验证数据展示
经过测试的应用
| Positive WB detected in | A549 cells |
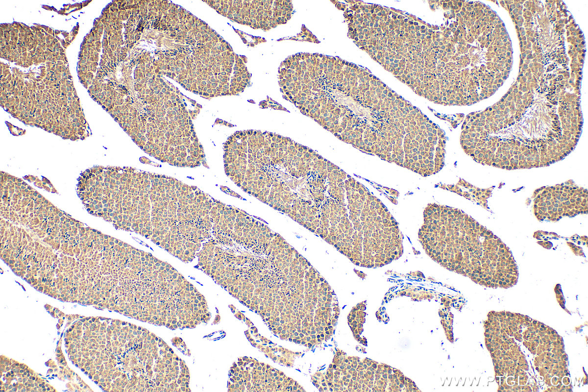
| Positive IHC detected in | mouse testis tissue Note: suggested antigen retrieval with TE buffer pH 9.0; (*) Alternatively, antigen retrieval may be performed with citrate buffer pH 6.0 |
推荐稀释比
| 应用 | 推荐稀释比 |
|---|---|
| Western Blot (WB) | WB : 1:500-1:2000 |
| Immunohistochemistry (IHC) | IHC : 1:50-1:500 |
| It is recommended that this reagent should be titrated in each testing system to obtain optimal results. | |
| Sample-dependent, Check data in validation data gallery. | |
产品信息
24604-1-AP targets GALNT13 in WB, IHC, ELISA applications and shows reactivity with human samples.
| 经测试应用 | WB, IHC, ELISA Application Description |
| 经测试反应性 | human |
| 免疫原 |
CatNo: Ag16526 Product name: Recombinant human GALNT13 protein Source: e coli.-derived, PGEX-4T Tag: GST Domain: 499-561 aa of BC101032 Sequence: MRGNQLWEYDAESCLSVNKVADGSQHPTVETCNDSTLQKWLLRNYTRMEIFRNIFGNSTDYIL 种属同源性预测 |
| 宿主/亚型 | Rabbit / IgG |
| 抗体类别 | Polyclonal |
| 产品类型 | Antibody |
| 全称 | UDP-N-acetyl-alpha-D-galactosamine:polypeptide N-acetylgalactosaminyltransferase 13 (GalNAc-T13) |
| 别名 | EC:2.4.1.41, GalNAc T13, GalNAc-T13, KIAA1918, Polypeptide N-acetylgalactosaminyltransferase 13 |
| 计算分子量 | 561 aa, 65 kDa |
| 观测分子量 | 64 kDa |
| GenBank蛋白编号 | BC101032 |
| 基因名称 | GALNT13 |
| Gene ID (NCBI) | 114805 |
| 偶联类型 | Unconjugated |
| 形式 | Liquid |
| 纯化方式 | Antigen affinity purification |
| UNIPROT ID | Q8IUC8 |
| 储存缓冲液 | PBS with 0.02% sodium azide and 50% glycerol, pH 7.3. |
| 储存条件 | Store at -20°C. Stable for one year after shipment. Aliquoting is unnecessary for -20oC storage. |
背景介绍
Polypeptide N-acetylgalactosaminyltransferase 13 (GALNT13) is a recently identified member of the UDP-N-acetylgalactosamine: polypeptide N-acetyl galactosaminy transferases family, otherwise known as ppGalNAc-Tases, which control the initiation of mucin-type O-glycosylation. GALNT13 and the trimeric Tn antigen have been considered as tumor-associated antigens, and might be useful prognostic factors in many types of human cancers (PMID: 34830771, 27499036, 36575396)
实验方案
| Product Specific Protocols | |
|---|---|
| IHC protocol for GALNT13 antibody 24604-1-AP | Download protocol |
| WB protocol for GALNT13 antibody 24604-1-AP | Download protocol |
| Standard Protocols | |
|---|---|
| Click here to view our Standard Protocols |


