohistochemistry (IHC) | IHC : 1:400-1:1600 |
| Immunofluorescence (IF)/ICC | IF/ICC : 1:50-1:500 |
| It is recommended that this reagent should be titrated in each testing system to obtain optimal results. | |
| Sample-dependent, Check data in validation data gallery. | |
产品信息
13671-1-AP targets GALNT6 in WB, IHC, IF/ICC, ELISA applications and shows reactivity with human samples.
| 经测试应用 | WB, IHC, IF/ICC, ELISA Application Description |
| 经测试反应性 | human |
| 免疫原 |
CatNo: Ag4652 Product name: Recombinant human GALNT6 protein Source: e coli.-derived, PGEX-4T Tag: GST Domain: 323-622 aa of BC035822 Sequence: FDWSLTFGWETLPPHEKQRRKDETYPIKSPTFAGGLFSISKSYFEHIGTYDNQMEIWGGENVEMSFRVWQCGGQLEIIPCSVVGHVFRTKSPHTFPKGTSVIARNQVRLAEVWMDSYKKIFYRRNLQAAKMAQEKSFGDISERLQLREQLHCHNFSWYLHNVYPEMFVPDLTPTFYGAIKNLGTNQCLDVGENNRGGKPLIMYSCHGLGGNQYFEYTTQRDLRHNIAKQLCLHVSKGALGLGSCHFTGKNSQVPKDEEWELAQDQLIRNSGSGTCLTSQDKKPAMAPCNPSDPHQLWLFV 种属同源性预测 |
| 宿主/亚型 | Rabbit / IgG |
| 抗体类别 | Polyclonal |
| 产品类型 | Antibody |
| 全称 | UDP-N-acetyl-alpha-D-galactosamine:polypeptide N-acetylgalactosaminyltransferase 6 (GalNAc-T6) |
| 别名 | EC:2.4.1.41, GALNAC T6, GalNAcT6, GalNAc-T6, Polypeptide N-acetylgalactosaminyltransferase 6 |
| 计算分子量 | 622 aa, 71 kDa |
| 观测分子量 | 71 kDa |
| GenBank蛋白编号 | BC035822 |
| 基因名称 | GALNT6 |
| Gene ID (NCBI) | 11226 |
| RRID | AB_3669168 |
| 偶联类型 | Unconjugated |
| 形式 | Liquid |
| 纯化方式 | Antigen affinity purification |
| UNIPROT ID | Q8NCL4 |
| 储存缓冲液 | PBS with 0.02% sodium azide and 50% glycerol, pH 7.3. |
| 储存条件 | Store at -20°C. Stable for one year after shipment. Aliquoting is unnecessary for -20oC storage. |
背景介绍
GALNT6 (polypeptide N-acetylgalactosaminyltransferase 6, GalNAc-T6), which is involved in the initiation of O-glycosylation, has been reported to play crucial roles in mammary carcinogenesis through binding to several substrates (PMID: 32393740). GALNT6 is upregulated in breast, ovarian, renal cell, lung and pancreatic cancers (PMID: 20215525). Overexpression of GRP78 could enhance Golgi-to-ER relocation of GALNT6 (PMID: 28110670).
实验方案
| Product Specific Protocols | |
|---|---|
| IF protocol for GALNT6 antibody 13671-1-AP | Download protocol |
| IHC protocol for GALNT6 antibody 13671-1-AP | Download protocol |
| WB protocol for GALNT6 antibody 13671-1-AP | Download protocol |
| Standard Protocols | |
|---|---|
| Click here to view our Standard Protocols |






