验证数据展示
经过测试的应用
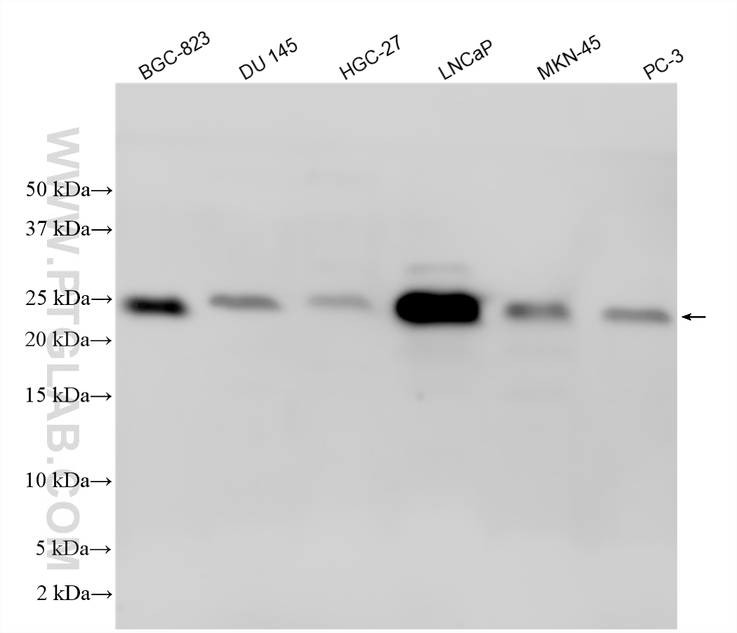
| Positive WB detected in | LNCaP cells, BGC-823 cells, DU 145 cells, HGC-27 cells, MKN-45 cells, PC-3 cells |
| Positive IHC detected in | human prostate cancer tissue, human gliomas tissue Note: suggested antigen retrieval with TE buffer pH 9.0; (*) Alternatively, antigen retrieval may be performed with citrate buffer pH 6.0 |
推荐稀释比
| 应用 | 推荐稀释比 |
|---|---|
| Western Blot (WB) | WB : 1:500-1:1000 |
| Immunohistochemistry (IHC) | IHC : 1:20-1:200 |
| It is recommended that this reagent should be titrated in each testing system to obtain optimal results. | |
| Sample-dependent, Check data in validation data gallery. | |
发表文章中的应用
| WB | See 1 publications below |
| IHC | See 2 publications below |
产品信息
12945-1-AP targets GAGE7 in WB, IHC, ELISA applications and shows reactivity with human samples.
| 经测试应用 | WB, IHC, ELISA Application Description |
| 文献引用应用 | WB, IHC |
| 经测试反应性 | human |
| 文献引用反应性 | human |
| 免疫原 |
CatNo: Ag4018 Product name: Recombinant human GAGE7 protein Source: e coli.-derived, PGEX-4T Tag: GST Domain: 1-117 aa of BC031628 Sequence: MSWRGRSTYYWPRPRRYVQPPEMIGPMRPEQFSDEVEPATPEEGEPATQRQDPAAAQEGEDEGASAGQGPKPEAHSQEQGHPQTGCECEDGPDGQEMDPPNPEEVKTPEEGEKQSQC 种属同源性预测 |
| 宿主/亚型 | Rabbit / IgG |
| 抗体类别 | Polyclonal |
| 产品类型 | Antibody |
| 全称 | G antigen 7 |
| 别名 | AL4, Cancer/testis antigen 4.7, CT4.7, G antigen 12F, G antigen 7 |
| 计算分子量 | 13 kDa |
| 观测分子量 | 26 kDa |
| GenBank蛋白编号 | BC031628 |
| 基因名称 | GAGE7 |
| Gene ID (NCBI) | 2579 |
| RRID | AB_2877895 |
| 偶联类型 | Unconjugated |
| 形式 | Liquid |
| 纯化方式 | Antigen affinity purification |
| UNIPROT ID | O76087 |
| 储存缓冲液 | PBS with 0.02% sodium azide and 50% glycerol, pH 7.3. |
| 储存条件 | Store at -20°C. Stable for one year after shipment. Aliquoting is unnecessary for -20oC storage. |
背景介绍
GAGE7 (G Antigen 7), also known as CT4.7 or GAGE-7, is a cancer-testis antigen belonging to the GAGE family. It is predominantly expressed in germ cells of the testis and various tumors, including melanoma, lung, and breast cancers, while remaining silent in normal adult tissues (PMID: 10397259). GAGE7 is an intrinsically disordered protein (IDP) of 117 amino acids with a theoretical molecular weight of ~13 kDa; however, it exhibits an apparent molecular weight of ~26 kDa in SDS-PAGE due to its abnormal electrophoretic mobility (PMID: 23029259).
实验方案
| Product Specific Protocols | |
|---|---|
| IHC protocol for GAGE7 antibody 12945-1-AP | Download protocol |
| WB protocol for GAGE7 antibody 12945-1-AP | Download protocol |
| Standard Protocols | |
|---|---|
| Click here to view our Standard Protocols |
发表文章
| Species | Application | Title |
|---|---|---|
J Cancer Res Clin Oncol Elevated ZBTB7A expression in the tumor invasive front correlates with more tumor budding formation in gastric adenocarcinoma. | ||
J Exp Clin Cancer Res GAGE7B promotes tumor metastasis and growth via activating the p38δ/pMAPKAPK2/pHSP27 pathway in gastric cancer. |






