验证数据展示
经过测试的应用
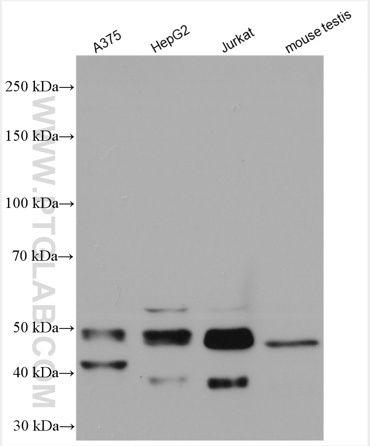
| Positive WB detected in | A375 cells, MCF-7 cells, mouse lung tissue, HeLa cells, HepG2 cells, mouse testis tissue, Jurkat cells | 
| Positive IP detected in | HeLa cells | 
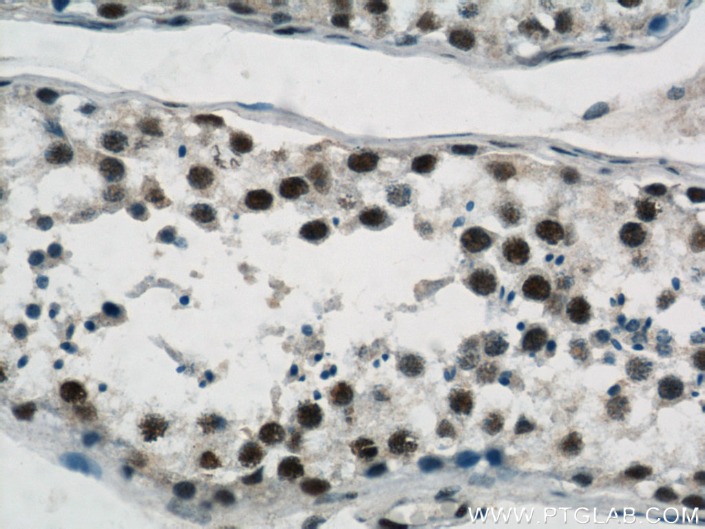
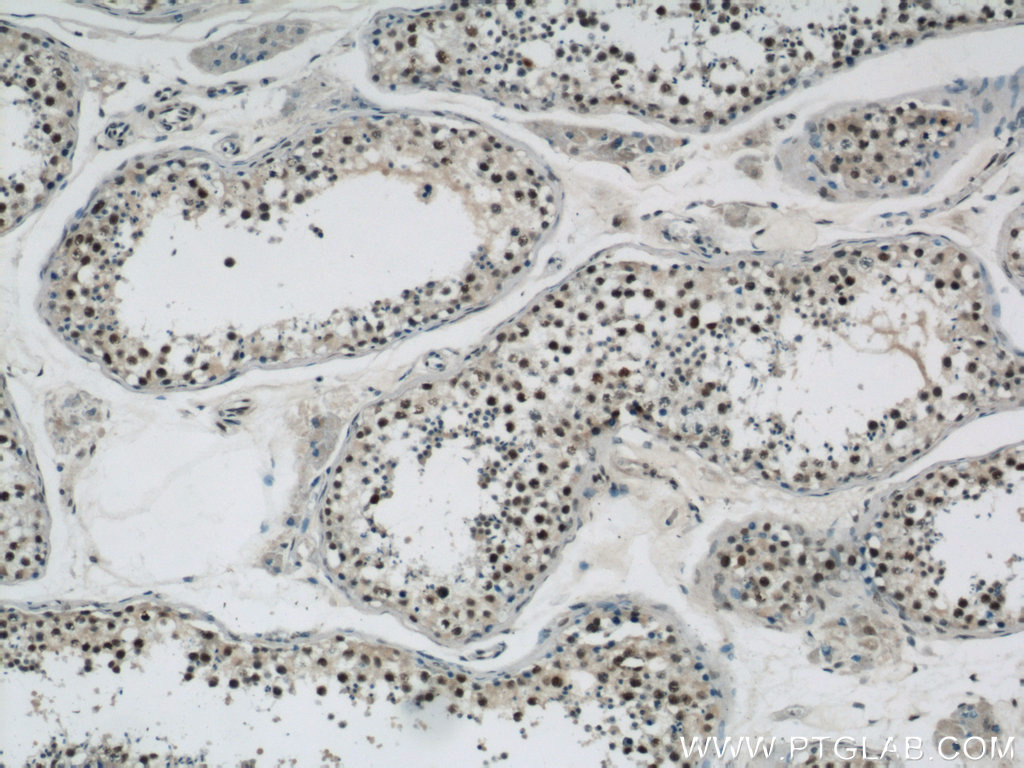
| Positive IHC detected in | human testis tissue Note: suggested antigen retrieval with TE buffer pH 9.0; (*) Alternatively, antigen retrieval may be performed with citrate buffer pH 6.0 | 
| Positive IF/ICC detected in | HeLa cells | 
推荐稀释比
| 应用 | 推荐稀释比 | 
|---|---|
| Western Blot (WB) | WB : 1:1000-1:6000 | 
| Immunoprecipitation (IP) | IP : 0.5-4.0 ug for 1.0-3.0 mg of total protein lysate | 
| Immunohistochemistry (IHC) | IHC : 1:50-1:500 | 
| Immunofluorescence (IF)/ICC | IF/ICC : 1:500-1:2000 | 
| It is recommended that this reagent should be titrated in each testing system to obtain optimal results. | |
| Sample-dependent, Check data in validation data gallery. | |
产品信息
12597-1-AP targets GABPB1 in WB, IHC, IF/ICC, IP, ELISA applications and shows reactivity with human, mouse, rat samples.
