验证数据展示
经过测试的应用
| Positive WB detected in | HeLa cells |
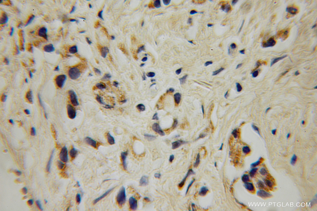
| Positive IHC detected in | human prostate cancer tissue Note: suggested antigen retrieval with TE buffer pH 9.0; (*) Alternatively, antigen retrieval may be performed with citrate buffer pH 6.0 |
推荐稀释比
| 应用 | 推荐稀释比 |
|---|---|
| Western Blot (WB) | WB : 1:200-1:1000 |
| Immunohistochemistry (IHC) | IHC : 1:20-1:200 |
| It is recommended that this reagent should be titrated in each testing system to obtain optimal results. | |
| Sample-dependent, Check data in validation data gallery. | |
发表文章中的应用
| KD/KO | See 3 publications below |
| WB | See 4 publications below |
| IHC | See 3 publications below |
产品信息
12897-1-AP targets GALNT4 in WB, IHC, ELISA applications and shows reactivity with human samples.
| 经测试应用 | WB, IHC, ELISA Application Description |
| 文献引用应用 | WB, IHC |
| 经测试反应性 | human |
| 文献引用反应性 | human, mouse |
| 免疫原 |
CatNo: Ag3590 Product name: Recombinant human GALNT4 protein Source: e coli.-derived, PGEX-4T Tag: GST Domain: 230-578 aa of BC036390 Sequence: CECNSGWLEPLLERIGRDETAVVCPVIDTIDWNTFEFYMQIGEPMIGGFDWRLTFQWHSVPKQERDRRISRIDPIRSPTMAGGLFAVSKKYFQYLGTYDTGMEVWGGENLELSFRVWQCGGKLEIHPCSHVGHVFPKRAPYARPNFLQNTARAAEVWMDEYKEHFYNRNPPARKEAYGDISERKLLRERLRCKSFDWYLKNVFPNLHVPEDRPGWHGAIRSRGISSECLDYNSPDNNPTGANLSLFGCHGQGGNQFFEYTSNKEIRFNSVTELCAEVPEQKNYVGMQNCPKDGFPVPANIIWHFKEDGTIFHPHSGLCLSAYRTPEGRPDVQMRTCDALDKNQIWSFEK 种属同源性预测 |
| 宿主/亚型 | Rabbit / IgG |
| 抗体类别 | Polyclonal |
| 产品类型 | Antibody |
| 全称 | UDP-N-acetyl-alpha-D-galactosamine:polypeptide N-acetylgalactosaminyltransferase 4 (GalNAc-T4) |
| 别名 | EC:2.4.1.41, GALNAC T4, GalNAcT4, GalNAc-T4, Polypeptide N-acetylgalactosaminyltransferase 4 |
| 计算分子量 | 578 aa, 67 kDa |
| 观测分子量 | 67 kDa |
| GenBank蛋白编号 | BC036390 |
| 基因名称 | GALNT4 |
| Gene ID (NCBI) | 8693 |
| RRID | AB_10643389 |
| 偶联类型 | Unconjugated |
| 形式 | Liquid |
| 纯化方式 | Antigen affinity purification |
| UNIPROT ID | Q8N4A0 |
| 储存缓冲液 | PBS with 0.02% sodium azide and 50% glycerol, pH 7.3. |
| 储存条件 | Store at -20°C. Stable for one year after shipment. Aliquoting is unnecessary for -20oC storage. |
背景介绍
GALNT4 is a member of N-acetylgalactosaminyltransferases (GALNTs) which are responsible for initiating step of mucin-type O-glycosylation. Desregulation of GALNTs expression can exert pivotal functions during malignant transformation. It has been reported that GALNT4 expression is markedly repressed in tumoral tissues and lower expression of GALNT4 is significant associated with the adverse survival, indicating its potential role as prognostic factor for cancers like hepatocellular carcinoma.
实验方案
| Product Specific Protocols | |
|---|---|
| IHC protocol for GALNT4 antibody 12897-1-AP | Download protocol |
| WB protocol for GALNT4 antibody 12897-1-AP | Download protocol |
| Standard Protocols | |
|---|---|
| Click here to view our Standard Protocols |
发表文章
| Species | Application | Title |
|---|---|---|
FEBS J The polypeptide N-acetylgalactosaminyltransferase 4 exhibits stage-dependent expression in colorectal cancer and affects tumorigenesis, invasion and differentiation. | ||
J Biol Chem Loss of N-acetylgalactosaminyltransferase-4 orchestrate oncogenic microRNA-9 in hepatocellular carcinoma.
| ||
FASEB J Galnt4 Knockdown Modulates Lysosomal Function to Reduce Foam Cell Formation and Attenuate Atherosclerotic Plaque Progression | ||
J Mol Cell Cardiol GALNT4 primes monocytes adhesion and transmigration by regulating O-Glycosylation of PSGL-1 in atherosclerosis.
| ||
EMBO J The disulfide catalyst QSOX1 maintains the colon mucosal barrier by regulating Golgi glycosyltransferases | ||
Cell Signal GALNT4 promotes the stemness of non-small cell lung cancer through O-glycosylation of MUC5AC via ITGB4/PI3K/AKT signaling pathway
|