| 经测试应用 | WB, IHC, IF/ICC, IP, ELISA Application Description | 
| 文献引用应用 | WB, IHC, IF, IP | 
| 经测试反应性 | human, mouse, rat | 
| 文献引用反应性 | human, mouse | 
| 免疫原 | CatNo: Ag3208 Product name: Recombinant human GABPB1 protein Source: e coli.-derived, PGEX-4T Tag: GST Domain: 1-348 aa of BC016910 Sequence: MSLVDLGKKLLEAARAGQDDEVRILMANGAPFTTDWLGTSPLHLAAQYGHYSTTEVLLRAGVSRDARTKVDRTPLHMAASEGHASIVEVLLKHGADVNAKDMLKMTALHWATEHNHQEVVELLIKYGADVHTQSKFCKTAFDISIDNGNEDLAEILQIAMQNQINTNPESPDTVTIHAATPQFIIGPGGVVNLTGLVSSENSSKATDETGVSAVQFGNSSTSVLATLAALAEASAPLSNSSETPVVATEEVVTAESVDGAIQQVVSSGGQQVITIVTDGIQLGNLHSIPTSGIGQPIIVTMPDGQQVLTVPATDIAEETVISEEPPAKRQCIEIIENRVESAEIEVRS种属同源性预测 | 
| 宿主/亚型 | Rabbit / IgG | 
| 抗体类别 | Polyclonal | 
| 产品类型 | Antibody | 
| 全称 | GA binding protein transcription factor, beta subunit 1 | 
| 别名 | GA-binding protein subunit beta-1, E4TF1B, E4TF1 53, E4TF1 47, E4TF1 | 
| 计算分子量 | 347 aa, 38 kDa | 
| 观测分子量 | 36-45 kDa, 47-53 kDa | 
| GenBank蛋白编号 | BC016910 | 
| 基因名称 | GABPB1 | 
| Gene ID (NCBI) | 2553 | 
| RRID | AB_10951115 | 
| 偶联类型 | Unconjugated | 
| 形式 | Liquid | 
| 纯化方式 | Antigen affinity purification | 
| UNIPROT ID | Q06547 | 
| 储存缓冲液 | PBS with 0.02% sodium azide and 50% glycerol, pH 7.3. | 
| 储存条件 | Store at -20°C. Stable for one year after shipment. Aliquoting is unnecessary for -20oC storage. | 
背景介绍
GABPB1, also named as E4TF1B, GABPB, GABPB2, E4TF1-47 and E4TF1-53, is a transcription factor capable of interacting with purine rich repeats (GA repeats). It is necessary for the expression of the Adenovirus E4 gene. GABPB1 has 4 isoforms. The MW-of Beta 1 is 53kd and Beta-2 is 47kd(PMID:9525935). This antibody can recognize all the isoforms.
实验方案
| Product Specific Protocols | |
|---|---|
| IF protocol for GABPB1 antibody 12597-1-AP | Download protocol | 
| IHC protocol for GABPB1 antibody 12597-1-AP | Download protocol | 
| IP protocol for GABPB1 antibody 12597-1-AP | Download protocol | 
| WB protocol for GABPB1 antibody 12597-1-AP | Download protocol | 
| Standard Protocols | |
|---|---|
| Click here to view our Standard Protocols | 
发表文章
| Species | Application | Title | 
|---|---|---|
| Cancer Cell Disruption of the β1L Isoform of GABP Reverses Glioblastoma Replicative Immortality in a TERT Promoter Mutation-Dependent Manner.
 | ||
| Proc Natl Acad Sci U S A Cancer-specific loss of TERT activation sensitizes glioblastoma to DNA damage. | ||
| Cell Rep The Ets transcription factor GABP is a component of the hippo pathway essential for growth and antioxidant defense.
 | ||
| Sci Rep LncRNA GABPB1-AS1 and GABPB1 regulate oxidative stress during erastin-induced ferroptosis in HepG2 hepatocellular carcinoma cells.
 | ||
| Biology (Basel) TERT Promoter Revertant Mutation Inhibits Melanoma Growth through Intrinsic Apoptosis. | ||
| Brain Res Bull ZFP36 protects against oxygen-glucose deprivation/reoxygenation-induced mitochondrial fragmentation and neuronal apoptosis through inhibiting NOX4-DRP1 pathway. | 














